后台收到留言问:“吴教授,矫正牙齿需要哪些步骤?繁琐吗?”
看到这个问题我首先想到的是,很多人认为牙齿矫正很简单,医生看一下,价钱合理就可以开始“变美之旅”了。然而实际上的牙齿矫正并没有那么简单。

首先
医生要通过面诊,掌握患者的牙齿问题,譬如牙齿拥挤、深覆合、反颌等常见牙齿问题。同时还要查看软组织情况,以免遗漏本身存有口腔疾病,如矫正的禁忌症牙周病。
其次
全面的口腔检查必不可少,需要拍摄牙片,查看患者的牙槽骨状况。当确认牙槽骨的状况达到矫正的条件后,结合外部口腔检查,拟定初步矫正方案。
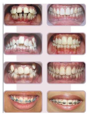
部分人的矫正方案涉及拔牙,但有人能接受有人无法接受,这时就需要结合患者的意愿来调整方案。因此方案可能是一个,也可能是几个,因人而异。(注意:拔牙与否影响着最终的矫正效果,切忌盲目跟风不拔牙。)

接下来
拿传统矫正来说,在粘接托槽之前,有一部分人需要进行一些辅助治疗,包括拔牙、补牙、洗牙等。在口腔健康的状态下佩戴牙套,以免矫正过程中牙齿出现问题,影响矫正的进程,甚至终止矫正。
过程中
在接下来的时间内,每个月复诊一次,医生根据牙齿状况施加一定的压力,让牙齿缓慢移动。必要时会增加零部件辅助矫正。
最后
当牙齿排列整齐、咬合正确后拆下牙套,制作保持器。此时矫正就完成了。

一个完整的矫正过程是时间的累积,寥寥数语仅能大致概括矫正的步骤。现实中,矫正短则几个月,长则一两年,在这个时间段内,需要患者与医生密切配合,按时复诊、遵医嘱,共同努力才能达到预期效果。
我是北京口腔医院吴晶教授,从事牙齿矫正临床工作20余年,擅长各类牙齿错颌畸形矫正问题,尤其擅长隐适美隐形矫正,如果你有任何问题都可关注我的微博私信,我会一一进行回复。