鹅口疮是新生儿常见的口腔疾病,很多宝宝得了鹅口疮后,月嫂往往一脸茫然,搞不清究竟是哪个环节出了问题,这时家长多半会怪罪月嫂护理不当。那么鹅口疮到底是怎么回事,月嫂要担责几成呢?好了,作为象妈妈母婴护理的重点项目,下面我们就来仔细聊聊鹅口疮的科学护理。
鹅口疮又名雪口病、白念菌病。由真菌感染,是儿童口腔的一种常见疾病,多见于婴幼儿。此病是白色念珠菌感染所引起,在口腔黏膜表面形成白色斑膜。


白色念珠菌俗称霉菌。 多发生在口腔护理不清洁、营养不良、体弱的婴儿中,在久病的成年人中亦有发生。白色念珠菌在健康儿童的口腔里也常可发现,但一般不致病。
鹅口疮产生的原因:

喂养因素:
1、有研究表明,人工喂养配方奶的婴儿,特别容易感染鹅口疮。这是因为配方奶中有大量的乳糖,会改变口腔环境的ph值,菌丝喜欢在这种环境中生长繁殖。再者,奶瓶、奶嘴、口水巾消毒不彻底也容易让病菌入侵。此外,人工喂养所用的奶嘴对宝宝柔弱的口腔黏膜是一种刺激,会产生间歇性的机械性创伤,引起白色念珠菌感染。
2、很多遵循传统坐月子的习惯的妈妈月子里不洗澡,产妇的个人卫生难有保证。当乳头不洁,或手指不洁时,很容易将细菌传给孩子,造成白色念珠菌感染。
PS:母乳喂养之所以较人工喂养发病率低,很大原因是母乳中含有大量的保护因子,比如免疫球蛋白、乳铁蛋白、溶解酶等,它们会在婴儿的口腔内形成一层保护膜,避免感染。

孕期及生产史因素:
如果母亲在孕期阴道有霉菌感染,婴儿出生时通过产道,接触母体的分泌物,会增加感染的机会。
接触感染:
1、嘴对嘴亲吻宝宝的嘴唇,也有可能会造成母婴之间的微生物传播。
2、婴幼儿在6~7个月时开始长牙,牙床有轻度胀痛感,婴幼儿便爱咬手指,咬玩具,这样就易把细菌、霉菌带入口腔,引起感染。
药物和疾病免疫失调:
长期服用抗生素,或不适当应用激素治疗,造成体内菌群失调,霉菌就会乘虚而入。
鹅口疮的观察


此病2岁以内的婴幼儿多见,新生儿和6月龄以内的婴儿发生率较高。
口腔黏膜表现:口腔黏膜出现乳白色、微高起斑膜,周围无炎症反应,形似奶块。斑膜黏附与口腔黏膜不易擦去,用力擦去斑膜后,可见下方不出血的红色创面。
好发部位:好发于颊、舌、软腭及口唇部的黏膜,白色的斑块不易用棉棒或湿纱布擦掉。
伴随症状:在感染轻微时,白斑不易被发现,也没有明显痛感,或仅在进食时有痛苦表情。严重时宝宝会因疼痛而烦躁不安、胃口不佳、啼哭、哺乳困难,有时伴有轻度发热。婴儿可能会出现对一般治疗无效的鲜红色尿布疹。

严重并发症:受损的黏膜治疗不及时会不断扩大,蔓延到咽部、扁桃体、牙龈等,严重者可蔓延至食管、支气管,引起念珠菌性食管炎或肺念珠菌病,出现呼吸、吞咽困难,少数可并发慢性黏膜皮肤念珠菌病,影响终身免疫功能。甚至可继发其他细菌感染,造成败血症。
鹅口疮的预防和治疗

注意口腔清洁:宝宝吃奶后、吐奶后,可以喂1-2毫升白开水清洁口腔,让宝宝含水睡觉,不含奶睡觉。因为白色念珠菌喜酸厌碱,在酸性环境中容易生长,碱性环境会抑制其生长。奶液,特别是呕吐的奶渣含在嘴巴里是霉菌的最好培养基。
PS:若已经发生鹅口疮,家长须严格按医嘱用药,鹅口疮还是反复发作的原因就是因为呕吐的奶渣是霉菌的最好培养基。

注意奶瓶、奶具的消毒:如果是人工喂养,每次喂奶后奶瓶、奶头用流动水清洗,放在奶具蒸汽消毒锅中消毒。也可以开水煮沸消毒,煮沸后小火继续煮10-15 分钟,冷却后放入专用消毒柜放置。(注:如果宝宝已经患有鹅口疮,不建议使用一般的奶瓶蒸汽消毒锅)。至于,开水烫一下,无法达到消毒杀菌的效果。口水巾、围兜等使用婴幼儿专用洗涤剂清洗,专用消毒液浸泡后太阳下暴晒。
如果是母乳喂养,乳房长期浸泡在乳汁中会造成妈妈们局部的念珠菌感染,继而传染给宝宝。如果有溢奶,建议定期更换乳罩或乳垫,保持乳头的干爽。妈妈应在喂奶前应用温水清洗乳晕和乳头,并经常洗澡、换内衣、剪指甲。

按医嘱用药:产妇有阴道霉菌病时应积极治疗,切断传染途径。宝宝鹅口疮可以用弱碱性溶液,如2%碳酸氢钠(小苏打)涂抹口腔患处改变宝宝口腔环境,再涂擦制霉菌素混悬剂每天四次。
鹅口疮的预防和治疗

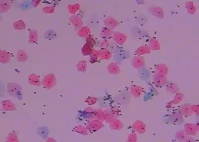
△ 显微镜下的念珠菌

△ 鹅口疮与口腔其它症状的区别
念珠菌喜生于温暖潮湿的环境中,因此对哺乳妈妈而言,乳头和乳房也可能被感染。
通常念珠菌感染初期的症状是痛,很多妈妈陈述乳头或乳房甚或二者皆会有灼痛或刺痛。可能在喂乳的时候开始痛,持续至二次喂乳之间。挤奶的时候也会痛。可能会造成乳头痒或起皮屑,发红或泛光,少数个案在乳头或乳晕上会出现白斑,有时候在乳头或乳晕上会出现红色或粉红色带小水泡的疹子。
若只有乳头感染,医生可能会开局部涂在乳头的抗霉菌药物(软膏或乳霜)。口服悬浮液也需同时开给婴儿治疗口腔,即使婴儿尚未出现任何症状。当乳腺管出现感染或局部*药性**物治疗未能见效时,医师可能会处方全身性的抗霉菌药物。
饮食的改变也可帮忙减少念珠球菌的繁殖,减少糖份摄取非常有效;多吃大蒜可增加免疫力并可帮助控制念珠球菌的滋生。
搜索并关注微信服务号“象妈妈母婴生活”,预约像妈妈一样的专业母婴服务。象妈妈母婴生活提供月嫂、周嫂、日嫂、月子顾问、育儿嫂等专项服务,象妈妈高级母婴进修学院提供母婴护理、育婴等专业课程。象妈妈,像妈妈……
http://www.xmummum.com/Template/default/App/img/home.html?go=Index_listing