牙齿充填,就是我们说的补牙,价格从每颗几十元到数千元不等,经常有网友问我:“补一颗牙齿600元,是被坑了吗?”今天就让我们扒一下补牙齿的秘密!
先科普一下常见的补牙材料种类:
1、 银汞合金(60元/颗,10年前,现在很少使用了)
银汞合金是一种古老的牙齿充填材料,它是由汞和一种或多种金属形成的合金材料(汞银锡合金、汞银锡铜合金、汞银锡铜铟合金)
有着上百年牙科使用历史的银汞合金,是一种优良的牙齿充填材料,其硬度高,耐磨损,价格便宜,而且合金凝固后,性质稳定无毒(低毒)。
由于银汞合金颜色不美观,其主要用于充填后牙,尤其是咬合力较大的洞形,在充填银汞合金后,仍可使用多年。
但是,银汞合金的缺点也显而易见,颜色不美观,容易发生继发龋,且含有汞,汞在常温下即可挥发,易造成污染,且对人体具有毒性,因此很多地区已经开始逐渐淘汰银汞合金。

2、 玻璃离子体水门汀(俗称玻璃离子,80-200元/颗,儿童补牙常用材料)
玻璃离子体水门汀的使用历史不及银汞合金悠久,其用于齿科充填大约只有40多年的历史。它是由粉剂(玻璃粉)和液剂(聚丙烯酸)两组分构成,使用时,调成合适的膏状来充填龋洞。

玻璃离子类材料被用于齿科充填后,在部分场景已取代银汞合金,由于它的易操作性、颜色美观(相对于银汞合金)、粘结性好、不易出现继发龋(含有氟化物)、对牙髓刺激性小等优点,在短短的几十年间,便得到长足的发展,发展出I型 (粘接用)II 型(充填用)III型(垫底用)玻璃离子。
传统的玻璃离子材料由氟铝硅酸钙玻璃粉+聚丙烯酸或聚丙烯酸与依康酸共聚物的水溶液组成,虽然该材料含有氟化物,可以减少继发龋,但由于其本身硬度和耐磨性不及银汞合金,且有一定的水溶性,因此临床上常常出现玻璃离子充填物被咬碎的情况,一旦充填物被咬碎,边缘密封丧失,牙齿仍会出现继发龋。
为了减少玻璃离子的水溶性,增加玻璃离子的耐磨性和硬度,现在已开发出树脂增强型玻璃离子(自凝或光固化)。也有往玻璃离子中添加银粉合金的“银粉玻粘”,这也是一款不错的产品,非常耐磨,但由于银粉玻粘颜色太难看,一般用于后牙。
3、 光固化树脂(180-1000元/颗,补牙的主流材料)
光固化复合树脂应用于牙科的历史虽不及银汞合金,但也有半个多世纪了。树脂材料经过很多代的发展,现如今已成为临床补牙材料中的主力军。其性能好,色泽美观持久,操作简便,成本低(划重点!),故深受广大医患欢迎。
光固化树脂由树脂单体及预聚体组成,能在特殊波段的紫外光照射下,由光敏剂引发聚合反应(迅速凝固变硬)。
光固化补牙树脂简易使用过程:牙齿坏了一个洞,清理打磨后,把树脂放进龋洞内,用充填器械压实,塑形,光照固化,调合抛光,收工!

(光固化树脂材料及充填病例)
主流的三大类补牙材料已经介绍完了,那我们再来说一说,各种材料的优缺点和补牙的价格差异在哪里!
银汞合金硬度高、抗压强,但材料自身无粘接性,只能依靠机械嵌力,有蠕变,有一定的腐蚀性和毒性,长时间可溶出金属离子,也相对容易出现继发龋。
玻璃离子有良好的粘接性,深龋垫底或者充填对牙髓刺激很小,添加有氟化物,可以减少继发龋的发生,但玻璃离子硬度差、不耐磨、易变色,不易塑形。

(玻璃离子充填物劈裂脱落)
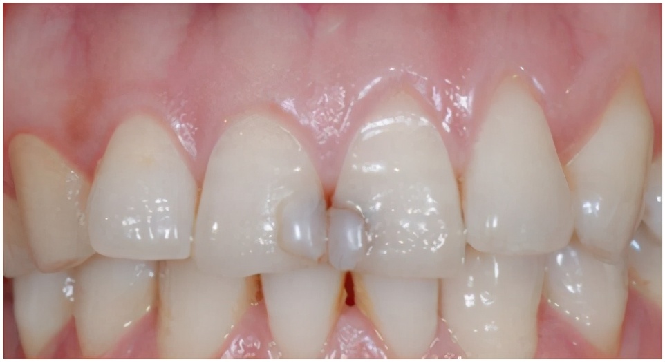
光固化树脂色泽美观,充填效果更逼真,使用光固化灯进行固化,有充足的时间对材料塑形,可以更好地恢复牙齿原来的形态,固化后的树脂硬度高,耐磨,易抛光,不易变色(相对)。但是材料好还要医生技术过硬,不然即便是用树脂材料充填牙齿,也可能出现充填物边缘微渗漏,脱落,继发龋,刺激牙髓(深龋直接充填)等情况。

(不合格的树脂充填)
银汞合金已经用的很少了,就不赘言了。
玻璃离子因为粘性好,含有氟化物,因此常作为儿童龋齿或恒牙非咬合面的充填材料,费用不贵,大概100-200元/颗。
光固化树脂树脂材料种类繁多,性能优良,几乎适用于所有类型的龋洞修复,但巨大的价格差异巨大,也使很多人产生了疑惑——不就是往牙洞里塞点树脂嘛,能有多少钱的成本,收我几百块一颗,太黑心了!
什么学习成本,场地经营成本,牙椅器械耗材,人员工资啥的今天咱们都不谈,就简简单单说说补哪种树脂性价比更高,一千多一颗的树脂材料,到底值不值得补!

临床常用的光固化树脂有太多种类了,比较好的树脂品牌:3M树脂(美国))、义获嘉(列支敦士登)、美塑(意大利)、科尔(美国)、VOCO(德国)……
成本比较高,收费也比较高的千元级树脂:意大利美塑、义获嘉大师、3M公司的P90,科尔声波树脂……
3M公司的P90树脂听说过,但是没有用过,这是一款低聚合收缩的后牙充填树脂,树脂收缩率小于1%,硬度耐磨度号称可以和银汞合金正面刚一下(但真没用过)。
义获嘉大师树脂和意大利美塑树脂是两款美学树脂,主要用于前牙修复(后牙也可以用),若想达到完美的效果,需要多色号的树脂分层堆塑充填,至少也要购买一整套树脂才行,一套美学树脂根据规格不同,成本价5000-10000元左右。
科尔的声波树脂,也是号称树脂收缩率很低(1.6%),充填时使用Kerr声波树脂配套的声波手机,通过声波增加树脂的流动性,让树脂材料与洞壁更加贴合,可减少继发龋,单次树脂固化深度达到5mm,适用于后牙的大面积深龋洞充填……
上面说的几款树脂,单颗牙的充填收费基本都在千元左右,若是前牙龋坏严重或者对牙齿修复后的形态要求较高的,可以考虑使用上述树脂。至于价格,我已经告诉你们上述树脂的名称了,想知道物料成本的,自己去网上搜,但你要觉得医生的技术值钱(修复效果以假乱真),那别说一千块,几千块一颗也是值得的。

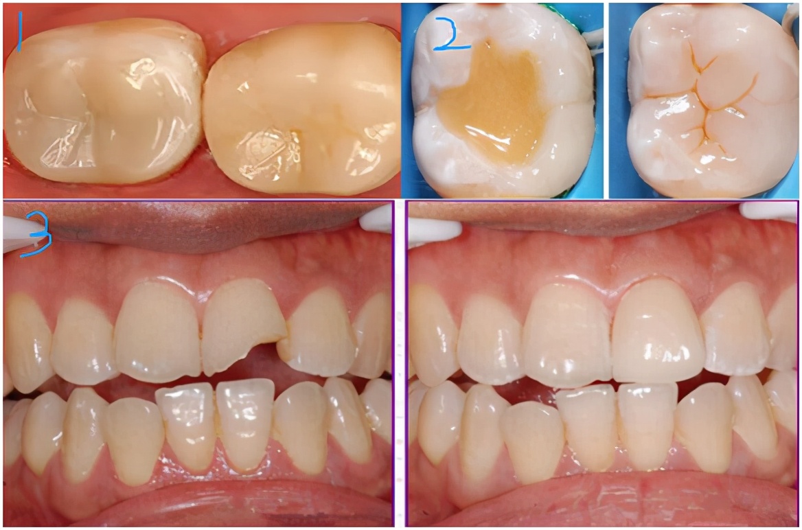
(图1,一般树脂补牙,不注重窝沟牙齿形态,能用就行,图2树脂补牙有恢复窝沟点隙的意识,但是太过刻意,不自然,图3为美学树脂修复前牙,几乎可以达到以假乱真的修复效果)
上述树脂虽然修复效果好,但无奈囊中羞涩,你要问六号牙医,有没有性价比高点的补牙树脂材料,那我就简单推荐几种好了。

以3M树脂为例,为什么以3M树脂为例?六六你是不是收钱啦?这个真没有!因为六号牙医临床使用的树脂补牙材料中,3M的树脂产品占了很大的比例,而且3M的树脂产品使用很普遍,几乎所有的口腔医院(含诊所)都会有几款3M的补牙产品。
200-300元的补牙材料:
3MZ250是一款前后牙通用型混合/微混合填料树脂,填料为微米级(颗粒直径0.6um),质量百分比82%上,多种颜色可选,固化速度快,上市大约二十多年,经过大量临床验证,产品成熟可靠,可满足大部分的临床操作。(因为硬度略差,一般习惯用于前牙)
300-500的补牙材料:
3MZ350是一款前后牙通用型纳米复合树脂,填料为纳米级(填料颗粒大小为20nm ~75nm),比Z250更硬更耐磨,具有很好的抛光保持性,不易变色,充填时不沾器械,手感好,同样上市二十多年,是一种被牙医们广泛认可的优秀充填材料。
3MZ350XT是一款真正意义上的纳米树脂(2011上市),它由二氧化硅/二氧化硅填料及树脂基质组成,所有的颗粒都是纳米颗粒并保持球形,质地更细腻,颜色更逼真,可以看做是Z350的升级版,当然,价格也贵一些。

上述的几种3M树脂,如果收费达到600元/颗以上,那要么是医生技术很高,要么牙科是在北上广深等一线城市,收入高,消费则高。
如果是非一线城市,当地消费水平一般,一家普通口腔诊所用3M树脂补牙收费200元/颗,另外一家普通口腔诊所收费600元 /颗,那相同的材料,数倍的价格差距,技术真的能有几倍的差距吗?所以,你懂的!

或许你会好奇,同品牌同型号的光固化树脂,为什么在不同的牙科,补一颗牙齿,价格可以相差三倍有余?
有一点我们要知道,那就是补牙齿的价格,是和充填材料本身的价格,医生的技术责任心,以及牙科规模大小和当地消费水平都有密切关系的。
举例:都是房子,一线城市能卖到五六万一平米,N线城市五六千一平米的房子也在卖,不同地段和规模的牙科,场所租金,宣传,人员薪酬支出都是不同的。
诸多现实因素,导致了两家牙科,同一种补牙材料,可能出现两个不同的价格,我不想去说哪家牙科的定价是不合理的。
那600元补一颗牙齿,价格合理吗?
只要我们去补牙时,医护人员提前告知了补牙齿的价格,我们也同意了价格,且诊疗中没有隐形消费,没有套路。那我们就不应该在补完牙后,转身骂补牙齿贵,骂医生心黑。
不同牙科之间的补牙价格,我们很难去比较,但是同一个档次和水平的牙科门诊,相同的树脂材料,在你不清楚哪个诊所的医生技术更好时,有钱就去收费高的准没错,没钱的,就选经济实惠的牙科也不会差到哪里去。
结语:对此文感兴趣的亲们可以转载收藏,转载请注明转载自六号牙医,这篇文章没准哪天就删除了!