
来源:医学界呼吸频道
商务合作:2519330936@qq.com
居然还有慢性气胸,你是在逗我么?
我没有逗你,出家人不打诳语,杏林中人不逗你,中文核心期刊,英文杂志都有相关文献。
遇到慢性气胸,胸腔穿刺要谨慎,不要冲动、不要随便选择气胸穿刺的常规部位(锁骨中线第二肋间)穿刺抽气。
前不久会诊,遇到一个患者,CT如下:

平卧位,主动脉弓层面,没有气胸

隆突层面,少量气胸

中叶支气管层面,气胸增多

膈肌层面,气胸更多
有人提议,胸腔穿刺。
胸腔穿刺也需要高级物理学知识。
根据牛顿万有引力定律,水往低处流,气往高处走。患者取半卧位,气体往高处流,气胸跑到上面,选择锁骨中线第二肋间穿刺抽气。
然而,牛顿定律在这里真的适用吗?懂牛顿定理,不一定懂胸腔穿刺。懂办案不一定懂统计学。不懂统计学就不懂得公正。
听说有医生误诊尘肺接近100%被捉去坐牢了。真的是呵呵。
要是这样,我去把张三老师每年高考失利的100个同学全部集合起来,一做统计:张三老师教过的学生,100%高考失利。
把青霉素过敏的100个患者挑出来,一做统计:青霉素过敏发生率100%。
统计学先辈的棺材板按不住了,Michael Jackson开唱《Thriller》了,过来帮帮忙。
这是现实中胸腔穿刺,不是电视剧中各种无视地心引力的一毛特效轻功,让牛顿的棺材板经常按不住。
胸膜分为贴在胸壁的壁层胸膜和贴在肺表面的脏层胸膜。
仔细看看,这个患者的脏层胸膜增厚,提示气胸很可能不是近期的事情,很可能是长时间造成的,正常的肺表面不会有增厚的、白色的一圈。
追问病史,患者诉没有任何呼吸系统症状,气胸是偶然发现的。很明显,这个患者要考虑慢性气胸。
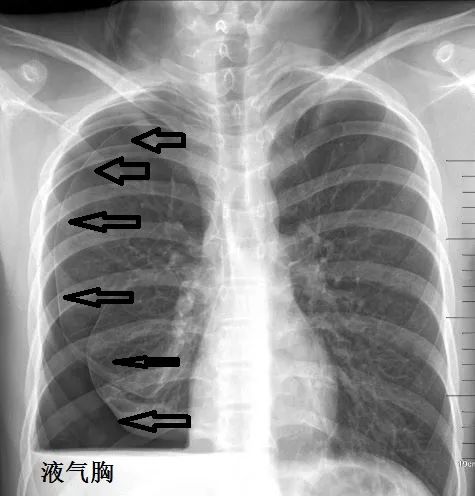
下面怎么办?慢性气胸很可能是非流动性气胸:气胸可能不随着体位大幅度变化。那么,在穿刺之前,做一个站立位胸片就显得很有必要。
后来患者做了站立位胸片,结果显示:选择锁骨中线第二肋间穿刺抽气,是很不妥当的。
气胸主要在左下肺,左上肺的肺纹理清楚可见。

左上肺放大,如下:

很明显,患者的气胸没有往高处走。贫穷限制了我们对奢侈生活的想象力,胸膜的粘连限制了气胸的流动性。
对于这个患者,既然锁骨中线第二肋间不适合胸腔穿刺,那么选择哪个位置呢?
如图:

结合CT,选择腋前线第五、六肋间穿刺抽气,更妥当。
那么,急性期、流动性气胸是什么样的呢?
CT如下:

关于流动性差的气胸的X片,先看看慢性不流动气胸,胸片如下:
下面是急性流动性气胸,气往高处走,对比一目了然:

由此可见,对于气胸,CT和X片各有优劣。
为什么要提慢性气胸这个奇葩的、突兀的、似乎不规范的概念?
■ 第八版内科学,127页,气胸患者禁止坐飞机!
然而,国外有文献报告,有些慢性气胸可以坐飞机:A chronic pneumothorax and fitness to fly!慢性气胸,有时候you can fly。
下面这个患者,慢性局限性气胸。英国,苏格兰,阿伯丁大学,环境和职业医学系的学者报道的病例。
阿伯丁大学是个什么样的大学?
阿伯丁大学,于1495年(中国明朝年间)在苏格兰阿伯丁创立,真的是源远流长,非常长,这椎间盘,不是一般的突出!

可以坐飞机吗?
As a consequence of the assessment, he was considered fit to fly and has completed
over a dozen flights, mostly transatlantic, without difficulty.
由于这次评估,他被认为适合飞行,并顺利地完成了十几次飞行,大部分是横渡大西洋。
■ 慢性气胸很可能不具有流动性,选择穿刺点要谨慎,不能提着穿刺针直奔锁骨中线第二肋间,要谨慎评估,选择合适的穿刺点。CT和X片评估气胸各有优劣。
下面再和大家分享一下,气胸透视的表现。因为透视目前很少用,大家估计对此已经很陌生了。
顺便说说,胸片诊断气胸,一定要会分辨肺纹理。肺纹理消失的地方,才考虑气胸,不可看见肩胛线就误以为是气胸。

最后,请注意:气胸一般不分急性和慢性,但是,慢性气胸的概念是有据可循的,不是凭空捏造的。
以前,哮喘和慢性阻塞性肺疾病(COPD)一定要鉴别个你死我活,谁要是说这个患者哮喘合并COPD,会被鄙视的。
然而,国外的GOLD指南2014年说哮喘可以合并COPD,于是乎我们又疯狂的、突然地开始学习和研究哮喘合并COPD。
可以学习国外,但是一般不能一枝独秀,率先提出这个概念。
我重提这个概念,只是为了和大家分享,胸腔穿刺的注意事项颇多,我们一起分享经验,为人民服务,因为穿刺点错了,就是喂人民服雾。
参考文献:
1. Currie G P, Kennedy A M, Paterson E, et al. A chronic pneumothorax and fitness to fly.[J]. Chest, 2007, 62(2):187.
2. Brock R C. Recurrent and chronic spontaneous pneumothorax.[J]. Thorax, 1948, 3(2):88.
3. 叶达华, 张世明. 短小棒状杆菌菌苗胸腔内注射治疗复发性和慢性气胸[J]. 中华结核和呼吸杂志, 1995, 18(5):315-315.
【版权声明】本平台属公益学习平台,转载系出于传递更多学习信息之目的,如有图片、内容等不想转载传播可与我们联系删除。
【好书推荐】
《脑血管疾病影像诊断》饶明俐著
临床影像病例图谱
原价168元现限时折扣价135元
机会不多赶紧来抢购!
点击下方“阅读原文”立即抢购!