看过《铁线虫入侵》的人
对寄生虫一定是又恨又怕

最近该片的续集加强升级版
《棘球蚴入侵》
在深圳市儿童医院惊悚上演
主角是年仅4岁的京京(化名)
医生在他肚子里的囊肿里
取出了1000多毫升的含寄生虫液体

4岁小男孩,
肚子高高隆起像个孕妇
最近,4岁的京京(化名)生病了:他反复发烧,胃口也不好,时不时还感到憋气、腹胀。看着孩子病怏怏的,家人连忙带着他来看医生。
刚走进诊室,他的肚子就引起了医生的注意。这也难怪:京京才这么点大,胸腔和肚子却高高鼓起,像怀胎6月的孕妇,肚皮上的血管也凸了起来。这不正常。

其实,最近一年以来,京京的爸妈也感觉到孩子的胸廓、肚子比同龄小孩大,但见孩子没有其他症状,以为孩子长身体,是吃撑了。
不过,京京的胃口并不好,时不时哭闹说肚子不舒服,但有时涂了“双飞人”药水,症状就缓解了。心大的家长,也就没太当回事。
详细询问了孩子的症状,检查过他的肚子后,医生心里有种不祥的感觉,当即开了一张CT检查单。
检查结果,让医生倒吸了一口凉气——
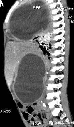
京京右侧胸腔及右侧腹腔,
各有一个巨型囊肿。
这就像,在他的肚子里塞进了两个“大气球”。正是由于“气球”压迫了肺部,他才会呼吸困难,随时都会有生命危险。

手术前,京京胸腹部CT侧面,两处黑色包块状阴影分别为胸腔、腹腔囊肿。
这两个吓人的囊肿,究竟是什么东东?不知道。但一定要尽快处理掉。
经过深圳市儿童医院9个科室的专家会诊,有了初步意见:通过手术清除两个囊肿,先胸部后腹部。但在手术前,要先查清楚孩子是否有包虫病。
两个囊肿中抽取的寄生虫液,足足有1000多毫升!
如果是包虫病(又称棘球蚴病),这台手术就棘手了。
这是因为,如果是包虫病,囊肿内必然有大量的棘球蚴幼虫。一旦囊壁破裂,囊液中含有的大量棘球蚴会造成胸腔、腹腔感染,同时可能引发过敏性休克,导致死亡。而如果不是包虫病,手术就没有多顾虑了。
还真是怕啥来啥。进一步的血液结果证实,京京得的就是包虫病。

手术前,京京在中山医学院病原生物学诊断中心做了进一步检查,结果显示他患有包虫病。
京京妈妈告诉医生,孩子11个月大的时候,曾跟随奶奶到*疆新**的姑姑家生活了半年。这就不难理解了,包虫病流行区域中,*疆新**地区就是其一。
确诊了病情后,一场恶战不可避免了:手术既要完整剥除包虫内囊,还要保证囊液不能有外渗。这就等于,要从一个鸡蛋里完整地取出蛋黄,还不能让蛋黄和蛋清混了。
这台手术的风险还在于:京京胸部的囊肿太大,一旦切除,纵膈摆动,会有心跳骤停的风险。
这也是深圳市儿童医院第一例包虫病手术,没有经验可循,手术难度可想而知。经过专家们反复讨论,手术方案最终形成:
先抽吸完囊肿内囊液
再摘除囊肿
最后进行药物治疗
做了充分的预案后,手术开始了。尽管有了心理准备,医生们还是“大开眼界”:从两个囊肿里抽取的囊液,竟然足足有1000多毫升!

手术后,京京恢复良好,目前正进行规范的药物治疗。再过一两个星期,孩子就有望康复出院了。

手术后,从京京胸腔、腹腔囊肿中抽取的囊液被送检。显微镜下,原头蚴清晰可见。
别小看这个寄生虫,它既能致残又能致命
对生活在内陆和沿海城市的人来说,包虫病并不常见。但在我国西北地区,这个病可谓是家喻户晓。

包虫病,是人感染棘球绦虫的幼虫(棘球蚴)所致的慢性寄生虫病。在整个传播链条中,家犬和狐狸等野生动物是主要传染源。
犬因食入病畜内脏而感染。病犬排出的虫卵,污染牧场、水源等自然环境及羊毛等畜产品。人由于与家犬接触,或食入被虫卵污染的水、蔬菜或其他食物而感染。

可别小看这些小虫子。一旦在人体内“筑巢”,这些寄生虫就会在五脏六腑大搞破坏,甚至会在脑部“攻城略地”,向下则“侵略”输尿管、前列腺、卵巢等部位。
因寄生虫的虫种不同,在我国存在的包虫病可分为两类:
囊型包虫病
泡型包虫病
刚做完手术的京京,得的就是囊型包虫病。一般来说,囊型包虫病的病程缓慢,潜伏期1~30年。多数病人常常没有明显的症状,在体检或因其他疾病手术时发现。
随着包虫囊肿逐渐长大,会开始挤压周围组织器官而出现症状;另机械压迫可使寄生部位周围组织发生萎缩和功能障碍,代谢产物被吸收后,使周围组织发生炎症和全身过敏反应,严重可致死。
泡型包虫病就更可怕。这个病又被称为“虫癌”,可导致肝癌样病变,是高度致死的疾病。患者不经治疗,10年死亡率可达90%。

包虫病是个世界难题,背包客尤其要注意
小小包虫病,还是一个世界性难题。
包虫病呈世界性分布,严重影响家畜、人体的健康,是全球性的重要公共卫生问题。据WHO估计,每年与包虫病相关的治疗费用及对牲畜业造成的损失高达30亿美元。

如果你是一个背包客,那出游这些国家前,你可能要先了解下当地的包虫病的情况——
东亚:蒙古
中亚:土耳其、土库曼斯坦
西亚:伊拉克、叙利亚、黎巴嫩
南美:阿根廷、巴西、智利
大洋洲:澳大利亚
非洲北部、东部和南部的一些国家
我国也是世界上包虫病高发的国家之一,在*疆新**、青海、宁夏、甘肃、内蒙和*藏西**等畜牧业发达的地区,包虫病发病率较高。
京京之所以得了包虫病,可能有这么几种感染途径:
01
与病犬接触
病犬皮毛上虫卵,可能会污染手,并经口感染
02
食用了含虫卵的不洁食物
如果犬粪中的虫卵污染蔬菜或水源,尤其人畜共饮同一水源,也可造成间接感染;
03
经呼吸道感染
在干旱多风地区,虫卵随风飘扬,也有经呼吸道感染的可能。
吸猫撸狗需谨慎,
要和汪星人喵星人保持一定距离哦
要提醒各位铲屎官的是,最近几年,陆续有养猫养狗者被发现患有包虫病。这可能与近年兴起的宠物热有关。

湖南的铲屎官王女士,就不幸“中招”了。她被查出患有肝包虫囊肿,肝包虫在她的肝脏上“筑窝”了。手术切出来的肝包虫,竟然有2斤!
这种虫子怎么进入她的肝脏呢?原来,王女士和自己的宠物狗尤其亲密,几乎都睡在一起,小狗身上的寄生虫就感染了她。

不过,铲屎官们也别瑟瑟发抖,包虫病是可以预防的,只要你做好这几点>>>>
✔ 注意个人卫生,勤洗手,不喝生水,不吃未洗干净的水果蔬菜,不吃生肉(比如生食风干牛肉)。
✔ 虽然吸猫撸狗很爽,但要避免与宠物之间过度的亲密行为,如嘴对嘴喂食、长期共眠等。
✔ 要避免接触未驱虫的犬及其粪便,定期给家犬等宠物服药驱虫、打疫苗。
✔ 搞好狗狗的卫生管理,防止犬粪污染草场、饲料、水源。不给狗吃家畜的生内脏,肉应完全煮熟后再喂狗,以减少患病的危险。
俗话说得好:
吸狗一时爽,
一直吸一直爽。
但医生要提醒你:
养宠千万条,
健康第一条。
得了包虫病,
可能丢小命。
深圳市儿童医院肿瘤协作组简介:
深圳市儿童医院目前已开展多个学科间协作组,其中肿瘤协作组涵盖了血液内科(肿瘤内科)、普外二科(肝胆肿瘤外科)、病理科、放射科、超声科、麻醉科、泌尿外科、神经外科、心胸外科、骨外科等系列学科。
在深圳市儿童医院,抗击肿瘤,不是一个医生在为你奋斗;面对肿瘤,也不只是一个科室在努力。积极完善的多学科会诊制度,有助于给予患者正规、系统、有效和经济的治疗方案,延长患者生存时间,提高患者生活质量。如果您有需要,深圳市儿童医院有专业的转运中心(0755-83008300),还能负责转运危重患儿。
-END-
深圳市儿童医院儿童疾病转运中心
24小时转运危重患儿电话:
0755-83008300
外地患者转诊咨询电话:
0755-83008301
(工作日8:30-11:30,15:00-17:00)
部分图片来源网络,版权属于原作者
本微信公众号致力于公益宣传,无任何商业用途,若有文字、图片、视频设计侵权或违规,请及时告知删除。
-
11岁孩子查出尿毒症,家长后悔已晚!少吃半斤肉,10块钱就可能改变娃的一生
-
全麻会让孩子变傻吗?手术前为啥禁食?你最关心的8个麻醉问题,拿走不谢!
-
喝酸奶=补益生菌?能调整肠道菌群?呵呵!
听说,好看的人,都会点“好看”
