
引言
这是一位IgG4相关性疾病的患者病例。上海长征医院呼吸与危重症医学科团队的第一例疑案系列分享这个案例的目的是想通过展现整个诊断和思辨的全过程提醒同道,这是一类累及多器官的免疫介导疾病,该疾病的表现复杂多样,常与恶性肿瘤、感染及其他炎症性疾病特征混淆,临床难以鉴别,尤以本案的曲折难辨为例子,更能说明早些年类似案例非常容易漏诊、误诊。近几年,IgG4相关性疾病逐渐被医学界关注重视。然而通过我们分享的教训得到了启示——任何单一指标均无法对该疾病进行准确诊断和分类,需要结合临床病史、血清学、影像学和组织病理学特征进行综合分析诊断。如何治疗我们并未进行描述,关键问题是诊断与鉴别诊断,相信大家看了这个案例的诊断整个过程会有所收获。
病史复杂多变,原因难查,抗感染治疗均无明显吸收并反复入院……从病史能看出什么?
这是一位59岁的男性患者,江西宜春人,于2021年7月主诉 「咳嗽、咳痰10月余,发现胸腔积液10月余」 入住我院呼吸与危重症医学科。该患者自2020年9月1日起无明显诱因出现咳嗽,以夜间为主,咳少量白色痰液,伴有活动耐力下降,爬楼梯到3楼即出现气喘现象。无胸痛、发热,盗汗,咯血等不适症状。曾就诊于南昌市某家三甲医院,行胸部增强CT及气管镜检查:


图1:超声气管镜
镜下提示,纵隔淋巴结肿大伴右侧胸腔积液,当地医院考虑为肺癌。但患者胸水检查却未发现癌细胞。为求进一步诊治,2020年9月14日患者到上海某三甲医院肿瘤科完善超声支气管镜检查,提示 「右上叶、右中间支气管粘膜隆起及左下叶粘膜隆起,纵隔及左肺门淋巴结肿大」 ,行EBUS-TBNA未发现肿瘤依据,痰抗酸杆菌涂片、培养及T-SPOT检查未发现结核证据。

图2:气管镜对比。上排:2021年3月4日抗结核治疗前;下排:2021年5月27日抗结核治疗后
PET-CT提示 「炎性病变可能,累及右侧颈部,锁骨区,纵隔,双肺门,右侧腋窝,腹盆腔,腹膜后淋巴结及左肺上叶,双侧胸膜,膈肌,脾门处可能,双侧胸水;垂体瘤可能」 ,该院考虑患者 「炎性病变可能大,肿瘤不除外」 ,嘱其出院后回当地抗感染治疗并随访胸部CT。
2020年9月18日起,患者于当地县人民医院予头孢菌素类抗生素联合左氧氟沙星抗感染治疗21天,期间咳嗽、咳痰减轻,复查胸腔积液量较前减少。2021年1月起,再次咳嗽、咳痰、胸闷加重,至当地县人民医院诊治(具体不详),症状未减轻,2021年3月2日到上海市某三甲医院复查,提示胸腔积液再次增多,复查抗酸杆菌涂片、气管镜刷检、BALF-Xpert均阴性。鉴于既往曾患肺结核,胸水以单个核细胞为主,虽无结核直接证据,仍予诊断性抗结核治疗近3月(2021年3月8日至2021年5月28日),具体方案为 「乙胺丁醇0.75g qd+吡嗪酰胺 0.5g tid+利福平0.6g qd+左氧氟沙星0.5g qd」 ,期间咳嗽、咳痰、胸闷未见明显改善。
2021年5月28日,患者复查右侧胸水量较前明显增多,考虑抗结核治疗无效,予停用抗结核药物。2021年5月31日,气管镜刷检、肺泡灌洗细胞学均未见恶性细胞,病理回报 「(右上叶新生物)见少量淋巴组织不典型增生」 ,考虑淋巴瘤不能除外,请肿瘤医院病理科会诊,结果回报 「(左下叶口黏膜)黏膜慢性炎,间质见挤压的淋巴细胞」 。鉴于在该院长期未能确诊,患者决定至我院诊治,门诊以 「胸腔积液待查」 收入院。自患病以来,该患者精神状态一般,体重增加约3公斤,饮食正常,二便正常,睡眠无异常。
既往史和个人史中对诊断有启发吗?……所幸患者带齐了所有过往诊断资料,从这厚厚一沓影像学资料中我们能看出什么端倪?
据患者自诉,3年多以来,自身出现性欲下降的特征,但未予诊治。2014年,患者确诊肺结核,经过18个月的抗结核治疗后疾病痊愈,但右上肺遗留钙化灶。有高尿酸血症病史3年,最高尿酸超过700umol/L,自行服用「痛酸」治疗后尿酸恢复正常水平。患者否认乙肝、HIV等其他传染病史,否认外伤、手术史,否认食物、药物过敏史。此外,患者久居原籍的屠宰场行政工作数十年,经常接触家猪皮毛。否认疫水接触史;否认吸烟史、饮酒史;预防接种史随当地。婚育史、家族史无特殊。
入院后检查情况如下: 体格检查,体温36.5℃ 脉搏80次/分 呼吸20次/分 血压130/70mmHg,神志清楚,有贫血貌,皮肤无异常,无阴毛、腋毛,右侧下颌下可扪及一枚肿大淋巴结,直径约1cm,质韧,活动度可,无压痛,余浅表淋巴结未及肿大,余浅表淋巴结未及肿大,眼睑无水肿,结膜无充血水肿,唇无紫绀,口腔粘膜无溃疡,扁桃体无肿大。气管位置居中,无颈静脉怒张,甲状腺未及肿大。胸廓对称,肋间隙无增宽,无胸骨压痛,呼吸运动正常。双下肺语颤音减弱,右下肺叩诊浊音,右下肺呼吸音减低,未闻及双肺干湿啰音及胸膜摩擦音。心率80次/分,律齐,未闻及病理性杂音。全腹无压痛及反跳痛,移动性浊音(-)。脊柱及四肢关节无畸形,无压痛、叩击痛,无杵状指(趾),双下肢无水肿。神经系统查体(-)。肛门(-),生殖器幼稚型。
外院辅助检查:
1、结核/真菌相关实验室检查 :2020年9月痰抗酸涂片/培养、T-SPOT、结核抗体、隐球菌抗原检查(-)。2021年3月痰抗酸涂片(-),肺泡灌洗液Xpert(-);
2、胸水检查 :(1)胸水超声(2021年3月):右侧胸腔见深66mm,宽23mm无回声区,左侧胸腔见深64mm,宽28mm无回声区。胸水超声(2021年5月):右侧胸腔见深119mm,宽85mm无回声区,左侧胸腔见深32mm,宽16mm无回声区;(2)胸水脱落细胞学检查(2020年9月至2021年5月):多次未查见恶性细胞。胸水化验(2021年3月):颜色微红,透明度微混,蛋白定性+,白细胞计数0.215,单个核细胞97.7%,多个核细胞2.3%,氯97.9mmol/L,胸水总蛋白73.8g/L,葡萄糖5.695mmol/L,乳酸脱氢酶143U/L,腺苷脱氨酶34IU/L。
3、支气管镜检查:
(1)2020年9月超声支气管镜(见前图1):双侧支气管粘膜肿胀,右上叶,右中间支气管粘膜隆起及左下叶粘膜隆起,纵隔及左肺门淋巴结肿大。「左下叶口粘膜」活检病理:粘膜慢性炎,间质见挤压的细胞。EBUS-TBNA病理:纵隔4R组淋巴结见淋巴细胞及组织细胞;纵隔7组淋巴结见淋巴细胞,组织细胞及上皮细胞;纵隔7组淋巴结见淋巴细胞,组织细胞;纵隔11L组淋巴结见少量淋巴细胞。
(2)2021年3月及5月气管镜(见前图2):气管下段隆突以上见多发息肉样隆起,右上叶开口肿胀,右下叶开口见隆起堵塞管口,左上叶气管肿胀,管口狭窄,其管壁粘膜血管丰富。气管镜刷检、肺泡灌洗液涂片:未见恶性细胞。气管镜活检病理:(右上叶新生物)见少量淋巴细胞不典型增生,淋巴瘤不能除外。免疫组化结果:CK(上皮+),CD20(B细胞+),CD79a(B细胞+),CD3(T细胞+),CD5(T细胞+),Ki-67(70%+)。复旦大学附属肿瘤医院病理学会诊意见(2021-06-28):(左下叶口黏膜)黏膜慢性炎,间质见挤压的淋巴细胞,请结合临床。
4、胸部影像学检查
胸部增强CT(2020年9月4日在南昌市某三甲医院)(图3):

图3:南昌市三甲医院胸部CT增强(2020年9月4日)
CT报告,患者原发性支气管肺癌伴纵隔,两肺门,横隔组,肝胃间隙多发淋巴结转移,双侧胸膜转移,包绕血管并右侧胸腔及叶间积液。胸部增强CT(2020年9月10日 上海市某三甲医院):左肺上叶支气管狭窄,伴周围软组织影,纵隔内肿大淋巴结伴融合,两肺胸膜增厚,两侧胸腔积液,恶性待排。主动脉弓旁条状低密度影。右肺上叶钙化灶,右肺中叶斑片状磨玻璃影。胸部CT增强(2021年5月28日 上海市某三甲医院)(图4):

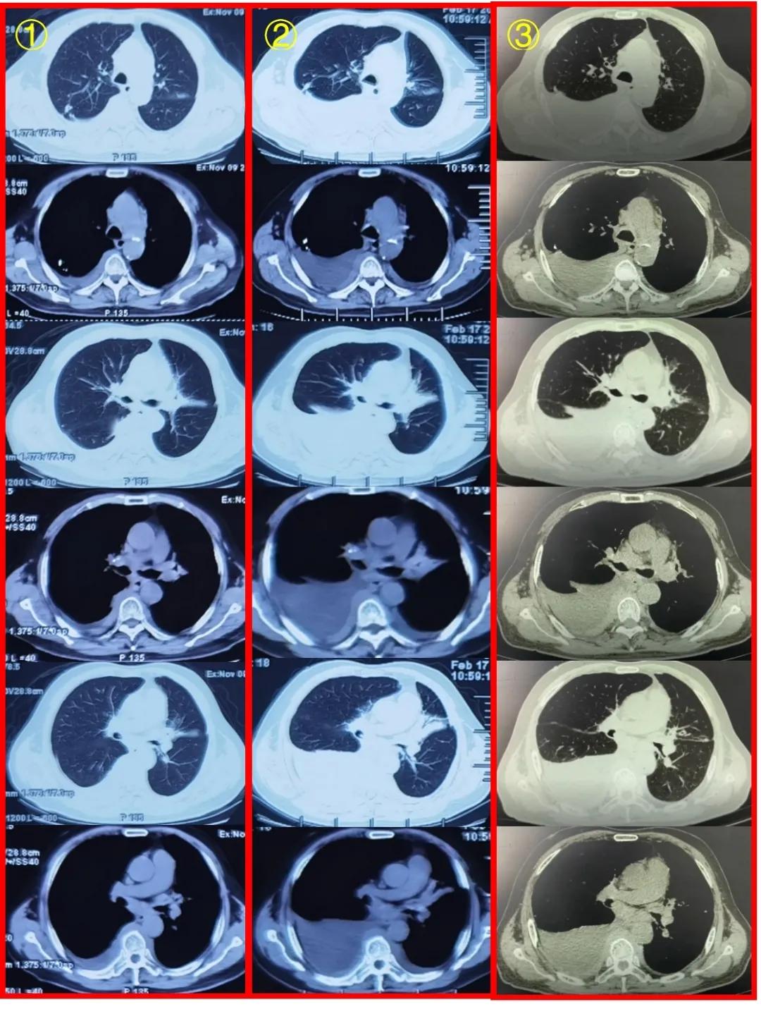
图4:胸部CT平扫对比:①2020年11月9日南昌市某三甲医院(抗感染治疗后复查);②2021年2月17日南昌市某三甲医院(症状加重后复查,抗结核治疗前);③2021年5月21日上海市某三甲医院(抗结核治疗后复查)
从CT影像学我们可以看到,患者左肺上叶支气管狭窄,伴周围软组织影,纵隔肿大淋巴结伴融合,两侧胸膜增厚,右侧液气胸引流中,左侧胸腔积液;较2021年5月21日右侧胸腔积液减少、积气新发。主动脉弓旁条状低密度影,建议结合临床病史。右肺上叶钙化灶,右肺中叶斑片磨玻璃影。后纵隔软组织影:至此,引出一个思考,是纵隔纤维化吗?
5、PET/CT检查
这是患者2020年9月15日在上海市某三甲医院行PET/CT检查影像学资料(图5a 5b):

图5a.上海市三甲医院胸部CT平扫(2021年5月28日)


图5b.上海市某三甲医院PET/CT检查(2020年9月15日)→:腹主动脉壁、胰腺体尾部、肝囊肿
炎性病变累及右侧颈部、锁骨区淋巴结(较大者10*8mm,SUVmax 5.35),纵隔、双肺门淋巴结(较大者位于纵隔7组,大小约23*20mm,SUVmax 5.85)、右侧腋窝淋巴结(较大者10*7mm,SUVmax 3.31)、腹盆腔淋巴结、腹膜后淋巴结及左肺上叶、双侧胸膜、膈肌、脾门处可能;双侧胸水;右肺上叶陈旧灶;肝脏囊肿,痔疮可能;垂体瘤可能(大小约10*9mm)。
6、其他检查
(1)浅表淋巴结超声(2021.3):右侧锁骨上可见数个低回声结节,大者16.7*10.3mm,左侧颈根部可见一个低回声结节,大小11.5*6.4mm,双侧腋下、双侧腹股沟未见明显肿大淋巴结。右锁骨上淋巴结穿刺:见少量淋巴细胞,未见恶性细胞。
(2)浅表淋巴结超声(2021.5):右侧锁骨上可见数个低回声结节,大者12.3*9.4mm,左侧锁骨上可见数个低回声结节,大小4.9*7.9mm,双侧腋下、双侧腹股沟未见明显肿大淋巴结。
(3)心脏彩超、双下肢血管超声:左室舒张功能减退,收缩功能正常,各房室腔大小正常,双下肢深静脉未见明显血栓形成。
入院后做了进一步检查,右前胸壁病灶活检发现什么?根据患者四大特点讨论出什么结果?
患者入院后立即进一步检查血检验,血常规:WBC 3.9x10^9/L,RBC 3.53x10^12/L,Hb 101g/L,PLT 219x10^9/L,CRP 19.54mg/L;血生化:总胆红素8.6umol/L,总蛋白98.3g/L,白蛋白38.1g/L,球蛋白60g/L,白球比 0.63,ALT 17U/L,AST 31U/L,肌酐74umol/L,钾3.81mmol/L,钠128mmol/L,氯91mmol/L,钙2.09mmol/L;血沉 108mm/L;G试验 481.4pg/mL(+)后复查转(-);血肿瘤标志物 CA125 74.66U/mL,余肿标、PCT、内毒素、T-SPOT、乙肝、丙肝、梅毒、HIV均(-);IgG4(2021/7/20)13.3g/L;T淋巴细胞亚群:CD4 150,CD8 199, CD4/CD8 0.75%。
胸水检验情况为:
常规:李凡特实验弱阳性,胸水红细胞计数4000x10^6/L,胸水白细胞计数2430x10^6/L,中性分叶核 6%,淋巴细胞91%,单核细胞3%
生化:胸水总蛋白83.7g/L,胸水LDH 144U/L,胸水葡萄糖6mmol/L,胸水ADA 41U/L
辅助检查情况为:
心电图:窦性心律,T波改变,QRS电轴右偏。
气管镜(图6):声门活动良好。气管下端右侧黏膜局部隆起,隆起处粘膜下血管丰富,管腔通畅,软骨环形态正常,黏膜光滑,隆突增宽。双侧支气管及其分支:黏膜广泛不规则隆起,隆起处血管丰富,黏膜水肿,管腔不均匀性狭窄,软骨环形态消失,但纤支镜可以通过,黏膜无糜烂,溃疡,坏死,二级/三级隆突明显增宽。右中叶与右下叶分嵴隆突处活检。

图6:患者2021年7月1日的气管镜资料
胸腔镜(图7):吸出深黄色胸水1.2L,依次观察前,侧,后,内上壁层胸膜及膈肌,见壁层胸膜散在结节状突起。

图7:患者2021年7月19日的胸腔镜资料
本案例暂时解读到此。我们能从患者的病史中总结出哪些特点?根据特点,团队的诊断思路和方向该往何处考虑?会诊讨论中发生的争端又在哪?……这篇疑案,我们并未给出最终治疗方案,仅解读多个支持点、不支持点,就费尽心思。所幸最终逐步厘清思路,拔云见日。更没想到的是,胸腔镜病理成为最后的诊断依据。
从该案例,我团队总结出较多经验与体会,由于篇幅有限,下集我们将把这些过程细细讲来与同道一起分享。欢迎大家给我们后台留言,帮助我们进行分析判断,总结更多经验。不胜感激。
专家介绍

唐昊
上海长征医院(海军军医大学第二附属医院)呼吸与危重症医学科主任,中华医学会呼吸病学分会 9/10届青委会委员,中国医师协会呼吸医师分会青年委员,上海市医学会呼吸病学分会委员,上海市医学会呼吸病学分会哮喘学组副组长,上海市医师协会呼吸医师分会委员,上海市优秀学术带头人,上海市曙光学者,上海市浦江人才,上海市科技启明星。

石昭泉
上海长征医院(海军军医大学第二附属医院)呼吸与危重症医学科主任医师、教授,博士,美国Lovelace呼吸研究所博士后,研究生导师。主要研究方向:哮喘、COPD的基础研究和临床防治及肺癌介入治疗。学术兼职:上海市医学会呼吸专业委员会委员,上海市抗癌协会呼吸肿瘤内镜专业委员会常委,上海市康复工程研究会呼吸康复专业委员会委员。国家自然科学基金、江苏省、安徽省、苏州市科技项目及奖项评审专家;上海市医疗事故鉴定专家组专家成员;上海市呼吸专业质控督查专家。

王琼
上海长征医院(海军军医大学第二附属医院)呼吸与危重症医学科主治医师、硕士。主要研究方向:睡眠呼吸障碍,肺癌,内镜介入治疗。
本文完
采写编辑:冬雪凝
排版:刘旋