论文标题:Honey bee Royalactin unlocks conserved pluripotency pathway in mammals
作者:Derrick C. Wan, Stefanie L. Morgan, Andrew L. Spencley, Natasha Mariano, Erin Y. Chang, Gautam Shankar, Yunhai Luo, Ted H. Li, Dana Huh, Star K. Huynh, Jasmine M. Garcia, Cole M. Dovey, Jennifer Lumb, Ling Liu, Katharine V. Brown, Abel Bermudez, Richard Luong, Hong Zeng, Victoria L. Mascetti, Sharon J. Pitteri, Jordon Wang, Hua Tu, Marco Quarta, Vittorio Sebastiano, Roel Nusse, Thomas A. Rando, Jan E. Carette, J. Fernando Bazan, Kevin C. Wang
数字识别码: 10.1038/s41467-018-06256-4
《自然-通讯》发表的一项研究Honey bee Royalactin unlocks conserved pluripotency pathway in mammals指出,蜂王浆的蛋白组分Royalactin能够维持小鼠胚胎干细胞的多能性。这项研究还在哺乳动物体内发现了其结构类似物Regina。Regina对干细胞多能性具有类似的促进作用,揭示了干细胞自我更新的内在机制。

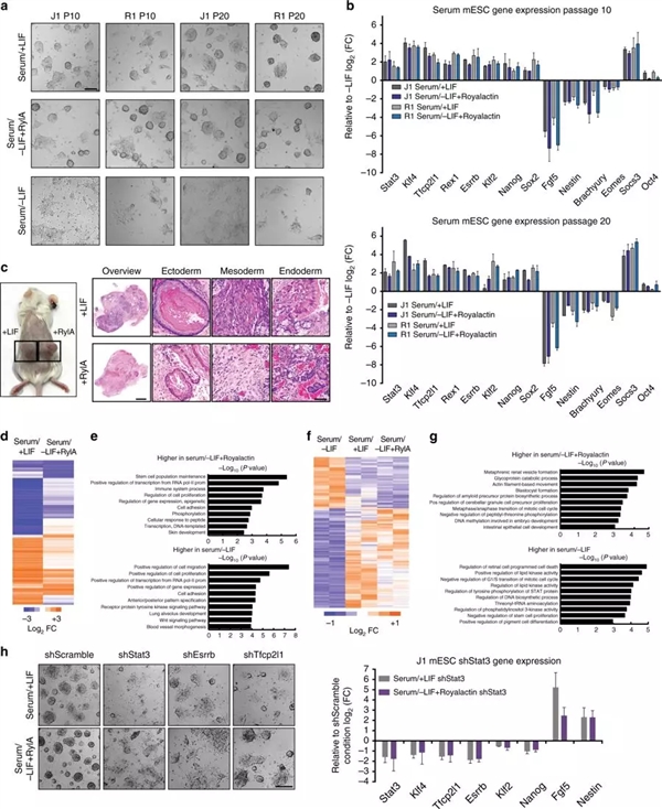
图1:Royalactin能够维持小鼠胚胎干细胞的多能性
蜂王浆是蜜蜂(Apis mellifera)的“蜂后制造者”,已知能影响哺乳动物的寿命、生育能力和再生能力。研究人员发现蜂王浆主蛋白1(MRJP1,亦称Royalactin)是蜂王浆的功能成分,对其它物种具有调节作用,或能激活保守通路。不过,这些保守的细胞信号通路尚未被弄清。

图2:Royalactin在小鼠胚胎干细胞中驱动基态状多能性状态
美国斯坦福大学医学院的Kevin Wang和同事发现,Royalactin能在其它胚胎干细胞维持因子不存在的情况下,激活体外培养的小鼠胚胎干细胞的多能性基因网络,并维持这些细胞。加入Royalactin培养的细胞被注射入小鼠囊胚后,胚胎仍能产生可活的小鼠,这些细胞也可以融入小鼠的生殖细胞。作者还在哺乳动物体内发现了Royalactin的结构类似物,他们称为Regina。作者发现,Regina在体外维持小鼠胚胎干细胞特性方面具有类似的功能能力。这表明蜜蜂到哺乳动物都存在一条演化保守通路,这一通路或许能调控每个物种体内的不同过程。进一步研究将有助于阐明Regina在哺乳动物细胞中的可能作用。
摘要:Royal jelly is the queen-maker for the honey bee Apis mellifera, and has cross-species effects on longevity, fertility, and regeneration in mammals. Despite this knowledge, how royal jelly or its components exert their myriad effects has remained poorly understood. Using mouse embryonic stem cells as a platform, here we report that through its major protein component Royalactin, royal jelly can maintain pluripotency by activating a ground-state pluripotency-like gene network. We further identify Regina, a mammalian structural analog of Royalactin that also induces a naive-like state in mouse embryonic stem cells. This reveals an important innate program for stem cell self-renewal with broad implications in understanding the molecular regulation of stem cell fate across species.
阅读论文全文请访问:http://t.cn/Ey0d4Kj
期刊介绍:Nature Communications (https://www.nature.com/ncomms/) is an open access journal that publishes high-quality research from all areas of the natural sciences. Papers published by the journal represent important advances of significance to specialists within each field.
The 2017 journal metrics for Nature Communications are as follows:
•2-year impact factor: 12.353
•5-year impact factor: 13.691
•Immediacy index: 1.829
•Eigenfactor® score: 0.92656
•Article Influence Score: 5.684
•2-year Median: 8
(来源:Nature Communications)