作者:
张育红 (湖北十堰市人民医院)
刘湘源 (北京大学第三医院)

基础篇
1.什么是系统性硬化症?
答:系统性硬化症(SSc )是一种以局限性或弥漫性皮肤增厚和纤维化为特征的相对少见的全身性自身免疫病;有独特的病理三联征,即微血管损害、固有免疫和适应性免疫功能失调(皮肤纤维增生及血管洋葱皮样改变),最终导致皮肤硬化、血管缺血及多种器官纤维化。本病女性多见,发病率约为男性的4倍,儿童相对少见。发病率为0.026%(56/20万),发病率存在地区差异;发病高峰年龄为30~50岁。
2.什么是硬皮病?与系统性硬化症和系统性硬化有何关系?
答:硬皮病的别称就是系统性硬化症。根据是否存在内脏受累,硬皮病(系统性硬化症)分为局灶性硬皮病和系统性硬化,后者是除皮肤、滑膜、指(趾)动脉出现退行性病变外,消化道、肺、心脏和肾等内脏器官也可受累。具体分类见图1。

图1 硬皮病(系统性硬化症)的分类
3.局灶性硬皮病与系统性硬化的区别?
答:局灶性硬皮病与系统性硬化的区别见表1。

4.什么是CREST综合征?
答:CREST综合征是具有钙质沉着(Calcinosis)、雷诺现象(Raynaud’s phenomenon)、食道蠕动减弱(Esophageal dysmotility)、指端硬化(Sclerodactyly)和(或)毛细血管扩张(Telangiectasis)特征的综合征(见图2~图6),与抗着丝点抗体(ACA)密切相关。临床存在5个症状的3个以上加上抗着丝点抗体阳性即可确诊。该亚型往往由局灶性硬皮病转化而来;注意合并胆汁淤积性肝硬化(PBC);发展缓慢,病史长,预后较好。

5.系统性硬化症的病因有哪些?会遗传吗?
答:系统性硬化症的发病原因复杂,与遗传、环境、感染、药物、性激素水平可能都有关系。虽然该病的发生有遗传因素参与,但家族聚集发病的情况并不多见,有研究表明,家族中的发生率约1.6%~7%。
6.系统性硬化症的发病机制如何?
答:系统性硬化症发病机制复杂,目前已知以下方面在发病中起重要作用:免疫激活、血管损伤及细胞外基质合成过多致使结构正常的胶原沉积增加;以上机制产生于细胞间、细胞与细胞因子间及细胞与基质间。
7.系统性硬化症患者会出现哪些自身抗体?
答:见表2。

8.系统性硬化症患者的寿命如何?
答:系统性硬化症患者具有很明显的异质性,包括临床表现、自身抗体、疾病进展、治疗反应及生存率等,从局限性皮肤受累到内脏典型病变充分显露可长达数十年之久。肾危象、肺动脉高压及肺间质病变是死亡主要原因。另外,提示预后差的危险因素是高龄、男性、弥漫型皮肤受累、硬皮病危象、肺纤维化、肺动脉高压、肿瘤、抗Scl-70抗体阳性和抗U1RNP抗体阳性及甲皱微循环重度异常。
9.系统性硬化症有哪些临床表现?
答:临床表现有多系统和器官纤维化;以雷诺现象和皮肤肿胀硬化(见图7~图11)为主要表现,以局限或弥漫性皮肤增厚和纤维化为特征,部分患者可出现全身各系统受累,包括心肺、肝肾、消化道、骨骼关节、甲状腺、神经系统等;内脏损害是预后的决定性因素。血清中可查到抗核抗体、抗着丝点抗体、抗Scl-70等多种自身抗体,肺CT、超声心动图、腹部超声、心脏MRI、消化内镜等检查可评估各脏器功能。

图7~图11 系统性硬化症患者出现的皮肤硬化
10.弥漫型与肢端型系统性硬化症有哪些不同?
答:见表3。

11.1980年ACR关于系统性硬化症的分类标准是什么?
答:A.主要条件:
(1)近端皮肤硬化:手指及掌指(跖趾)关节近端皮肤增厚、紧绷、肿胀;
(2)以上改变可累及整个肢体、面部、颈部和躯干(胸、腹部)。
B.次要条件:
(1)指硬化:上述皮肤改变仅限手指;
(2)指间凹陷性瘢痕,或指垫消失:由于缺血导致指间凹陷性瘢痕,或指垫消失;
(3)双肺基底部纤维化:在立位胸片上,可见条状或结节状致密影,以双肺为著,也可呈弥漫斑点或蜂窝状肺,除外原发性肺病所引起的这种改变。
条件判定:具有主要条件或两个以上次要条件者,可诊断为系统性硬化症。此外雷诺现象、多发性关节炎或关节痛、食道蠕动异常、皮肤活检提示胶原纤维肿胀和纤维化、血清ANA、抗Scl-70抗体和抗着丝点抗体阳性均有助于诊断。
该标准对早期的系统性硬化症和局限性皮肤型系统性硬化症缺乏敏感性,在疾病的分类中存在一定的不足。
12.2013年ACR/EULAR关于系统性硬化症的分类标准是怎样的?
答:首先,有1个充分条件(9分):双手的手指皮肤增厚并延伸到临近的掌指关节。
其次,有2个排他性标准:有皮肤增厚但是无手指皮肤累及的患者;临床表现能用与系统性硬化症有类似表现的其他疾病解释的患者:肾硬化性纤维化、硬斑病、嗜酸性粒细胞筋膜炎、糖尿病相关的硬肿病、硬化性粘液性水肿、硬化性肌痛、卟啉病、苔藓、移植物抗宿主反应、糖尿病性手关节病变。
然后,有7个合并分值的条件:手指皮肤增厚:①手指肿胀 2分;②指端硬化(离跖趾关节较远,离指间关节较近)4分;指尖病变:①指尖溃疡 2分;②指尖点状瘢痕 3分;毛细血管扩张 2分;甲壁毛细血管异常 2分。患者得分≥9 分则可归类为系统性硬化症。
13.什么是系统性硬化症损伤指数?
答:(1)系统性硬化症损伤指数(DI)即系统性硬化症临床试验协会损伤指数,由系统性硬化症临床试验协会(SCTC)工作组近期建立的第一个系统性硬化症损伤指数(见表4),期望其在药物干预研究、观察性研究、临床试验中作为结局测量指标发挥作用。
(2)系统性硬化症临床试验协会工作组通过共识确定系统性硬化症中“损伤”的定义,即“持续性且不可逆的解剖结构或生理功能受损,直接由系统性硬化症引起,而非继发于其治疗或合并症,也不包括患者报告的结果;损伤应区别于疾病活动度和疾病严重程度,应可预测疾病并发症和/或死亡率。持续的时间根据具体情况而定”。

14.系统性硬化症与糖尿病性 硬肿症 如何鉴别?
答:见表5。

15.系统性硬化症与嗜酸性筋膜炎如何鉴别?
答:见表6。

16.系统性硬化症患者治疗原则是什么?
答:(1)所有患者需对症治疗,不管是局限性或弥漫性,均应针对其血管表现进行治疗;
(2)活动性的、早期弥漫型皮肤性系统性硬化症需要免疫抑制治疗;
(3)定期随访,警惕重要器官受累。见图12。

17.系统性硬化症如何治疗?
答:见表7。

19.如何对症处理系统性硬化症合并的肺动脉高压?
答:见表9。

20.如何对症处理系统性硬化症合并的胃肠道受累?
答:见表10 。

21.系统性硬化症相关间质性肺病(SSc-ILD)?
答:系统性硬化症是一种罕见的疾病,主要影响年轻和中年妇女,导致发病率和死亡率成比例的上升。间质性肺病(ILD)是系统性硬化症患者中最常见的死亡原因,患病率高达30%,10年死亡率高达40%。间质性肺病在非裔美国人和弥漫性皮肤硬化或抗拓扑异构酶1抗体的人群中更为常见。
22.系统性硬化症患者容易发生间质性肺病吗?
答:高达80%的系统性硬化症患者的胸部高分辨率CT和高达90%的尸检患者存在明显的肺间质病变,但仅30%~40%的患者会发展为具有临床表现的间质性肺病,10年死亡率为40%。间质性肺病的患病率在疾病的发展过程中呈上升趋势。
23.系统性硬化症相关间质性肺病的发病机制是什么?答:是纤维化、自身免疫、炎症和血管损伤相互作用的结果。发病初期,肺泡上皮或肺血管系统损伤,或两者同时损伤,异常激活免疫系统,成纤维细胞的聚集和激活,细胞外基质过度增生,最终导致瘢痕取代正常的肺结构。
24.系统性硬化症相关间质性肺病有哪些临床表现?
答:最常见的表现是疲劳、劳力性呼吸困难和干咳,但起病初期一般无特殊症状。体格检查时,听诊可闻及双侧肺基底部有“Velcro”啰音。早期的肺功能检查可以正常。
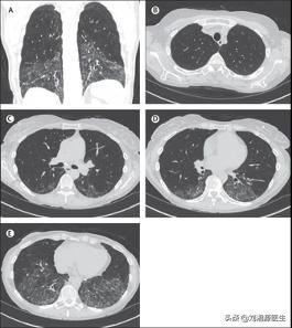
25.系统性硬化症相关间质性肺病有哪些影像学特点?答:高分辨CT上最常见的影像学表现是非特异性间质性肺炎,在80%以上的患者中可见(图13 A-E)。特征是成片状磨玻璃样改变,尤以胸膜下区域明显。在系统性硬化症相关间质性肺病患者中,只有10%的患者存在明确的间质性肺炎模式,没有磨玻璃样变但伴蜂窝样变。

图13 A~E系统性硬化症相关 间质性肺病的高分辨CT影像
26.如何预防系统性硬化症相关的间质性肺病?答:(1)鼓励所有系统性硬化症患者,尤其是系统性硬化症相关间质性肺病患者戒烟。
(2)建议所有患者每年接种流感疫苗,同时接种肺炎球菌病疫苗,防止肺部感染。
(3)积极治疗系统性硬化症。
27.系统性硬化症相关间质性肺病患者可用环磷酰胺治疗吗?答:环磷酰胺(CYC)是一种细胞毒*药性**物,通过烷化作用抑制淋巴因子的产生,同时通过修复血管内皮细胞减轻炎症反应。口服或静脉使用环磷酰胺是系统性硬化症相关间质性肺病治疗的首选。系统性硬化症肺研究(口服环磷酰胺1年,最大剂量为2 mg/kg/d)显示,与安慰剂相比,使用环磷酰胺组的用力肺活量有显著改善,但停药后缺乏持续获益,故需要联合其他药物维持治疗。
28.霉酚酸酯可治疗系统性硬化症相关间质性肺病吗?
答:霉酚酸酯(MMF)是淋巴细胞增殖的*制剂抑**,对于治疗系统性硬化症相关间质性肺病,是一种比环磷酰胺更安全且毒性更小的替代品。一项为期2年研究显示,环磷酰胺和霉酚酸酯两种治疗均可显著改善肺功能,但霉酚酸酯耐受性较好,且毒性较低。Owen等研究表明,与硫唑嘌呤相比,霉酚酸酯治疗可使患者临床稳定长达36个月,早期不良事件发生率较低。
29.利妥昔单抗可以治疗系统性硬化症相关间质性肺病吗?
答:利妥昔单抗是一种针对B细胞CD20抗原的单克隆抗体,是系统性硬化症相关间质性肺病患者的有希望的药物。越来越多的证据支持B细胞可能参与系统性硬化症相关间质性肺病的发病机制。开放试验病例报告和一项随机对照试验表明,利妥昔单抗在治疗系统性硬化症相关间质性肺病中可能发挥作用。在一项前瞻性的观察研究中,20例弥漫性系统性硬化症患者在接受利妥昔单抗治疗12个月后,用力肺活量和肺总量较基线水平显著升高。
30.尼达尼布可治疗系统性硬化症相关间质性肺病吗?
答:尼达尼布(Nintedanib)是一种具有抗炎和抗纤维化作用的药物,已被批准用于治疗特发性肺纤维化(IPF)患者。在2019年9月,在美国被批准作为第一个且是唯一的用以减缓系统性硬化症相关间质性肺病患者肺功能下降速度的药物。
31.吡非尼酮在系统性硬化症相关间质性肺病中的应用?
答:(1)吡非尼酮是第一个批准用于治疗肺间质纤维化(IPF)的药物,吡非尼酮在5 项 RCT 研究中证明其有效,吡非尼酮对IPF患者FVC和运动耐力的影响有临床积极意义,吡非尼酮降低疾病进展和1年病死率大约为 50%。吡非尼酮临床获益显著超过副作用(胃肠道反应、光过敏、皮疹),只有少数患者因为副作用而停药。
(2)吡非尼酮具有抗炎及通过抑制转化生长因子-β(TGF-β)而抗纤维化的作用。Khanna等进行的多中心随机非盲试验中,对63名SSc-ILD患者分别予吡非尼酮(起始剂量为每次267mg(人种差异剂量),每天3次;后每4周增加267/d,加量至每次801mg/d,每天3次)联用MMF(≤1.5g/次,每天两次)治疗16周,较单用吡非尼酮(每2周递增剂量)能更好地改善呼吸困难症状,且不良反应小(头痛、乏力、胃肠道不适、肝功能异常等)、易耐受。吡非尼酮在改善SSc-ILD引起的呼吸困难症状及肺功能降低有显著疗效,不良反应小且易耐受。
(3)吡非尼酮和尼达尼布作为中等证据、有条件推荐应用于特发性纤维化的临床治疗,已写入 2015 年更新的特发性纤维化治疗指南,这两种药物临床获益远超过其不良反应。
32.静脉注射免疫球蛋白在可以治疗系统性硬化症相关间质性肺病吗?
答:静脉注射免疫球蛋白(IVIg)对系统性硬化症患者的影响尚不清楚。一些报告表明,静脉注射免疫球蛋白治疗对个体患者有益,但只有少数记录了系统性硬化症相关间质性肺病的临床过程。Levy等报告了3例患者,其中1例为轻度限制性肺疾病,在总剂量为56g免疫球蛋白治疗后,肺扩散指数改善。
33.肺移植可治疗系统性硬化症相关间质性肺病吗?
答:肺移植是一种可行且可能挽救生命的方法,用于治疗患有终末期间质性肺病的系统性硬化症患者。然而,由于多种并发症(包括胃食管反流、运动障碍、肾功能损害、溃疡引起的皮肤破裂和心律失常)增加了手术相关死亡的风险,系统性硬化症被认为是移植的不佳因素。
34.儿童局限性硬皮病如何评估和治疗?
答:儿童局限性硬皮病是一种少见的儿童风湿病,以证据为基础的指南很少,且多建立在医生经验的基础上。2019 欧洲儿童局限性硬皮病管理专家(15个儿童风湿病专家和2名青年学者)提出儿童局限性硬皮病诊断和评估的推荐,见表11。

35.儿童局限性硬皮病如何治疗?
答:2019 欧洲儿童局限性硬皮病管理专家(15个儿童风湿病专家和2名青年学者)提出儿童局限性硬皮病治疗推荐,见表12和图14。


注:LoSCAT=局限型硬皮病皮肤评估工具;MTX=甲氨蝶呤;CS=糖皮质激素 图14 儿童局限性硬皮病治疗流程图
妊娠篇
36.系统性硬化症女性患者的生育力如何?
答:目前还难以得出任何明确结论。20世纪50年代,系统性硬化症女性患者被认为生育力下降,因女性患者的妊娠率很低。后续的研究不多,且有一些争论。总体看,与一般女性相比,系统性硬化症女性在发病前妊娠分娩的活产率明显更多,而发病后妊娠分娩的活产率明显降低。与类风湿关节炎女性和健康者相比,系统性硬化症女性患者的生育力无差异。这些结论受限于患者的回忆,无法区分是受孕困难还是不愿受孕。
37.妊娠对系统性硬化症的影响?
答:(1)由于本病发病年龄较大,且少见,研究不多。从理论上来说,系统性硬化症女性患者的TH1细胞因子占优势,存在不良妊娠包括自然流产等可能;
(2)全身型伴内脏功能损害者可致器官衰竭,尤其是中度以上肺功能或心肌损害的患者妊娠期病情可加重, 甚至死亡,而局限型硬化病无明显影响;
(3)有研究显示,患者怀孕后,约40%的雷诺现象好转,69%的皮肤硬化增厚稳定,而有24%反流性食管炎恶化,妊娠不增加肾危象风险,但如果发生肾危象,一般见于全身型早期。
(4)妊娠期腹压增加,可能加重食管动力障碍,导致消化不良。
38.什么情况下系统性硬化症患者不能怀孕?
答:伴内脏功能损害者的全身型患者在病情未得到控制情况下,不宜怀孕。尤其是肾危象患者。
39.系统性硬化症患者妊娠的指征?
答:虽然系统性硬化症的孕妇属于高危,但不是怀孕的绝对禁忌,如下情况可考虑怀孕:
(1)局限型系统性硬化症,皮损局限于手指、手、面、颈,偶累及前臂及下肢;
(2)其他类型患者经治疗后病情平稳,泼尼松剂量已降至≤10mg/d,免疫系统各项指标均在基本正常范围内,各重要脏器功能正常,尤其是心、肺和肾功能。
40.系统性硬化症患者妊娠过程中,会发生内脏损害吗?
答:系统性硬化症患者妊娠过程中,可出现内脏损害。
(1)发生肾损害和高血压分别占58%和30%,其中7%~10%在妊娠早中期出现恶性高血压,一旦出现肾功能不全或恶性高血压,则并发先兆子痫的几率增高,且难以控制,甚至危及母儿生命。
(2)还可累及心脏,产生心肌病变、心律不齐,甚至心衰;常有肺动脉高压,导致呼吸困难。
41.系统性硬化症为什么易合并妊娠高血压疾病?
答:因系统性硬化症患者多存在血管病变,易并发以全身小动脉痉挛为特征的妊娠期高血压疾病,增加孕妇的死亡率。还可因血液高凝状态等,诱发血管内凝血,导致死亡。
42.妊娠期系统性硬化症的治疗原则?
答:基本上与普通患者相同,但用药需兼顾母体与胎儿的安全性,使用孕期安全有效的药物。
43.备孕和孕期系统性硬化症患者可选用哪些免疫*制剂抑**?
答:(1)硫唑嘌呤:剂量应<2mg/(kg.d),用前最好测功能性巯基嘌呤甲基转移酶,基因突变者禁用;
(2)环胞素A;
(3)他克莫司。
44.系统性硬化症患者妊娠期并发子痫前期及子痫如何处理?
答:(1)紧急给予强心利尿剂的同时,应用血管活*药性**降低血压是治疗之根本;平稳降压和不影响胎盘血流灌注是选择血管活*药性**物之关键;肼苯哒嗪是国外应用于重度子痫前期降压的最普遍的药物;酚妥拉明是目前被国内大多数学者(包括心内科专家)认可的首选血管活*药性**物。
(2)注意预防肾危象和肾衰:密切观察血压、眼底和血清肌酐浓度,避免肾危象的主要高危因素——使用大剂量糖皮质激素。
45.系统性硬化症患者妊娠期并发心衰如何处理?
答:(1)应予具有正性肌力作用和电生理作用的快速强心甙药毛花甙丙(C)(西地兰),静脉注射20~40mg速尿减轻体液量,改善心功能,消除水肿;
(2)谨慎改善低蛋白血症,提高利尿效果。
46.系统性硬化症患者妊娠期如何使用糖皮质激素?
答:起始量为强的松2.5~5mg口服,逐步增高剂量以控制症状,然后逐渐减量以到达最低适宜剂量后维持用药。剂量> 40mg/d时可增加肾危象的风险。
47.系统性硬化症妊娠期可用低分子右旋糖苷吗?
答:可以用。低分子右旋糖苷为血浆增容剂,分子质量在2万u左右,易从尿中排出,但扩容持续时间较短;另外,还有抑制血小板凝集和增加纤维蛋白溶解活性的作用,改善微循环、减轻指(趾)尖疼痛和促进溃疡愈合,但效果仅能持续数周。
48.系统性硬化症妊娠期可以使用维生素E吗?
答:维生素E能维持毛细血管的正常通透性,改善末梢血管的血液循环,故对系统性硬化症的雷诺现象和手指溃疡坏死有效,剂量为800~1200U/d。
49.系统性硬化症患者妊娠期可用中药治疗吗?
答:可以使用。
(1)丹参注射液有抑制皮肤和内脏器官成纤维细胞增生、防止组织硬化的作用;
(2)脉络宁20~ 40ml加5%葡萄糖液500ml静滴,1次/日,15天为1疗程;
(3)黄平平针对具有皮肤硬化、色素沉着、雷诺现象和关节损害的系统性硬化症患者。
(4)基本方(海马8g,龟板18g,鳖甲18g,丹参30g,每日1剂,水煎服)可能也有一定的作用。
50.妊娠期系统性硬化症发生雷诺现象,如何处理?
答: 避冷保暖。丹参注射液(每毫升相当于原生药2g)8~ 16mL加入低分子右旋糖苷500mL内静脉滴注,每日1次,10次为1个疗程,连续或间歇2~ 3个疗程后,能阻止红细胞及血小板的聚集,降低血液黏滞性、改善微循环。
51.妊娠期系统性硬化症的反流性食管炎处理?
答:应少食多餐,餐后取立位或半卧位;可服用组胺受体阻断剂(雷尼替丁等)降低胃酸;如吞咽困难,可增加胃肠动力药物;腹部胀满可间断服用广谱抗生素;营养不良者应积极补充蛋白质、维生素和微量元素。
52.妊娠期系统性硬化症的肺肾疾病处理?
答:有报道认为雷公藤总苷和大环内酯类可以减轻系统性硬化症肺部纤维化症状;有报道一患者在出现系统性硬化症性肾危象并精神紊乱后,经长达4年多的血液透析治疗后,肾危象逆转,同时系统性硬化症症状改善,抗核抗体转阴。
53.系统性硬化症的妊娠结局如何?
答:(1)系统性硬化症患者妊娠时,流产、早产、低体重新生儿的发生率较高;Sampaio-Barros等研究表明,在系统性硬化症发病后怀孕的妇女中有72%系统性硬化症的病情保持稳定,有14%出现恶化,另14%好转;多项研究表明系统性硬化症女性自然流产风险增加。
(2)系统性硬化症通常能够成功妊娠,但临床医生应意识到其妊娠并发症的风险可能增加;有限的研究数据表明:疾病发作后早产和分娩小于胎龄儿风险可能增加;但药物使用、年龄和其他早产危险因素对这些结果影响尚不清楚。
54.系统性硬化症患者分娩时应注意什么?
答:据胎儿和母亲病情决定终止妊娠时间和方式,原则上不宜超过预产期;合并心肾等脏器损害时,应尽早终止妊娠;终止妊娠的方式,一般可经阴道分娩,会阴皮肤硬化者应行会阴侧切术,如阴道分娩困难,需择期剖宫产。产程中需要密切监护,防止胎儿缺氧。
55.系统性硬化症分娩选择什么麻醉方式?
答:有张口困难时,全身麻醉气管插管常不能实现;呼吸功能正常者,可选择硬膜外麻醉;分娩时常规预防雷诺现象的发生,注意产房保暖。
56.系统性硬化症产后能母乳喂养吗?
答:产后观察病情活动情况,如病情稳定,可考虑母乳喂养;若有皮肤病变进展或新发高血压等,应及时调整用药,必要时,停止母乳喂养。
参考文献
[1] 刘湘源.图表式临床风湿病学[M].中国医药科技出版社,2013,07:246-273
[2] 张奉春,栗占国.内科学风湿免疫科分册.人民卫生出版社,2015:53-63
[3] 曾小峰,郑毅.内科学第八篇第十一章-九版.人民卫生出版社,2018:851-854
[4]Francesco Zulian , Roberta Culpo, Francesca
Sperotto,et al.Consensus-based recommendat-
ions for the management of juvenile localised scleroderma. Ann Rheum Dis,2019,78(8):1019-1024.
[5] Perelas A, Silver RM, Arrossi AV, Highland KB. Systemic sclerosis-associated interstitial lung disease. Lancet Respir Med. 2020;8(3):304‐320.
[6] Cottin V, Brown K K. Interstitial lung disease associated with systemic sclerosis (SSc-ILD)[J]. Respiratory research, 2019, 20(1): 13
[7] Giacomelli R, Liakouli V, Berardicurti O, et al. Interstitial lung disease in systemic sclerosis: current and future treatment[J]. Rheumatology international, 2017, 37(6): 853-863
[8] Volkmann ER, Tashkin DP. Treatment of Systemic Sclerosis-related Interstitial Lung Disease: A Review of Existing and Emerging Therapies. Ann AmThorac Soc. 2016;13(11):2045‐2056.
[9] Nava Ferdowsi. Development and validation of the Scleroderma Clinical Trials Consortium Damage Index (SCTC-DI): a novel instrument to quantify organ damage in systemic sclerosis. Ann Rheum Dis,2019,78(6):807-816.
[10]赵云,张奉春.抗风湿药物对生育力、妊娠及哺乳的影响[J].中华临床免疫和变态反应杂志,2013,7(02):188-192.
[11]中华医学会风湿病学分会,2004年中华医学会风湿病学分会系统性硬化病诊治指南(草案),2007,01-24
[12]Medsger TA Jr, Masi AT. Epidemiology of progressive systemic sclerosis. Clin Rheum Dis,1979,5:15.
[13]Sánchez-Guerrero J, Colditz GA, Karlson EW, et al. Silicone breast implants and the risk of connective-tissue diseases and symptoms. N Engl J Med,1995, 332:1666.
[14]Knupp MZ, O'Leary JA. Pregnancy and scleroderma. Systemic sclerosis. J Fla Med Assoc,1971, 58:28.
[15]Black CM. Scleroderma--clinical aspects. J Intern Med,1993,234:115.
[16]Falanga V, Medsger TA Jr, Reichlin M, Rodnan GP. Linear scleroderma. Clinical spectrum, prognosis, and laboratory abnormalities. Ann Intern Med, 1986,104:849.
致 谢
2020年春节后,我们陆续推出了《免疫性不良妊娠答疑解惑》和《免疫不良妊娠病例讨论》系列专题,受到了广大患者和同行的好评,在此,对已参与该专题撰写、编辑、修改和补充的医生、专家和教授(见如下名单)表示深深的感谢!
众所周知,复发性不良妊娠的诊疗涉及面很广,不是哪一个医学专业所能完全覆盖的,每个医学专业的大夫观点和意见不尽相同,甚至完全相反,而广大的患友们更是非常迷惑、焦虑、痛苦甚至绝望,无所适从。为此,我们收集了数十场患者教育会过程中,患友们常提到或较关注的问题,组织全国相应专业的博士、高年资医生、专家和教授,以提问关键词相关内容的方式,进行了详细客观的回答,希望能对每一位有不良妊娠史孕妈妈的顺利怀孕和分娩有所帮助!
值得注意的是,《免疫性不良妊娠答疑解惑》系列专题内容是每一位医学工作者通过查阅国内外的文献资料,并结合自己的临床实践总结出来的,不一定适合于所有的患者,每一位患者应根据自身情况来综合分析和判断,这些资料仅供参考!
当然,在撰写、编辑、修改和补充过程中,肯定仍有不少的遗漏和错误,希望广大的读者们批评指正,我们将在出版书籍时予以纠正,谢谢!
刘湘源及其团队
2020-4-29
医学博士、医生、专家和教授名单
(已网络发布,按省市及姓氏拼音排序)
