病人为65岁男性,既往无特殊病史,主因上腹部疼痛不适,不明原因体重下降在当地医院诊治,行化疗检查提示肿瘤标记物CA-199超过2000U/ml,腹部CT提示胰尾部占位,随后因要求手术治疗来我院就诊并收住入院。
患者入院后行进一步检查,化疗检查肿瘤标记物CA-199 3500U/ml;腹部增强CT提示胰尾部囊实性占位,考虑恶性可能性大,未见明显肿大淋巴结;胃肠镜检查及心电图未见明显异常。

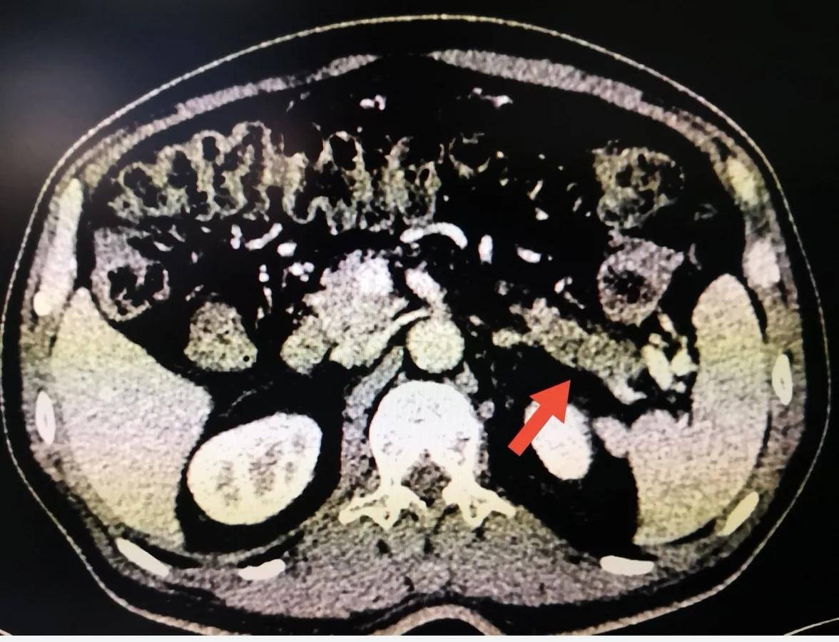
腹部增强CT见胰尾囊实性占位,箭头所示

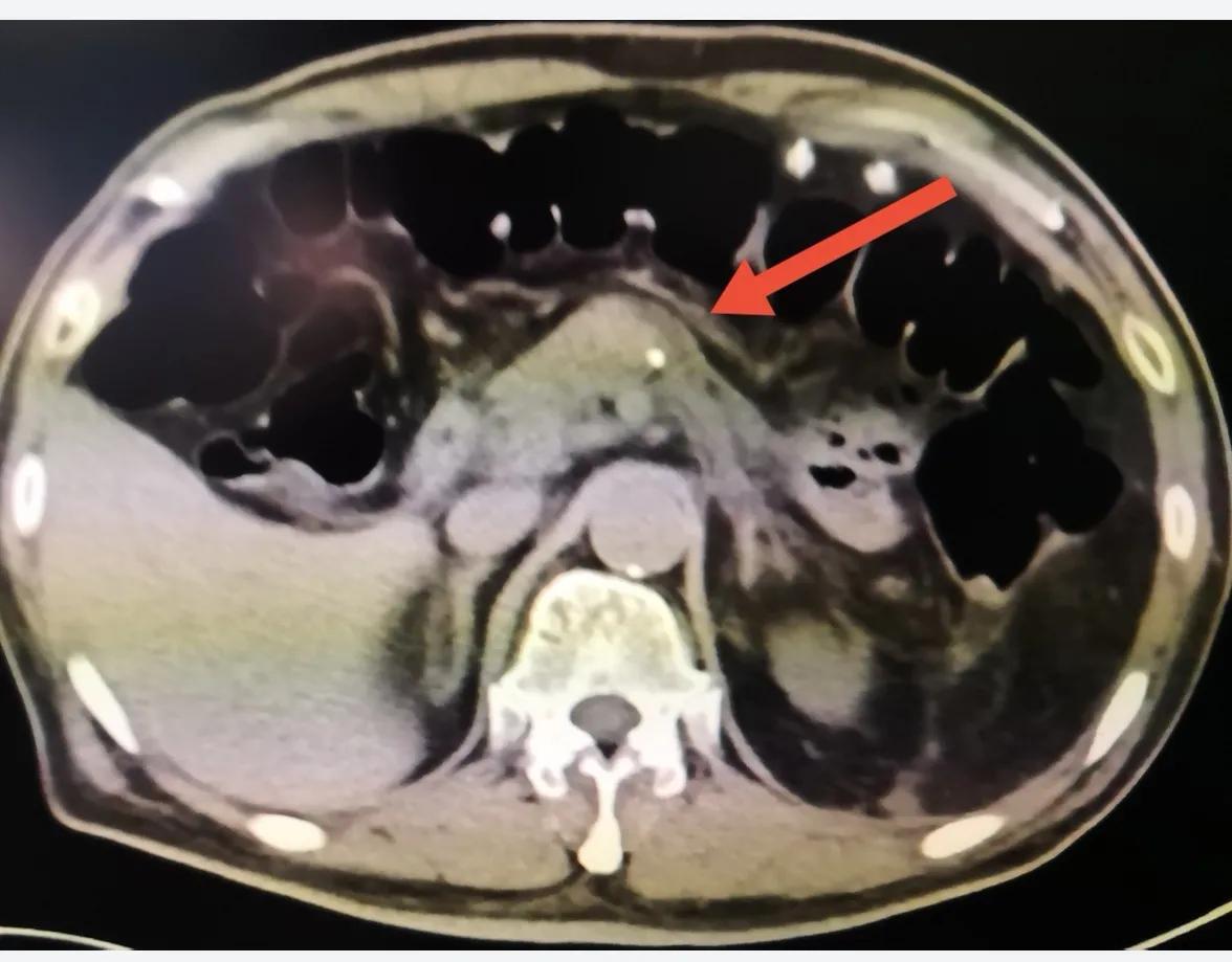
增强CT下胰尾肿瘤
经积极术前准备及讨论,随后行腹腔镜下胰体尾肿瘤根治性切除、脾切除术。手术过程顺利,术中出血约40ml,胰腺颈部切割闭合器离断后残端行倒刺线加固缝合,手术时间2小时30分。

手术照片

术中照片

术中游离胰腺

游离胰腺后清楚显示脾静脉和肿瘤

完全切除后
术后给予抑酸抑酶,营养支持等治疗,恢复顺利,术后第2天下地,第5天复查腹部CT未见明显异常。

术后复查CT显示无积液和胰漏
术后病理检查:浸润性导管乳头状粘液腺癌,切缘未见癌残留,脾脏未见癌侵犯。

术后病理
胰体尾癌是一种发病隐蔽、进展快、预后较差、恶性程度较高的消化系统肿瘤,其发病率在全球范围内有逐年上升趋势。治疗方面因其对放、化疗不是很敏感,所以疗效至今不能令人满意,手术切除肿瘤是患者获得长期生存的唯一途径。研究表明,肿瘤根治性切除组的中位生存期明显长于未切除组,即使对无法根治切除的病例行姑息性切除,其生存时间也明显好于未切除组。因此如肿瘤无远处转移,即使肿瘤侵犯多个脏器,也应积极争取行联合脏器切除,术后辅以放疗与化疗。如条件允许必要时行基困检测,寻找有无敏感化疗药物及靶向治疗药物,同时辅以中医中药治疗,以提高生存期,改善病人生活质量。