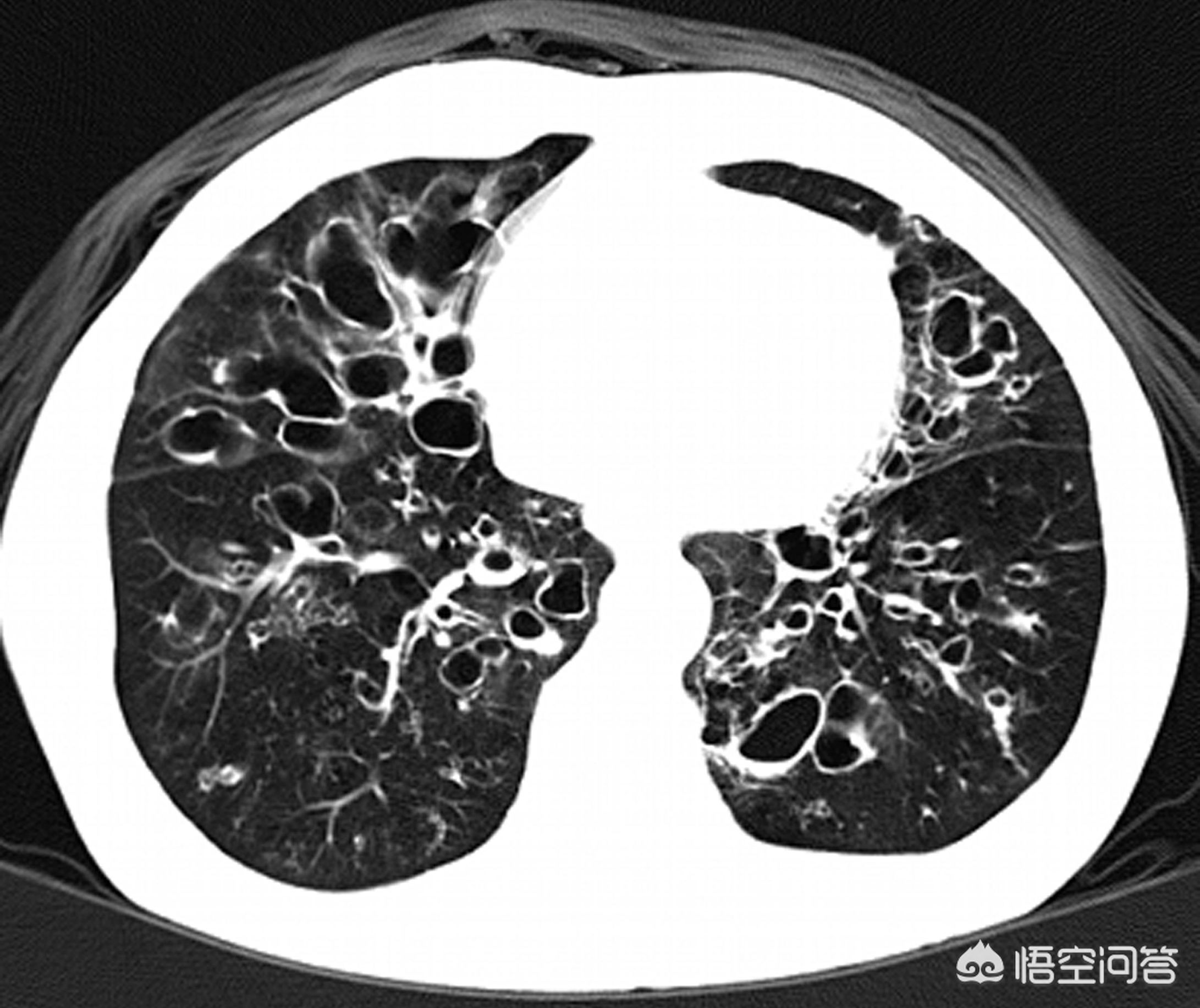
支气管扩张是一种结构破坏性疾病,通常是由于感染,有些是因为创伤,造成肺部特别是支气管管壁以及周围支撑组织损伤破坏而引起,还有一些是先天性疾病引起,比如纤毛不动综合征,幼年起就容易感冒咳嗽发热,逐渐形成支气管扩张,同时伴有特征性的内脏范围,不孕不育。支气管扩张分为局限性支扩和弥漫性支扩,局限性支扩相对症状较轻,可以通过手术根治,弥漫性支扩则症状持续,并进行性加重,只能通过药物等方法控制症状。

支气管扩张具有典型的症状特征,一般来说主要表现为长期的慢性咳嗽,严重而又大量的咳痰,有时候痰液每天可达到200ml每天,静置后会发生分层,有些人伴有咯血,患者不断的经历支气管炎和肺部感染,特别是到了比较严重的阶段,常常咳出大量的黄绿痰液,伴有间断的发热,人常常因为长期的消耗以及内心的折磨而消瘦异常,免疫力比较低下,也容易并发各种各样的细菌感染。

支气管患者的痰液,上层是泡沫,中间是脓液,下层是坏死组织
有一些支气管扩张可以只有非常少的症状,这些患者的患病部位通常少而位于上肺,每天产生的痰液会随着人直立而自动排出,经常看我科普的朋友都知道,支气管扩张的治疗核心就是每天把痰液排除,上肺局限性支气管扩张的患者每天自动排痰,所以病情可以保持长期稳定,个别患者会出现咯血,被称为干性支扩。

双下肺弥漫性支扩的患者则容易病情不断发展并且自我加重,这主要和痰液淤积不容易排出有关,支扩的患者管壁遭到破坏,局部免疫力随之崩塌,管壁表面的一些扮演搬运工角色的结构——纤毛不能正常工作,大家知道,气管壁表面细胞都长有头发也就是纤毛,这些纤毛可以向着咽喉部一起摆动,这样就能够把每天分泌的粘液排出,但支扩患者这方面功能受损导致粘液不断淤积,而肺又是和外界相通的,吸进来的细菌本应该被正常的免疫系统清除,在支扩患者身上则会迅速的定植到粘液中,并吸收粘液中丰富的蛋白质而生长形成感染并进一步破坏支气管,这就是支扩自我加重的原因。由于下肺支扩患者无法自我排出痰液所以必须借助于体位引流排痰,我之前多次科普过体位引流排痰的方法,经典的姿势是像青蛙一样趴在床上,头低屁股高家人帮忙拍背,将痰液缓慢咳出,每天十五分钟可以保持支扩病情稳定。

如果是发生于下肺的局限性支气管扩张,久治不愈而且有逐渐加重的趋势,可以考虑手术切除并根治,可以避免局限性支扩向双肺支扩发展的倾向,也可减少支扩咯血的发生。