
对于有进行性记忆障碍、语言障碍、行为异常等慢性过程,又有低钠血症、反复跌倒和面瘫等急性表现的患者该如何诊断和鉴别诊断?最新一期Neurology杂志(2月4日)报道了一例出现进行性记忆障碍、行为异常和跌倒的女性患者,一期学习一下其临床推理过程吧。

医脉通编译整理,未经授权请勿转载。
病例简介
患者为58岁女性,因“进行性记忆障碍、行为异常和反复跌倒”而就诊于急诊科。患者家人发现患者病情几年来缓慢进展,于就诊前一周明显加重。在过去几年中,患者变得不那么健谈,情感表达减少,然后出现重复行为(强迫遛狗、反复洗澡)。几个月前,患者作为助理老师的一些表现引起别人关注。就诊前几天,当家人试图联系患者时,患者没有回答;患者用裸体向一位客人打招呼,并且出现*禁失**,随后逐渐出现走路不稳致多次跌倒。
入院查体显示,定向力尚可,延迟回忆(5分钟)可以回忆2/3个物体;1分钟内说出11个F开头的单词,并可理解复杂的句子。言语减少和无音调。能完成一些常见的任务。颅神经完好无损。面具脸、非对称性齿轮样肌张力增高和运动迟缓(左侧大于右)。轻度姿势/运动性震颤。深反射亢进,包括膝反射活跃(右大于左)。下颌反射、眉间反射和觅食反射均呈阳性。Babinski反射阴性。宽步基,难以完成串联步态。
问题思考: 1.根据病史和检查结果,如何定位? 相关检查
患者的表现符合额叶/颞叶功能障碍的特征,包括人格和行为的变化(如失抑制、情绪低落和强迫行为)、言语启动减少以及语言流利性相对较差。此外,还有锥体外系症状,并伴有面具脸、齿轮样肌张力增高、运动迟缓和姿势不稳。其弥漫性反射亢进伴下颌反射阳性可能提示上运动神经元病变。原始反射(如觅食和眉间反射)为非特异性,但可能提示弥漫性脑功能障碍,额叶相关性功能障碍或锥体束外功能障碍(如眉间反射)。
除近期高血压和抑郁症外,患者既往体健。有30年酗酒史,但最近减少;住在莱姆流行地区。家族史包括外祖母晚发性(50多岁)精神分裂症,母亲有严重抑郁。
入院实验室检查显示低钠血症(116 mEq / L)和甲亢(甲状腺刺激激素0.03 mIU / L和游离T4 1.9 ng / dL)。头颅MRI平扫显示年龄不匹配的白质病变和轻度萎缩。
问题思考: 1.毒性/代谢异常能否单独解释患者的表现? 2.家族史是否能缩小诊断范围?
进一步检查
低钠血症与抗利尿激素分泌不足综合征(SIADH)相一致。患者的血清钠在1个月前为136 mEq / L。低钠血症可能是导致步态恶化和意识混乱的原因,但不能解释锥体外系体征和行为异常。其轻度甲状腺功能亢进可能引起弥漫性震颤和反射亢进。
该患者的家族性迟发性精神疾病病史很明显。家族性额颞叶痴呆(FTD),如与C9orf72基因反复扩增相关的常染色体显性遗传性FTD,可能会出现精神病和痴呆症特征,包括可被误认为抑郁症的冷漠。诊断FTD需要更多的检查;鉴于患者还具有其他急性和亚急性特征,鉴别诊断仍然很多。
患者入院一周后,出现右侧周围性面瘫,提示需行进一步检查。CSF检查显示淋巴细胞性细胞增多(110个白细胞/ mm3; 50%淋巴细胞,25%中性粒细胞),无红细胞,CSF葡萄糖正常(57 mg / dL),CSF总蛋白升高(303.6 mg / dL)。患者为此接受经验性脑膜炎治疗。
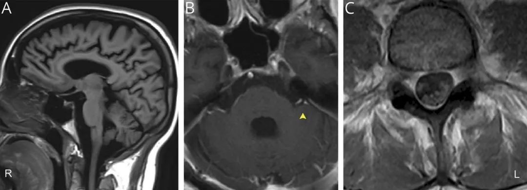
头颅MRI增强显示双侧脑膜增强,累及多条颅神经(III、V和VII / VIII);脊髓MRI显示颈椎和胸椎多个神经根异常增强,马尾神经增强和增粗(图)。CT-PET扫描显示与肉芽肿性疾病有关的多个FDG摄取的淋巴结。经胸超声心动图显示肥厚性心肌病。

图 患者腰椎MRI和头颅MRI平扫及增强结果。(A)最初的头颅MRI平扫显示脑萎缩。(B)后续MRI增强左侧VII和VIII颅神经增强(箭头)。(C)腰椎MRI显示马尾增强。
问题思考: 1.一元论能解释认知缺陷、软脑膜病变、肉芽肿和心肌病吗? 鉴别诊断
鉴别诊断需考虑包括结节病、肉芽肿、心肌病和软脑膜病在内的神经结节病。但是,由于患者的慢性症状可能来自其他疾病,因此将神经莱姆病、水痘-带状疱疹病毒(VZV)脑炎和2型单纯疱疹病毒(HSV)性脑炎视为急性症状的病因。
血清研究显示,莱姆免疫球蛋白G(IgG)/免疫球蛋白M(IgM)阳性,T-SPOT、HIV、性病研究实验室(VDRL)测试和血清蛋白电泳阴性。血清和脑脊液副肿瘤谱和脑脊液NMDA受体抗体未见明显异常。最初的CSF检查显示VZV IgM 2.08 ISR(阳性),HSV 1/2 IgG 9.46 IV(阳性)和HSV IgM 0.94 IV(临界),但HSV 1/2 PCR阴性。CSF检查中Biofire、Borrelia PCR、VDRL、西尼罗河病毒(WNV)IgG、WNV IgM、流式细胞和细胞学检查均为阴性或正常。ADmark提示潜在的β-淀粉样蛋白(Aβ)病变,但未见tau神经病理学(Aβ42:252.1 pg / mL,总tau:143.6 pg / mL,磷酸化tau:16.95 pg / mL,Aβ42/总tau指数:0.62)。
心脏MRI未显示浸润性病变。左侧下颌下淋巴结活检显示反应性滤泡增生。裂隙灯检查未发现眼结节病的体征。
入院三周后,患者复查腰穿,显示细胞增多(92个白细胞/ mm3;82%淋巴细胞伴3%的非典型/反应性)和CSF总蛋白升高(244.5 mg / dL)。其他脑脊液检查显示疏螺旋体PCR、巨细胞病毒PCR、EB病毒PCR、VZV PCR、VZV IgG/IgM、真菌涂片和血管紧张素转化酶均为阴性。但复查CSF莱姆IgG和IgM呈阳性。鉴于HSV的Biofire检查呈IgM临界,停用了阿昔洛韦。患者完成了为期28天的静脉注射头孢曲松治疗。
初次在神经免疫门诊就诊后两个月,患者继续出现异常情感、言语无音调、言语跨度受损、口语流利度降低和抽象度下降。其面神经麻痹缓解,但显示出双侧L5神经根病变的证据,需要辅助才能行走。
3个月后的认知诊所中,其他病史支持了潜在的神经退行性疾病诊断。病人的言语输出受限、情感受到限制以及行为异常于几年前开始。其工作表现仅在一年前受到影响。其摔倒仅始于严重的失代偿。其检查显示出逐渐发展的锥体外系功能障碍、瞬目减少、发音减弱、对称性运动迟缓和拉力测试中明显的姿势不稳、眼球各向运动速度减慢。CT-PET复查显示不对称的双侧额叶和前颞低代谢。
讨论
该病例很有趣,出现急性、亚急性和慢性症状。该患者患有多种语言障碍、语音输出减少、行为异常,包括重复性和强迫*行为性**,情感受限。随后是数月的恶化,表现为糟糕的工作表现和对家务的忽视。她因失代偿表现为异常的行为和跌倒。还有不对称的帕金森病、额叶释放体征和反射亢进,并在一周内发展为周围性面瘫。
患者的低钠血症可能导致其意识错乱加重、注意力不足和步态不稳[1]。尽管其SIADH原因很多,但神经莱姆病可能是造成这种情况的原因[2]。最初的区域性反射亢进难以定位,原因是病情相互冲突,包括甲状腺功能亢进和莱姆神经根病。甲状腺功能亢进症消退后,其反射亢进消退。
考虑到患者的CSF细胞增多、CSF蛋白升高和CSF Lyme抗体阳性,符合神经莱姆病诊断标准[3]。其检查和影像学检查符合莱姆神经根炎和颅神经病,是神经莱姆病的常见表现[4]。莱姆病累及脑实质较罕见,往往对抗生素反应迅速[3]。
在适当治疗低钠血症和神经莱姆病几个月后,患者继续出现与行为变异性FTD(bvFTD)综合征相符的认知和行为异常[5],还表现出进行性核上性麻痹(PSP)综合征的一些表现,并伴有锥体外系体征和眼球运动功能障碍。临床-神经病理学相关研究进展加深了PSP的了解,PSP具有多种综合征表现,包括表现为早期核上凝视麻痹和姿势不稳的经典综合征(伴Richardson综合征的可能的PSP),在3年内步态进行性冻结的PSP,以帕金森病为主的PSP,以额叶表现为主的PSP(可能的PSP-F)[6,7]。PSP-F可能与bvFTD重叠,具有共同的核心特征,包括冷漠、执行功能障碍、失抑制以及强迫性或持久*行为性**。对于该患者,包括MRI在内的中脑萎缩显示脑桥直径与中脑直径之比为0.50可以支持PSP疾病谱[8]。神经退行性疾病(例如PSP)综合征的变异凸显了区分综合征和神经病理学诊断的重要性[9]。鉴于患者的ADmark CSF结果,可能还有其他潜在的Aβ斑块神经病理学。引起PSP的家族性常染色体显性基因突变很少见[10],为此该患者尚未进行基因检测。
该病例深入了解了多个相交过程的分层表现,包括低钠血症、甲状腺功能亢进症、神经莱姆病和可能的PSP-F。该病例提醒我们,奥卡姆剃刀原理不是总能解释复杂的临床表现。
参考文献:
[1] Renneboog B, Musch W, Vandemergel X, Manto MU, Decaux G. Mild chronic hyponatremia is associated with falls, unsteadiness, and attention deficits. Am J Med 2006;119:71.e1–8.
[2] Siddiqui N, St Peter DM, Marur S. Ticks and salt: an atypical case of neuroborreliosis. J Community Hosp Intern Med Perspect 2017;7:358–362.
[3] Halperin JJ. Neuroborreliosis. J Neurol 2017;264:1292–1297.
[4] Schwenkenbecher P, Pul R, Wurster U, et al. Common and uncommon neurological manifestations of neuroborreliosis leading to hospitalization. BMC Infect Dis 2017; 17:90.
[5] Rascovsky K, Hodges JR, Knopman D, et al. Sensitivity of revised diagnostic criteria for the behavioural variant of frontotemporal dementia. Brain 2011;134:2456–2477.
[6] H¨oglinger GU, Respondek G, Stamelou M, et al. Clinical diagnosis of progressive supranuclear palsy: the Movement Disorder Society criteria. Mov Disord 2017;32: 853–864.
[7] Williams DR, Lees AJ. Progressive supranuclear palsy: clinicopathological concepts and diagnostic challenges. Lancet Neurol 2009;8:270–279.
[8] Mangesius S, Hussl A, Krismer F, et al. MR planimetry in neurodegenerative parkinsonism yields high diagnostic accuracy for PSP. Parkinsonism Relat Disord 2018; 46:47–55.
[9] Dickerson BC, McGinnis SM, Xia C, et al. Approach to atypical Alzheimer’s disease and case studies of the major subtypes. CNS Spectr 2017;22:439–449.
[10] Siuda J, Fujioka S, Wszolek ZK. Parkinsonian syndrome in familial frontotemporal dementia. Parkinsonism Relat Disord 2014;20:957–964.
原文索引:Tara C. Carlisle, Kristin M. Galetta, Scott M. McGinnis, Tamara Bockow Kaplan. Clinical Reasoning: A 58-year-old woman presents with progressive memory deficits, odd behavior, and falls. First published January 20, 2020, DOI:https://doi.org/10.1212/WNL.0000.