膀胱肿瘤的概念
膀胱肿瘤是泌尿系统中最常见的肿瘤。多数为移行上皮细胞癌。在膀胱侧壁及后壁最多,其次为三角区和顶部,其发生可为多中心。膀胱肿瘤可先后或同时伴有肾盂、输尿管、尿道肿瘤。在国外,膀胱肿瘤的发病率在男性泌尿生殖器肿瘤中仅次于前列腺癌,居第2位;在国内则占首位。男性发病率为女性的3~4倍,年龄以50~70岁为多。本病组织类型上皮性肿瘤占95%,其中超过90%系移行上皮细胞癌。
膀胱肿瘤的病因
膀胱肿瘤的病因没完全明确,比较公认的有:①长期接触芳香族类的工种,如染料、皮革、橡胶、油漆工等,可出现较高的膀胱肿瘤发生率。②吸烟也是一种增加膀胱肿瘤发生率的原因。③体内色氨酸的代谢异常。④膀胱黏膜局部长期遭受刺激。⑤近年来某些药物也可诱发膀胱癌。⑥寄生虫病如发生在膀胱内,亦可诱发膀胱癌。
膀胱肿瘤的症状
膀胱肿瘤属于泌尿系肿瘤中比较高发的,发病原因尚不能明确,但有调查显示长期吸烟和职业接触芳香胺的人比较容易患上膀胱肿瘤,此病的最佳治疗时间是早期的时候,所以了解膀胱肿瘤的症状很重要,那么膀胱肿瘤症状有哪些呢?
血尿,85%的患者可出现反复发作的无痛性间歇性肉眼血尿,出血量可多可少,严重时带有血块;尿频、尿急、尿痛及持续性尿意感,持续腰胀痛,癌肿侵及括约肌时出现尿*禁失**;排尿困难,严重的可出现尿潴留;癌肿侵及输尿管口时,引起肾盂及输尿管口扩张积水,甚至感染,而引起不同程度的腰酸、腰痛、发热等;下腹部包块,直肠(或阴道)指检或解及高低不平之硬块;恶心、食欲不振、发热、消瘦、贫血、衰弱、恶病质、类白血病反应等。
膀胱肿瘤的症状患者中约有75%一78%患有血尿,多呈无痛性或间歇性,血尿多是由于肿瘤破溃出血所致,血尿可多可少,多时肉眼便可看出,少时只是在显微镜下才能看到尿中有红细胞,膀胱癌的血尿一般为全程肉眼血尿,即整个排尿过程中尿都呈现血色,多在排尿将尽时尿色加深;也可以是开始尿血而后尿转清亮,或开始尿清亮而后变成血尿。

与其它疾患所致的血尿相比,膀胱肿瘤的血尿有二个特点:
一、无痛性:即在发生血尿时,患者无任何疼痛及其他不适症状,医学称为无痛性血尿。这与结石有血尿时多伴有肾、输尿管疼痛不同,也与膀胱炎所致的血尿多伴尿频、尿急、尿痛不一样。但若癌肿坏死、溃疡和合并感染时,可出现尿频、尿急、尿痛等膀胱刺激症状。
二、间歇性:即血尿间歇出现,可自行停止或减轻,若血尿仅发生一、二次,两次血尿可间隔数天或数月,甚至半年,患者又未重视,自觉是因为劳累或感冒引起的,问题不大,常令患者误认为血尿已经自愈,不需进一步诊治,从而失去治疗的最佳时机。
无痛性血尿是膀胱肿瘤最主要的征兆,几乎所有的膀胱癌患者都是先出现这一信号。若能抓住这一信号,及时去肿瘤医院进行检查,就能做到早期发现、早期治疗,取得较好的疗效。诊断膀胱肿瘤主要是靠膀胱镜检查,它可直视肿瘤的大小、形状、部位、数目以及范围等,专科医生的诊断准确率可达90%以上。尿中找癌细胞也是诊断方法之一,其阳性率也可达80%。另外,B超检查可帮助了解肿瘤浸润程度,CT对判断肿瘤分期也有一定作用。
膀胱肿瘤有良性和恶性的区分,不管是不是恶性肿瘤,患者都应该尽早去医院接受治疗,依靠医学诊断区分癌症的病因以及发病的分期,做到早发现、早诊断、早治疗,膀胱癌并不是很可怕,乐观积极的情绪也是病情康复的关键。
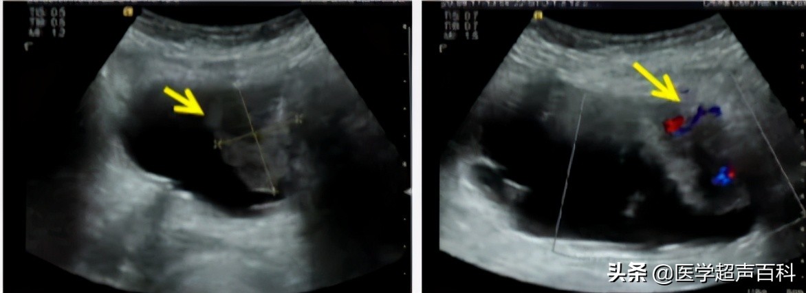
膀胱肿瘤的B超表现
膀胱壁可见菜花样、乳头状或团状中、强回声凸向膀胱,表面粗糙、不光滑,不随体位移动。

肿瘤多有瘤蒂与膀胱粘膜相连,连接处膀胱壁回声模糊,连续性中断,肿瘤基底部常较宽,膀胱壁局限性增厚。
CDFI:显示肿瘤基底部有细条状血流,多普勒频谱显示动脉频谱:RI〉0.60。
膀胱肿瘤的治疗
1.手术治疗
(1)尿道切除(TURBt)或电灼,对于表浅的膀胱肿瘤可采用经尿道切除或电灼。
(2)膀胱部分切除术。
(3)分次切除,多发的肿瘤可分次切除。
(4)激光疗法。
2.非手术治疗
(1)膀胱内注射BCG。
(2)口服BCG。
(3)膀胱内灌注丝裂霉素。
(4)膀胱内灌注阿霉素。