![[精品课件]畸胎瘤及精原细胞瘤(*丸睾**肿瘤及肿瘤样变CT及MR表现)](http://static.shicijianshang.com/origin/pgc-image/e8c6f2dde8204eaf98ded775f201bf99.jpg)
![[精品课件]畸胎瘤及精原细胞瘤(*丸睾**肿瘤及肿瘤样变CT及MR表现)](http://static.shicijianshang.com/origin/pgc-image/28f6fe6922874f2eb1f6c9948d10e9b5.jpg)
![[精品课件]畸胎瘤及精原细胞瘤(*丸睾**肿瘤及肿瘤样变CT及MR表现)](http://static.shicijianshang.com/origin/pgc-image/0a4768c7d206427ba4ab8ee5786c26e1.jpg)
![[精品课件]畸胎瘤及精原细胞瘤(*丸睾**肿瘤及肿瘤样变CT及MR表现)](http://static.shicijianshang.com/origin/pgc-image/03ba1fa5c33340c1bd3159e931505320.jpg)
![[精品课件]畸胎瘤及精原细胞瘤(*丸睾**肿瘤及肿瘤样变CT及MR表现)](http://static.shicijianshang.com/origin/pgc-image/b067d651128747c88d9d791cbbc1cf32.jpg)
![[精品课件]畸胎瘤及精原细胞瘤(*丸睾**肿瘤及肿瘤样变CT及MR表现)](http://static.shicijianshang.com/origin/pgc-image/4a94e527e41742d49fae0286803d6b40.jpg)
![[精品课件]畸胎瘤及精原细胞瘤(*丸睾**肿瘤及肿瘤样变CT及MR表现)](http://static.shicijianshang.com/origin/pgc-image/f275cb6bda834c9ca790353682fe5e15.jpg)
![[精品课件]畸胎瘤及精原细胞瘤(*丸睾**肿瘤及肿瘤样变CT及MR表现)](http://static.shicijianshang.com/origin/pgc-image/b46c88ed191c4f84bce5c46430f2e0ce.jpg)
![[精品课件]畸胎瘤及精原细胞瘤(*丸睾**肿瘤及肿瘤样变CT及MR表现)](http://static.shicijianshang.com/origin/pgc-image/e2f0a5b8d2d74fc1877e9054c364df5b.jpg)
![[精品课件]畸胎瘤及精原细胞瘤(*丸睾**肿瘤及肿瘤样变CT及MR表现)](http://static.shicijianshang.com/origin/pgc-image/736d502d73a7449780d7552e1709e439.jpg)
![[精品课件]畸胎瘤及精原细胞瘤(*丸睾**肿瘤及肿瘤样变CT及MR表现)](http://static.shicijianshang.com/origin/pgc-image/4dd0ad1dfa7040ba96d67e6ffa3cad65.jpg)
![[精品课件]畸胎瘤及精原细胞瘤(*丸睾**肿瘤及肿瘤样变CT及MR表现)](http://static.shicijianshang.com/origin/pgc-image/ddf5cd54a9f44c6a83a1ac3331555a08.jpg)
![[精品课件]畸胎瘤及精原细胞瘤(*丸睾**肿瘤及肿瘤样变CT及MR表现)](http://static.shicijianshang.com/origin/pgc-image/97a069777aa944bf8c40679337c13e2f.jpg)
![[精品课件]畸胎瘤及精原细胞瘤(*丸睾**肿瘤及肿瘤样变CT及MR表现)](http://static.shicijianshang.com/origin/pgc-image/25436381f5354ac28bd11f0294400241.jpg)
![[精品课件]畸胎瘤及精原细胞瘤(*丸睾**肿瘤及肿瘤样变CT及MR表现)](http://static.shicijianshang.com/origin/pgc-image/4f707adb1bed4b0db36a3caadcb665d3.jpg)
(以下内容由熊猫放射整理)
*丸睾**肿瘤比较少见,大部分为恶性。*丸睾**肿瘤有 两个年龄段发病高峰 ,第一个高峰15-35岁,主要为*丸睾**原发肿瘤,第二个高峰71-90岁,以淋巴瘤和转移瘤为主。其发病原因尚不明确,目前认为隐睾是其重要危险因素。
*丸睾**肿瘤及肿瘤样病变 临床症状 主要为*丸睾**肿大,伴阴囊坠胀感或疼痛,透光实验均为阴性, 实验室检查 甲胎蛋白(AFP)、人绒毛膜促性腺激素(HCG)、白细胞(WBC)等可帮助诊断。
- 生殖细胞瘤
占*丸睾**肿瘤90%-95%,包括精原细胞瘤和非精原细胞瘤,又以精原细胞瘤最为常见,占*丸睾**肿瘤35%-50%。
精原细胞瘤
好发于35-45岁,>60岁、<10岁少见。
精原细胞瘤由原始生殖细胞分化而来,胞质丰富,并周围有多条纤维血管分隔,可出现片状坏死。
影像学表现与病理相符合,MRI显示肿块呈多发结节状,T1WI 呈等信号,与正常*丸睾**T1WI 信号相等,T2WI 信号低于正常*丸睾**组织, 瘤内纤维血管分隔数量不等,粗细不均,增强扫描纤维血管分隔强化高于肿瘤组织 。由于肿块浸润受到白膜限制,其轮廓一般清楚。大部分文献报道精原细胞瘤较少出现坏死、出血。
非精原细胞瘤
包括胚胎性癌,畸胎瘤,内胚窦瘤/卵黄囊留,绒毛膜癌,混合型生殖细胞瘤等。
- 畸胎瘤: 分为成熟性和非成熟性,它含有三胚层结构, 瘤内囊性、软骨、钙化及脂肪成分,好发于4岁以下儿童 ,一般为良性,成人可转变为恶性。影像学表现一般呈边界清晰混杂密度/信号肿块。
- 表皮样囊肿 :好发于20-40岁,现在普遍认为是畸胎瘤一种亚型或是其发展的一个阶段,其内充满角化物, MRI典型表现为病灶边缘出现“黑环征”,T2WI 病灶内部出现“洋葱皮征”,由于无血供,肿块一般无强化 。
- 卵黄囊瘤: 为婴幼儿最为常见肿瘤,也称 内胚窦瘤,占儿童*丸睾**肿瘤80%,常以无痛性*丸睾**迅速长大为主要症状,易肺转移 ,影像学表现无特异性。
- 胚胎性癌: 由原始退行性上皮细胞组成,发病高峰25-35岁,侵袭性强,易出现腹膜后淋巴结转移或远处转移。
- 绒毛膜癌: 极为罕见,但高度恶性,好发于20-30岁,由于*丸睾**生化中心退化,大部分患者*丸睾**大小正常,甚至缩小;转移发生早,易转移至肺、肝、消化道、脑,其原发灶及转移灶易出血,通常临床表现以转移症状为主,如咯血、消化道出血等。
- 混合型生殖细胞瘤: 最为常见,它由2种或2种以上生殖细胞来源组成,发病年龄轻。
非精原细胞瘤常含有不同组织成分,易出现出血坏死导致信号或密度不均,相对于精原细胞瘤强化更明显。
- 非生殖细胞瘤
少见,包括淋巴瘤、转移瘤、腺样腺瘤、血管瘤、纤维瘤、平滑肌瘤、胚胎横纹肌肉瘤等。
- 淋巴瘤 :是60 岁以上男性较常见恶性肿瘤,38%患者双侧发生(非同时发生者多于同时发生者),临床表现为*丸睾**无痛性肿物,肿块边界模糊,呈浸润生长。影像学表现肿块密度或信号较均匀,可伴少许小斑块状坏死,增强扫描肿块实性部分较均匀强化。 需与精原细胞瘤相鉴别 :(1) 年龄,淋巴瘤发病年龄大,精原细胞瘤发病年龄较年轻;(2) 强化方式不同,精原细胞瘤强化纤维分隔比肿块强化明显,且持续性强化,淋巴瘤较均匀强化;(3) 淋巴瘤扩散加权成像(DWI)信号比精原细胞瘤高。
- *丸睾**转移瘤 :非常少见,诊断需结合临床病史。
- 腺样腺瘤: 为起源于*丸睾**旁组织良性肿瘤,也可以起源于*丸睾**实质,肿瘤直径常<5cm,CT表现为边界清楚囊实性结节,增强扫描不均一强化。
- 海绵状血管瘤 :与其他部位血管瘤类似,质软,无压痛。
- 胚胎横纹肌肉瘤 :来源于间质细胞罕见恶性肿瘤,好发于儿童和青少年;主要表现为肿块较大,信号不均,增强扫描不均匀强化,其内低信号分隔无明显强化。
*丸睾**肿瘤样病变 包括炎症、脓肿、结核、血肿等。
- 单纯性急性*丸睾**炎 :多见于流行性腮腺炎并发症,学龄儿童发病,临床症状为*丸睾**肿痛,多合并发热。成人*丸睾**化脓性炎症常继发于泌尿系感染、前列腺炎、精囊炎等,临床症状明显,易伴有附睾及阴囊结缔组织炎症,后期形成*丸睾**脓肿或慢性炎症。影像学表现与其他部位炎症、脓肿相似。多表现为患侧*丸睾**肿大,信号不均匀,可见多发坏死,脓肿形成时明显环形强化,其壁光整,均累及附睾及皮肤。
- *丸睾**结核 : 好发于青壮年,大部分由附睾结核直接蔓延而来 ,因此*丸睾**结核常邻近附睾或伴有附睾结核。早期可表现*丸睾**肿大,隐痛,轻度压痛,后期可形成干酪样坏死或寒性脓肿,破溃后形成窦道。由于结核侵袭力强,易累及*丸睾**包膜及阴囊隔。病灶内出现钙化较具有特征性。
- *丸睾**血肿 :一般会有外伤史,血肿密度/信号混杂,无侵犯征象。
总之,*丸睾**肿瘤大部分为恶性,MRI 软组织分辨率高,在诊断*丸睾**肿瘤具有独特优势,CT 检查是分期评估及复诊的重要手段。 实验室检查可作为辅助诊断,如卵黄囊细胞瘤、混合型胚胎瘤合并卵黄囊成分AFP升高,精原细胞瘤、绒毛膜癌HCG升高。 *丸睾**肿瘤样病变一般会有明显临床症状,影像学检查也具有一定特征性。因此,在诊断*丸睾**肿瘤及肿瘤样病变时,应当 仔细分析影像学特征,综合患者年龄、临床表现及相关实验室检查 ,以提高术前诊断水平。
![[精品课件]畸胎瘤及精原细胞瘤(*丸睾**肿瘤及肿瘤样变CT及MR表现)](http://static.shicijianshang.com/origin/pgc-image/afe02658adef4bf883f1d537d12fefee.jpg)
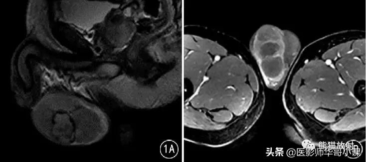
图1 男,32岁, 右侧*丸睾**精原细胞瘤 。T2WI示右侧*丸睾**肿物,其内见低信号纤维分隔及稍高信号出血灶;增强分隔明显强化,且高于肿瘤实质。
![[精品课件]畸胎瘤及精原细胞瘤(*丸睾**肿瘤及肿瘤样变CT及MR表现)](http://static.shicijianshang.com/origin/pgc-image/0560aefd987d4301831d4a31395b045a.jpg)
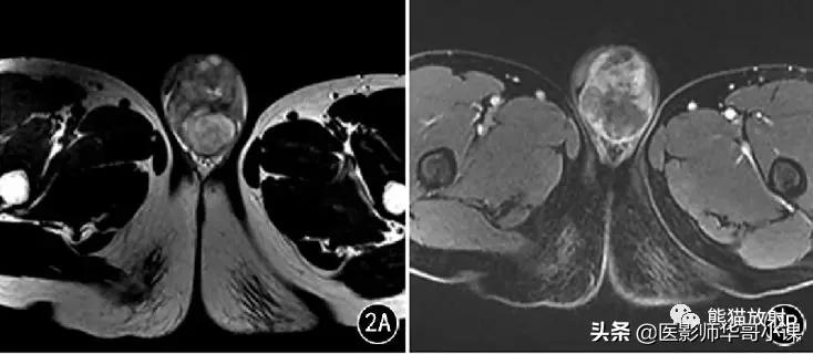
图2 男,31岁, 左侧*丸睾**混合型生殖细胞瘤 。T2WI示左侧*丸睾**混杂信号肿块;增强肿块明显不均匀强化。
![[精品课件]畸胎瘤及精原细胞瘤(*丸睾**肿瘤及肿瘤样变CT及MR表现)](http://static.shicijianshang.com/origin/pgc-image/c580367acf2b4563a52fb278612f98c5.jpg)
图3 男,61岁, 左侧*丸睾**淋巴瘤 。肿块强化较均匀。
![[精品课件]畸胎瘤及精原细胞瘤(*丸睾**肿瘤及肿瘤样变CT及MR表现)](http://static.shicijianshang.com/origin/pgc-image/b5125260435c4dde818785fcc764003a.jpg)
图4 男,35岁, 右侧*丸睾**结核 。病灶形状不规则,信号不均,增强扫描见多发环形强化,周围结构不清,右侧附睾受累。
![[精品课件]畸胎瘤及精原细胞瘤(*丸睾**肿瘤及肿瘤样变CT及MR表现)](http://static.shicijianshang.com/origin/pgc-image/363432124ff549eb8031031e872b3dfd.jpg)
图5 男,80岁, 双侧*丸睾**脓肿 。双侧*丸睾**肿大,信号不均,其内见液化坏死; 增强扫描可见明显环形强化,与附睾分界欠清,邻近皮肤增厚。
![[精品课件]畸胎瘤及精原细胞瘤(*丸睾**肿瘤及肿瘤样变CT及MR表现)](http://static.shicijianshang.com/origin/pgc-image/7ead4912973f479e87609a1aa5d86c9d.jpg)
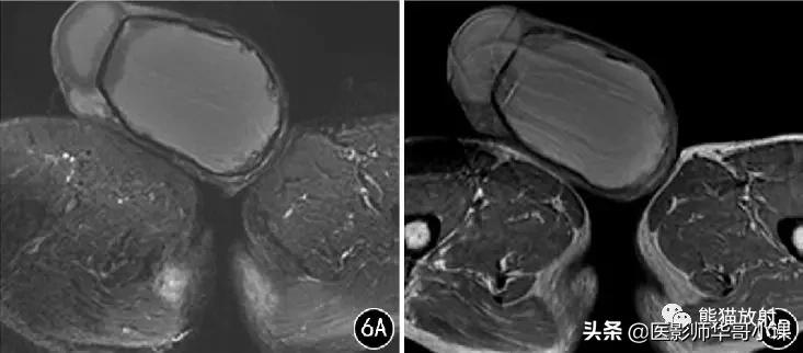
图6 男,66岁, 左侧*丸睾**血肿 。左侧*丸睾**明显肿大,病灶呈T2WI 抑脂(A) 稍高信号,T1WI(B) 高信号,边缘见低信号包膜,包膜内壁多个壁结节突起。
![[精品课件]畸胎瘤及精原细胞瘤(*丸睾**肿瘤及肿瘤样变CT及MR表现)](http://static.shicijianshang.com/origin/pgc-image/9794ad5042a54996ac4f39e3b7a7d8d6.jpg)
图7 男,51岁, 左侧*丸睾**腺样腺瘤 。左侧*丸睾**肿块,部分囊变,实性成分中度强化。
![[精品课件]畸胎瘤及精原细胞瘤(*丸睾**肿瘤及肿瘤样变CT及MR表现)](http://static.shicijianshang.com/origin/pgc-image/427c42f6a8de4cf6aa5a4a0792e59375.jpg)
图8 男,25岁, 右侧阴囊血管瘤 。右侧阴囊不规则软组织肿块,并多发小类圆形钙化灶,轻度强化。
来源:腹部医学影像论坛