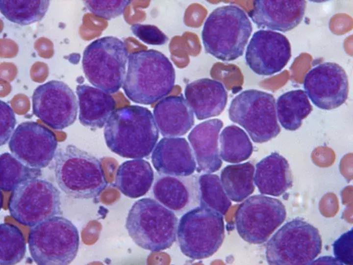
白血病是造血组织的恶性疾病,又称“血癌”。与实体肿瘤不同,不是生长在局部的赘生物,而是全身散播,破坏全身组织和系统!
每年有不计其数的年轻人,
因为白血病而免疫功能全线崩坏,
最终失去了年轻的生命...

而治疗白血病的高昂费用,
让很多家庭无力承担...
很多年轻的孩子,
失去了本可以继续享受这个世界的机会...

澳大利亚的医疗水平一直走在世界的前列,癌症、黑色素瘤、顽固性关节炎...只有你想象不到的,没有澳洲大夫治不好的!
前段时间,一款突破性的白血病和淋巴瘤药物终结了白血病患者的梦魇,但是,它高达18.7万元的高价,也是让很多绝望的患者望而却步...

Ibrutinib又称Imbruvica,将适用于所有符合复发或难治性慢性淋巴细胞白血病(CLL)或小淋巴细胞淋巴瘤(SLL)的合格患者。
Imbruvica将从12月1日起列入购药优惠项目(PBS),届时,普通患者只需支付38.80元就能买到一份处方——优惠患者只需6.30元!!
本周一,澳洲总理谭保正式公布了这个好消息!
“目前只有这款药物才能治愈白血病,
其它治疗方式并没有显著疗效,
而这款药将改变无数家庭的命运!”

卫生部长Greg Hunt表示,谭保政府正在致力于为Medicare提供资金支持,让澳洲人可以轻松负担看病的费用。
澳洲政府的目的是,让所有百姓都能看得起病...

自2014年以来,已有900多名澳大利亚和新西兰患者通过患者接受计划获得治疗。而政府出台资金补助之后,预计每年将有1000名澳洲人获益!

要知道,澳洲的医疗福利,
也不是给力一天两天的了..
在神奇的土澳,
有这样一个神秘组织,
叫PBS(药品福利计划委)!

一种治精神分裂症的药物,原本售价高达$1700, 现在只要$38!!!


还有治疗心脏疾病的他汀类药物也降价!
降多少???
700%!!!
售价仅为其他国家同类药物的1/10!
而用于治疗胃酸的药物,更是降低至不到1澳元。

前一阵子还补贴了11亿澳元,原本一个将治疗肾癌和肺癌的特效药Opdivo售价为 $5000 ,澳洲普通患者花$38.8就 可以购买。

你有Health Care优惠卡!?$38.8都不要!
只要$6.3!!!

其实此次降价药品还包括很多品种,小编在这里给大家整理了一下:
他莫昔芬用于乳腺癌治疗 - 便宜3.50元(降价11.6%)
来氟米特用于类风湿关节炎和银屑病关节炎 - 便宜4.24元(降价11.4%)
替米沙坦用于高血压治疗 - 便宜$1.75(降价9.3%)
喹硫平用于心理健康问题 - 便宜$ 5.94(降价20.7%)
卡培他滨用于特定种类的癌症 - 便宜$6.26(降价18.7%)

作为世界上福利体系最为完善的国家之一,澳大利亚不仅拥有上述全面优越的医疗保障,在教育,住房和工作等领域同样有令人羡慕的福利制度。
澳洲政府曾经说过,他们努力的目的,就是让澳洲每一个家庭都能买得起房,看得起病,上得起学。