目前市场上,各个机构包装炒作"双眼皮"的方法,很多单眼皮的求美者完全不知道该如何选择。今天将4种方法的优缺点分别作一个介绍,希望能解决您的"燃眉之急"。
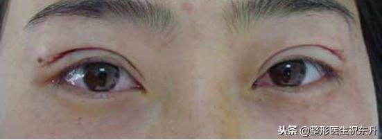
1、普通切开法重险术

普通切开法重险术,相对来说,是较为原始和稳定的做双眼皮的方法。
优点是:
稳定持久,对于皮肤松弛和肿眼泡者可以大量去皮、去脂,上脸提肌的折叠也更方便。
这种方法适合大多数眼睛,特别是眼皮松弛、眼角下垂、眼皮肿的求美者。
缺点是:
毕竟是传统模式,创伤稍大,恢复期较长,早期存在瘢痕,后期如需二次修复必须还是要切开,增加修复难度。
2、埋线重险术

埋线重险术分为连续埋线法、间断埋线法和结扎埋线法等。
优点是:
不做切口,恢复复快,不留痕,一般不影响后期修复。
如果形态不满意,早期把线抽掉,能够恢复原样。埋线的双眼皮,后期修复起来相对容易。
缺点是:
无法去除松弛的皮肤,臃肿的肌肉及脂肪也不能去除,因此埋线方法只合于皮不弛、皮肤薄、无脂肪堆积、眼皮不肿的求美者。
而且医生的手法也很重要,如果技术不过关,线结脱掉后重睑容易消失。
3、三点定位重险术

三点定位重睑术,其实也是切开法的一种改良。不同于传统切开,是内中外分别开一个小口,不必全部切开,通过三点定位形成重险。
优点是:
瘢痕不明显,恢复快,重形成相对稳定,可以去除脂肪。
缺点是:
无法去除皮肤,不适合皮肤松弛者,上下垂者不建议采取这种方法。
4、小切口重险术

小切口重险术是传统方法的改良,编短切口,只将中间一小段切开,常规操作后缝合,形成稳定的双眼皮没有问题。
优点是:
切口编小,创伤缩小,瘢痕恢复好了不明显,时间上也比较稳定,而且可以去除部分松弛的皮肤。
最后多说一句:很多求美者拿着明星照片来,非要做成那样的,有些时候真是不适合。比如:明明自己小眼睛、肿眼泡,非要变成F女星,真心做不到,毕竟适合自己的才是最好的。
欲了解更多安全变美知识,可关注头条号:整形医生祝东升。