(2022年3月份以前,人工膝关节置换一个要8万元左右。随着全国中老年人膝关节退变越来越多,关节损伤越来越严重。国家从今年3月份开始优惠了关节置换手术费用。换一个人工膝关节置换手术只要4万左右,减去医保自费2万左右)

70后的人们,孩子已经长大了,而我们也在慢慢地变老。身体的零件也在慢慢退化,各个病痛也开始悄悄来临。
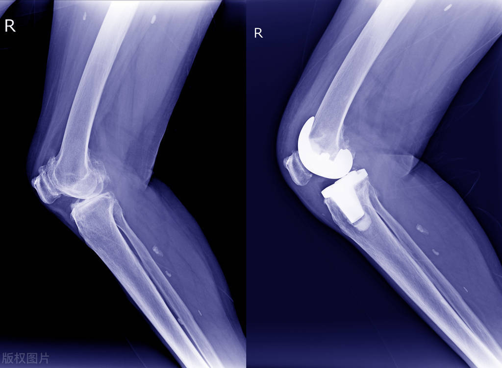
人老先老腿。随着右膝关节的病变,我不得不接受人工关节置换手术。
从入院到出院,在医院里呆了18天,每天过着胆战心惊的日子。
从手术后,依然吃不下饭,睡不着觉。不是不想睡,而是疼到根本让你无法睡觉,每一根神经都不安分地撕扯着我,让我夜不成寐。
我扪心自问,做这个膝关节置换后悔了吗?后悔真谈不上,原以为做了手术就是一劳永逸了,能过正常生活,正常走路了。但现实狠狠的打了我一个耳光。接下来的康复锻炼让你永生难忘。
在没做康复锻炼之前,我以为最大的痛苦就是生孩子。经历了康复锻炼的过程,生孩子也比不上康复师给你掰腿的那种痛苦,简直就是生无可恋。疼到怀疑人生!

相对于每天的肌肉注射,一天打几针就像是毛毛虫咬的一样,那些疼都可以忽略不计。
如果你还没整明白到底是怎样的疼。我打个比喻,假如一个上了年纪的人,强行让他把双腿分开坐成一字形状,那滋味你幻想一下就明白有多疼了。关键是康复师控制住你不让你动弹,没到时间不把你放开。
经历过五天的康复师的锻炼,我不敢想起哪种画面,一想起就肌肉紧张,浑身发抖,我真的怕疼,很怕很怕。
而康复师义正言辞地说:这样锻炼就是为你好,首先给你掰腿到90°,再120°,慢慢地就自己锻炼了,肌肉不黏连了,我的任务就完成了。
我不想做康复了,太疼了,那短的一分钟就是一个世纪那么漫长,我拒绝锻炼,再这样下去我会疼死的。
除了康复那一块,身体的素质都还好,主治医生没有办法就让我出院了。同时一再叮嘱,回去了一定要坚持康复锻炼,不是闹着玩的,我自然满口答应,心想出院回家了再说。

出院回到家后,心情是稍微好点了,到还是依然没有胃口,吃不下东西。只知道疼除了疼还是疼,精神越来越差。
儿子知道怎样帮我锻炼,可当他的手一触到我的脚,浑身都是紧张,还没上手就感觉到疼了,根本没法配合。
当开始掰腿时,那种痛苦让你恨不得立刻死去,死了就不用再经历痛苦了。感觉骨头里面的假体就要冲破皮肉,让你哭到声嘶力竭,停不下来。
随着医院开的止痛药,防血栓塞的,止痛膏等等,止痛药最先吃完了。吃完了才想起医生的叮嘱,不痛的时候尽量不吃。而药房写的是一天两次,一次一片。也没毛病吧!
对我这样怕疼的人来说,能不痛就肯定会吃啊!但我忽视了一个问题:是药三分毒!这话真没毛病。
当停了3天没吃止痛药时,也许全身的痛苦都已到了极限挑战。伤口上的痛不必再说,心口总是发慌,头晕脑胀,四肢无力,只剩下大口大口地喘气,感觉就像沙滩上濒临死亡的鱼,随时都能走向终点站。

还好,熬过了那一天。终于知道肚子会饿了,想吃东西了,家人也为我感到高兴。人是铁饭是钢,这话说的是真理!能吃下饭了就有了精力。
后来去网上查了一下那天的症状,才知道止痛药的副作用很大,难怪便秘变得越来越严重。幸好及时止损,没有继续听医生说没药了再去买。
断药后到现在没有再出现过心慌气短,头晕脑胀的那些症状。食欲也慢慢提高。心想不管以后再怎么着,能不吃药还是尽量别吃了,对胃的伤害特大。
时间过得很快,伤口也在慢慢愈合,一个月复查的时间到了。心里又是感到恐慌,又害怕医生会给我掰腿。因为好几天我都没让儿子给我做锻炼了。
还好,医生没有给我掰腿,只是说,最佳康复锻炼42天时间里,能坚持下来康复,能弯到120就好了。让我做了个血检。看看伤口有没有炎症,结果一切正常。希望回去后继续康复锻炼,不要放弃,我再一次满口答应,心存感激医生手下留情。
我明白自己的困境,腿又伸不直,又弯不到90°,别人一星期能做到90°,而我一个月了还是达不到要求,接下来要不要继续做康复锻炼?我不知道,我只知道会疼死,疼死[流泪][流泪][流泪]
