
一、超声检查的作用
超声检查可以确认绒毛膜特性、确定胎龄、异常和并发症,测量宫颈长度、评估胎儿生长发育情况和羊水量、胎盘定位,确定胎位指导分娩等。
(一)多胎妊娠分型
早期超声显像检查通过显示孕囊位置、孕囊间隔的厚度和层次、胎盘位置以及中期妊娠胎儿性别的辨认和某些特殊的征象等,或可以分辨不同类型的多胎妊娠。
(二)检查多胎妊娠并发症
超声显像检查可以发现与多胎妊娠有关的并发症,并指导治疗,帮助选择分娩方式和分娩时机。对IUGR、胎儿畸形、多胎妊娠时特有的并发症(如胎儿绞锁、双胎输血综合征等)、胎盘早剥、前置胎盘等进行检查和诊断;通过对宫颈长度的检查评价早产的风险。
(三)多胎妊娠减胎术
多胎妊娠的减胎术需在超声定位或引导下进行,多为三胎或三胎以上减为双胎。但应当充分认识到减胎术有引起了所有胎儿的丢失风险。
二、多胎妊娠超声检查时机
早期妊娠超声检查可以及时发现多胎妊娠,并可以很好地监测胎儿正常发育,及时发现胎儿发育异常。18~22周系统的检查可以排除胎儿发育异常。在16~18周以后应每2~3周进行一次超声显像检查并进行必要的测量评估;根据胎儿的发育情况和前次检查的情况进行调整超声检查频度;单绒毛膜囊双胎的检查频度应当增加,以尽可能早地发现异常。
三、多胎妊娠声像图
在妊娠的任何时期,宫腔内显示两个或两个以上的胚胎/胎儿时即可做出多胎妊娠诊断。可以是在一个羊膜腔内显示多个胚胎/胎儿回声或多个羊膜腔内显示各自的胚胎/胎儿回声。通过观察羊膜囊和绒毛膜囊数目来确定多胎妊娠的类型。早期妊娠子宫和妊娠囊比较小,可以在一幅声像图上同时显示多个妊娠囊和多个胚胎/胎儿回声,准确地计数妊娠囊个数;随着妊娠的继续和胎儿发育生长,超声显像检查多不可能同时显示多个胎儿导致显示和鉴别多胎妊娠的困难,愈是到妊娠晚期,多胎妊娠的完整、准确显示就愈困难。
以双胎妊娠为例。
(一)早期妊娠
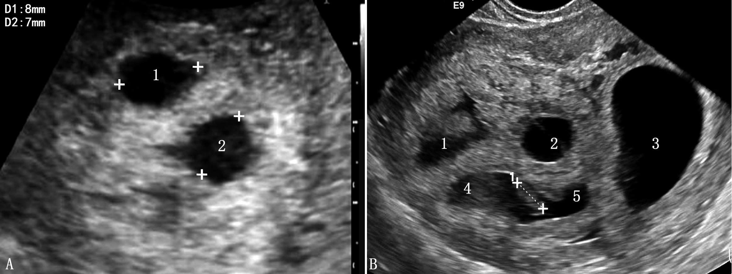
1.妊娠囊 妊娠囊的计数是早期诊断多胎妊娠的基础。早期妊娠超声显像检查妊娠囊回声及其评价方法可采用同单胎妊娠。TAU于停经后第6周或TVU于第5孕周即可显示妊娠囊(图1A)。需要注意的是早期妊娠显示的单胎妊娠或多胎妊娠可能会有一定的误差,有报道在孕6周以前有11%(24/213)的双绒毛膜囊双胎妊娠和86%(6/7)的单绒毛膜囊双胎妊娠被诊断为单胎妊娠。
超声检查显示的分离的妊娠囊个数即为绒毛膜囊个数(图1B),两个妊娠囊则提示双绒毛膜囊双胎妊娠,三个妊娠囊即提示三个绒毛膜腔。停经10周时羊膜腔扩大、绒毛膜逐渐变薄,羊膜与绒毛膜融合,超声显像检查对绒毛膜特性评估的难度明显增加。

图1多胎妊娠声像图 A:TVU显示两个孕囊 B:TVU显示5个孕囊
2.羊膜囊 双绒毛膜囊时可以确认是双羊膜囊双胎妊娠。超声检查可通过计数每个妊娠囊内卵黄囊和(或)胎心搏动的个数明确多胎妊娠,妊娠囊和卵黄囊和(或)胚芽的数目相等可确认双羊膜囊双胎妊娠;双羊膜囊双胎妊娠可以是两个绒毛膜囊也可以是一个绒毛膜囊;在一个妊娠囊内显示两个胎心搏动则可明确是单羊膜囊双胎妊娠。
TAU第7~8孕周超声检查时能常规显示清楚羊膜囊,TVU对羊膜和胚胎显示的会更早、更清晰,更有助于确定诊断。
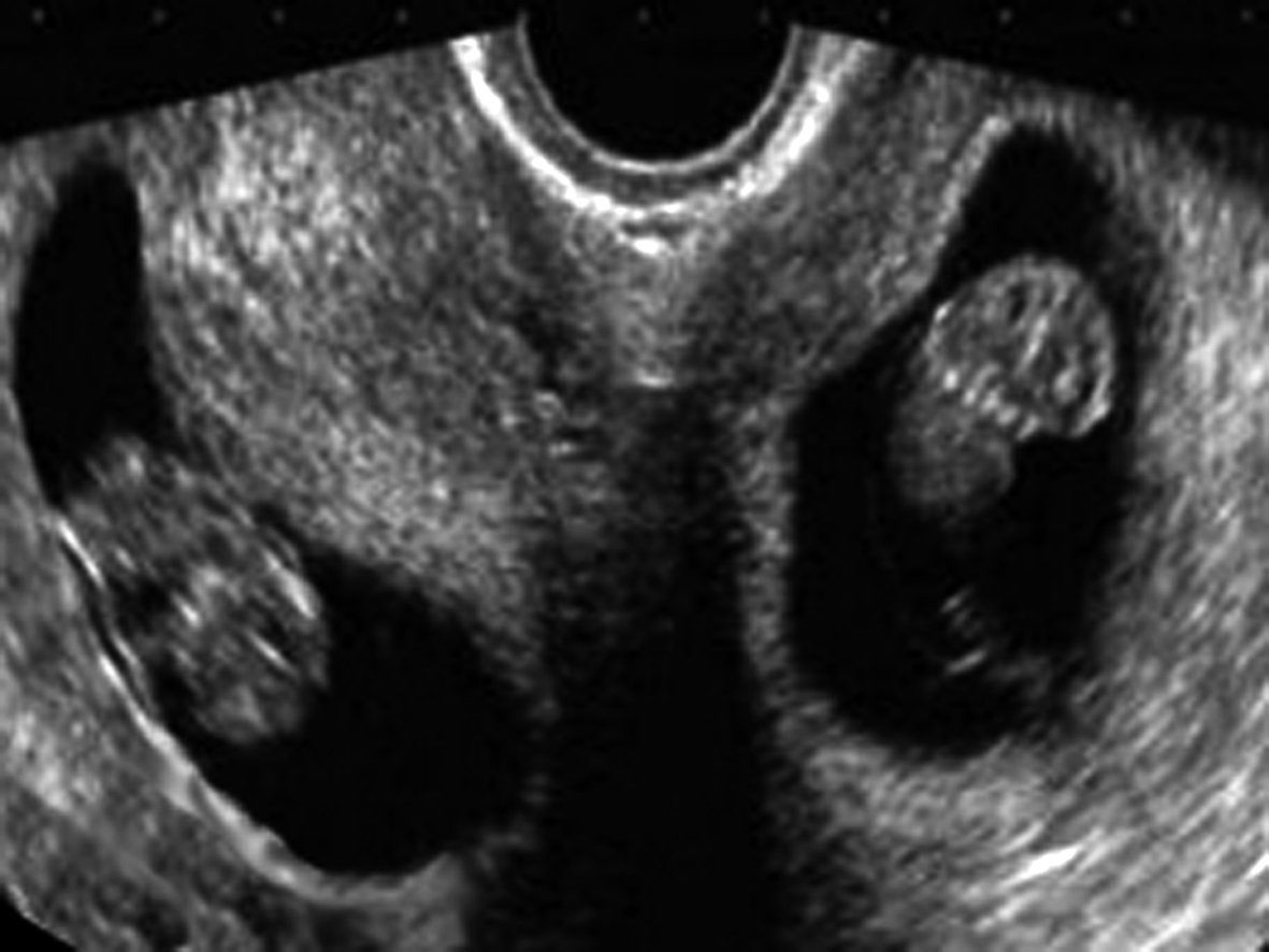
3.卵黄囊 卵黄囊数可以确认胚胎数目。超声检查可以早地显示卵黄囊(图2)。但有时早期显示卵黄囊和羊膜可能有一定的难度,或卵黄囊显示时间较短而错过显示的时机。单绒毛膜囊单羊膜囊双胎妊娠多数仅有一个卵黄囊,极少数可能显示部分分开的卵黄囊。因此,早期在孕囊内显示2个卵黄囊可以提示为双胎妊娠,但1个卵黄囊并不是单胎妊娠的绝对声像图特征,应当在以后的检查中继续观察,评估胚胎的个数,以明确是否为单羊膜囊双胎妊娠。
4.胚胎/胎儿及其附属物 多胎妊娠胚胎/胎儿的显示时间、胎心的显示、生长速率同单胎妊娠;胎盘的显示有助于对双胎类型的判断,位置分离的胎盘提示受精卵着床的位置不同,为双卵双胎的证据,毗邻一起的胎盘并不能说明一定是单卵双胎(图3)。

图2多胎妊娠声像图 A:TVU显示两个孕囊及各自的卵黄囊回声 B:TVU显示3个孕囊及各自的胚胎结构

图3多胎妊娠胎盘声像图 单绒毛膜囊双胎,图中显示一个胎盘,箭头示两个脐带进入胎盘的位置
5.多胎妊娠中的特殊情况
(1)“假孕囊”:早孕期超声显像检查可能低估多胎妊娠数外,有时还会出现“假孕囊”问题并因此而误为多胎妊娠数。显示每个妊娠囊后通过显示其内部的卵黄囊、胚胎回声及其心管的搏动,可以排除“假孕囊”。
(2)绒毛膜性及羊膜性:绒毛膜性及羊膜性的超声显像检查判断是显示不同类型双胎的依据。其中重要的征象包括双胎之间隔及间隔厚度、“T”型征、“双胎峰”等。
(3)双胎之一丢失:早孕中显示多胎妊娠并不一定都能维持到足月,有一部分可在孕早期胚胎期死亡,形成孕卵枯萎或称为妊娠的早期丢失(图4)。“双胎之一丢失”可伴有或不伴有早期妊娠的阴道流血。这种现象可能更多的发生在妊娠8周以前;早期显示的胚胎数量越多,随后“丢失”风险就越高。研究发现双胎之一丢失后存活胎儿神经系统发育障碍的发生率增高。

图4双胎之一孕卵枯萎
A:停经6周TAU检查显示宫腔内两个孕囊,其一显示胚胎及心管搏动
B:停经9周TVU复查胎儿发育正常,心脏活动显示,另一个仍无胎体显示
(4)畸形子宫多胎妊娠及异位多胎妊娠:子宫发育异常并多胎妊娠是比较特殊的情况,常见的是双子宫多胎妊娠。可以是双子宫分别妊娠,形成两个子宫腔内各自的单胎妊娠(图5),也可以是一侧子宫内双胎妊娠。在后者的情况下,未孕子宫腔内常可以显示假孕囊回声。偶尔可以发现双子宫内一侧双胎妊娠、另一侧单胎妊娠,形成双子宫、三胎妊娠。

图5双子宫双胎妊娠声像图
异位多胎妊娠常见的形式多为宫腔内外同时妊娠,其危险度为1/2100~1/30000。诱导排卵的治疗增加了子宫腔内外同时妊娠的危险性。
(二)中晚期多胎妊娠超声检查
中期妊娠以后多胎妊娠子宫增大程度和速度明显超过单胎妊娠的变化,相应的体征越来越明显。胎儿各部分的检查,包括胎儿各部分的解剖结构、生理活动、胎儿方位、羊水及胎盘情况等检查和评估基本同单胎妊娠检查,但要对各个胎儿逐个检查,分别评价。相关内容可参考单胎妊娠超声检查。
(三)三胎以上的多胎妊娠
三胎以上的妊娠超声显像检查要复杂得多。可能三个胎儿有各自的绒毛膜囊和羊膜囊,形成三绒毛膜囊三羊膜囊多胎妊娠,或可能其中两个胎儿位于一个绒毛膜囊各自的羊膜囊或一个羊膜囊内,另一个在单独的绒毛膜囊羊膜囊内,或三个胎儿位于一个绒毛膜囊三个羊膜囊内,有时还可以见到双子宫多胎妊娠。早期妊娠超声显像检查多可明确妊娠囊和(或)胚胎的个数,胎盘显示分离或融合,但到妊娠中晚期几乎都显示为拥挤在一起的胎盘或似乎在整个宫腔内都显示胎盘和胎体的回声,各胎体之间的分隔多数显示不清。超过三胎时晚期妊娠超声显像检查常导致胎体追踪扫查的困难。
(四)胎盘-脐带超声多普勒检查
多胎妊娠中胎盘脐带循环的差异可以引起胎儿发育的不平衡。胎盘-脐带循环的超声多普检查有助于对胎儿宫内发育迟缓或胎儿发育不一致的评估。脐带血流S/D增加和羊水量、羊水物理性状改变及新生儿Apgar评分的降低有一定的关系。双胎妊娠产前超声检查中超声多普勒可用于涉及胎儿血流动力学和胎盘循环的并发症检查中,不建议将超声多普勒检查作为常规胎儿超声检查方法。
(五)羊水评估
对于双胎妊娠羊水的超声评估,目前还缺少理想的方法。辨认双胎之间的膜状分隔是评价双胎各自羊水状况的前提。在单胎妊娠中使用的主观评估、羊水池垂直深度、羊水指数等方法都可以在双胎妊娠中使用,注意辨认、分别评估各自的羊水状况是重要的,但多数是比较困难的。怀疑羊水过多或过少时,要分别垂直测量羊水池的最大值。当羊水测值最大深度<2cm时为羊水过少,>8cm时为羊水过多。
四、宫颈的评估在多胎妊娠中的意义
超声检查观察宫颈长度可以很好地评估早产的风险。TAU应要求孕妇适当饮水充盈膀胱,测量子宫颈内外口之间的距离获得子宫颈的长度。TVU可更清晰地显示子宫颈的长度。除宫颈长度外,还需注意前羊膜囊对应子宫颈内口处的形态,子宫颈内口松弛可以引起前羊膜囊相应部位成角呈漏斗状向子宫颈内口处突出。显示此征象则早产的风险增加。经会阴部超声检查也可以评估宫颈长度。
随着孕龄的增加宫颈缩短的孕妇早产的发生率要高于宫颈不缩短的孕妇。34周以后分娩的双胎妊娠宫颈长度每周减少0.8mm;足月分娩的孕妇其宫颈长度平均缩短1.8mm/周;早产孕妇的宫颈长度平均缩短2.9mm/周。宫颈长度>25mm时提示在1周内不会发生分娩,而当宫颈长度≤15mm时分娩率是44%。
Imseis等发现在妊娠24~26周时宫颈长度>35mm的在34周前早产的风险很低,孕34周后分娩的敏感性为49%,特异性94%,阳性预测价值为97%。Goldenberg等研究了147例双胎妊娠的孕妇的资料,发现妊娠24周宫颈长度<25mm时,26.9%的孕妇在32周前分娩;28周宫颈长度<25mm时,13.2%的孕妇在32周前分娩。
在妊娠的不同时期,宫颈的长度有不同的意义,没有办法设定一个宫颈长度的统一标准。在不同的孕周中,宫颈长度≥35mm可能是一个安全的标准。
五、多胎妊娠多普勒超声检查
由于多胎妊娠的风险较单胎妊娠明显增加,包括早产、子痫前期、IUGR(包括选择性IUGR)、畸形、宫内死亡以及多胎妊娠特有的风险如TTTs、TAPS、TOPS等,胎儿的流产、早产、死亡以及畸形、生后病率及死亡率更高。在特殊的情况下,多普勒超声检查可以通过母儿血液循环和胎儿血液循环的评估对胎儿的发育作出评价,为临床医生的诊断、处理以及对妊娠结局的评估提供依据。
依照加拿大妇产科学会的要求,不推荐多普勒超声作为正常妊娠常规检查手段。在需要排除以下情况或已诊断双胎特发性异常需要进行监测评估时应进行多普勒超声检查:双胎间胎盘循环-胎儿发育受限评估、TTTS、TAPS、双胎反向动脉灌注综合征(RAPS)等。