来源:熊猫放射
成人肺部感染
Pulmonary Infection in Adults
呼吸系统感染是人类最常见的疾病,肺炎是感染所致死亡中的首要原因。肺炎是指肺实质的急性感染,常伴有急性感染的若干症状和胸部X线平片上急性浸润表现。
一、肺炎的分类
目前普遍接受的肺炎分类为社区获得性肺炎(Community-Acquired Pneumonia,CAP) 、医院获得性肺炎(Hospital-Acquired Pneumonia,HAP) 、呼吸机相关性肺炎(Ventilator-Associated Pneumonia,VAP) 和健康护理相关性肺炎(Health Care-Associated Pneumonia,HCAP) 。
1、社区获得性肺炎
诊断基于若干选择性临床特征(如咳嗽、发热、咳痰和胸膜性胸痛),并且有肺部影像学的支持,通常是胸部X线平片。
致病微生物包括革兰阴性菌如肺炎链球菌、流感嗜血杆菌和金黄色葡萄球菌,以及不典型病原体,如肺炎支原体、肺炎衣原体和军团杆菌,还包括病毒,如甲型流感病毒和呼吸道合胞病毒等。
临床症状出现后12小时内常可在胸部X线平片上见到明显的肺部阴影。
2、医院获得性肺炎
定义为住院后才出现的肺炎,入院时没有感染并且不在潜伏期内。医院获得性肺炎是医院获得性感染中首要的致死原因,最常出现在重症监护室的患者,尤其是需要机械通气的患者。
3、呼吸机相关性肺炎
致病微生物常因重症监护室中的患者人数、住院时间及入住重症监护室的时间及使用特殊的诊断方法而各异。
人类呼吸机相关性肺炎的致病性病原体包括金黄色葡萄球菌、铜绿假单胞菌和大肠埃希菌等。
4、健康护理相关性肺炎
与一些健康护理的危险因素相关的肺炎,如既往的住院史,透析,居住在养老院及免疫功能减低状态的肺炎被列入健康护理相关性肺炎。当前接受院外护理,包括家庭伤口护理或输液、透析、在疗养院及类似的机构接受护理的患者人数持续增长。
二、胸部X线平片和CT的临床应用及局限性
肺炎的临床诊断通常基于临床症状,实验室检查及胸部X线平片表现。不同类型的肺炎虽然与特定的致病微生物相关,但必须明确由某一特定类型病原体所致的肺炎在胸部X线平片上的表现并不具有特征性。
胸部X线平片上肺炎影像表现多有重叠也因病程进展而不断变化,仅依靠胸部X线平片对肺炎的病因学做出诊断是不可靠的,肺炎与左心衰竭和肺栓塞等的鉴别诊断也常常比较困难,特别是既往有肺部基础疾病(严重的肺气肿、间质性肺炎等)的患者发生肺炎时,胸部X线平片上的表现常常非常不典型。
胸部X线平片依然是评估可疑肺炎患者的重要手段,通常为首选检查。
薄层CT扫描(厚度<2mm)在发现细微的异常上较胸部X线平片具有更高的敏感性,可比胸部X线平片提前5d左右发现肺炎。当患者临床怀疑感染,而胸部X线平片提示正常或非特异性改变(图),或肺部感染的危险因素增加(如中性粒细胞减少)时,建议进行CT检查。当肺炎患者具有持续性或复发性肺部阴影时,CT常用于鉴别诊断以排除潜在的其他疾病。
根据美国胸部学会(ATS) 的定义, 影像学显示肺部致密影是肺炎定义的一部分,但临床症状发作至出现影像学改变会有几小时的延迟,特殊情况下延迟时间会更久,有时胸部影像学检查会呈阴性。
肺炎随时间转归因致病病原体、患者的合并症及年龄的不同而异,一般持续1~2周或达2个月。

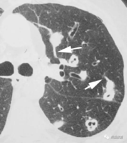
↑ 肺泡细支气管炎 Cellular bronchiolitis
71岁男性,持续发热48h。正位胸片正常,CT显示小叶中心分枝状结节和线状影,呈“树芽征” (a ‘tree-in-bud’ appearance) 。诊断为支原体性细支气管炎(Mycoplasma bronchiolitis)。
三、肺部感染的类型
根据胸部X线平片的表现,肺炎分为大叶性肺炎,支气管或小叶性肺炎和间质性肺炎。
1、大叶性肺炎
炎症渗出常起始于邻近脏层胸膜下的远端的气腔,并通过侧支气流通道(Kohn孔) 蔓延, 形成均匀一致的致密影, 占据部分或整个肺段,偶尔累及整个肺叶。有时感染可表现为球形聚拢的实变影(图)。大叶性肺炎常可见支气管充气征(图)。
导致整个肺叶实变的病原体中,肺炎链球菌是迄今为止最常见的,其他病原体包括肺炎克雷伯杆菌及其他革兰阴性杆菌、军团菌、流感嗜血杆菌,偶尔可为支原体。
CT的特征性表现为肺叶或亚肺叶的实变,边界清楚,以叶间裂为界。

↑ 球形肺炎 Round pneumonia
64岁男性,发热、咳嗽、咳痰。X线平片示左肺上叶肿块样实变;CT示左肺上叶边界清楚高密度影,内含小范围低密度区。痰革兰染色提示肺炎链球菌。

↑ 大叶性肺炎 Lobar pneumonia
36岁男性,肺炎链球菌肺炎。冠状重建CT显示右肺上叶的均匀局灶性实变。实变影中可见支气管充气征(air bronchograms)。
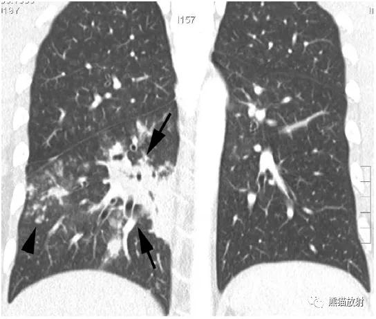
2、支气管肺炎(小叶性肺炎)
组织学特征为显著的细支气管周围炎症。最初呈为斑片状实变,随疾病进展可致小叶及节段性实变。通常不显示支气管气象。
最常见的病原体有金黄色葡萄球菌、流感嗜血杆菌、铜绿假单胞菌和厌氧菌。
支气管肺炎的特征性CT表现为小叶中心分布的边缘模糊的结节和线样分支影,气腔结节和多灶性小叶范围实变(图)。

↑ 流感嗜血杆菌所致支气管肺炎
48岁男性,咳嗽咳痰,发热。右肺下叶局灶性实变影,边界不清,内见支气管充气征,同时伴有小结节和数个“树芽征”结节。
3、非典型肺炎(间质性肺炎)
最初是指临床及影像学表现不符合或不像肺炎链球菌所引起的肺部感染。在文献中,术语“非典型肺炎”(相对于“细菌性肺炎”)仍在广泛使用,但严格意义上是不正确的。
很多致病病原体即使不是常见意义的细菌类型,仍被认为是细菌(比如支原体是一种没有细胞壁的细菌,衣原体是胞内的寄生虫)。因此,如果更准确地基于致病病原体,术语“非典型肺炎”不是仅仅指间质性病变(伊氏肺孢子菌肺炎、特定病毒感染),还可表现为致密的实变(如军团菌、支原体及衣原体等)。
间质性肺炎的常见原因是病毒和支原体感染,影像学上表现为双肺的局灶性或弥漫性小而不均匀的致密影,两肺均匀分布。
四、肺炎的并发症
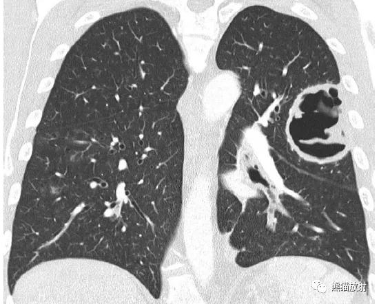
1、肺脓肿指局限性的含有脓液的坏死腔。引起肺脓肿最常见的病因为吸入。常见部位在上叶后段或下叶背段(图)。肺脓肿的最常见病原体包括厌氧菌(最常见具核酸杆菌和拟杆菌)、金黄色葡萄球菌、铜绿假单胞菌和肺炎克雷伯菌。

↑ 肺脓肿 Lung abscess
35岁男性,高热,大量浓痰。痰培养铜绿假单胞菌阳性。CT示左肺上叶的大空洞,空洞内见粗大分隔。
2、肺坏疽是肺炎不常见的并发症,以肺脓肿(肺坏死)腔内形成坏死碎屑为特征。
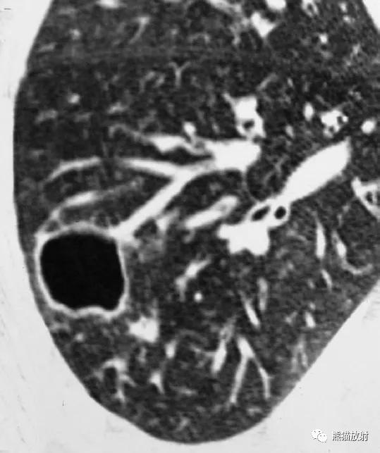
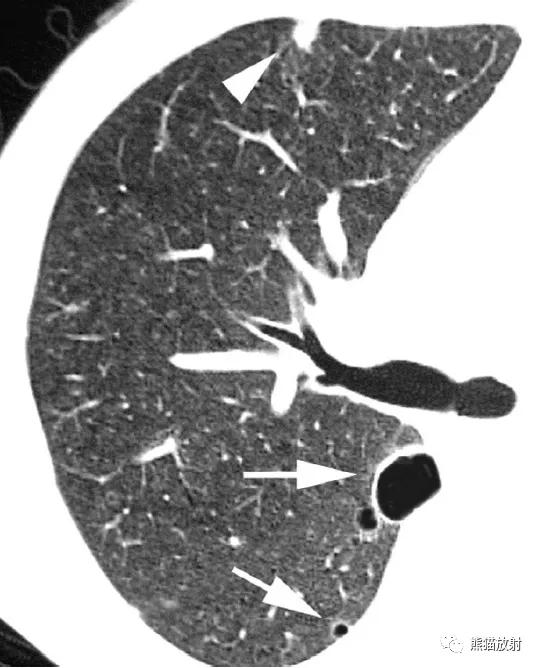
3、肺气囊是指薄壁的含气空腔,其形成常与感染相关。可能是由于局灶性肺实质坏死后,引流内容物的支气管发生活瓣性阻塞而形成。此并发症主要是由于婴儿(图)或儿童的金黄色葡萄球菌感染和获得性免疫缺陷综合征(艾滋病)患者的伊氏肺孢子菌肺炎(图)。

↑ 肺气囊 Pneumatocele
32岁女性,既往金黄色葡萄球菌肺炎病史。右肺下叶的薄壁囊性病变(肺气囊)。

↑ 卡氏肺孢子菌肺炎和囊肿 Pneumocystis pneumonia and cysts
37岁男性,艾滋病患者。CT示广泛分布的磨玻璃密度影,多发囊肿(肺气囊)和结节影。诊断为卡氏肺孢子菌肺炎。
4、肺部的脓毒性栓子可来源于各种部位,包括心瓣膜(心内膜炎)、外周静脉(血栓性静脉炎)、静脉导管或起搏器电极线。
横断面CT图像上结节影常可见血管影与之相连(“供血血管征”)(图)。由于致病病原体的不同,结节常在不同的时期形成空洞,导致实性结节和结节伴大小不等的空洞同时存在。

↑ 脓毒性肺栓塞 Septic embolism
40岁男性,发热,静脉注射*品毒**史。CT显示左肺多发空洞性结节,不同的血管与结节相连。血培养金黄色葡萄球菌阳性。
5、脓胸在肺部感染中发生率不足5%。经典的相关病原体包括肺炎链球菌、化脓性链球菌和金黄色葡萄球菌。
影像学上,早期表现包括肋膈角的模糊消失。大量脓胸时出现单侧胸腔完全致密及纵隔向对侧移位。CT特征包括:①胸膜强化及壁层胸膜增厚;②胸外脂肪密度增加;③胸膜外肋下脂肪的增厚致密。
6、支气管胸膜瘘是指支气管及胸膜腔之间形成的窦道,常继发于坏死性肺炎、肺部手术、肺肿瘤及创伤。
影像学特征包括:①胸膜腔内气体增加;②出现新的气-液平面;③已有液平出现变化;④张力性气胸进展;⑤CT扫描显示真正的窦道。
【版权声明】本平台属公益学习平台,转载系出于传递更多学习信息之目的,且已标明作者和出处,如不希望被传播的老师可与我们联系删除
*载下**放射沙龙app,获取更多影像科学习资料,更多学习视频等着你哦