前几天讲过一位小细胞肺癌病人,通过化疗控制已经5年多没复发了。结果很多读者留言,质疑是误诊!我们今天不讲医理,只看一些实实在在的病例,癌症患者治愈的病例,用事实说话,给癌症病人和亲属们提振信心!
病例1,中心型肺癌治愈!
这是一位老烟民,58岁时候因为咳嗽、痰中带血做CT,发现左下肺不张,气管内新生物,支气管镜活检病理证实为肺鳞癌,中心型:

中心型的手术,难度要比周围型高一点,但只要没有转移,不侵犯大血管,对胸外科医生来说就问题不大。手术很成功,一晃7年后复查,恢复很完美:

左肺下叶已经完整切除,上图只能看到左下叶支气管的残端,但是没关系,我们人类有5个肺叶,切除1个不会影响肺功能。这个病例证明:中心型肺鳞癌,有机会治愈!
病例2,周围型肺癌治愈
这是一位53岁男子,不吸烟,因为咳嗽、胸痛查出左下肺分叶状肿块(4.5×4.0cm),伴有胸膜牵拉,肿瘤靠近肺门一侧还有一颗肿大淋巴结,恶性征象很明显,选择直接手术切除,病理是腺鳞癌,低分化:

他的免疫组化:p63+,CK5/6+(少数),Syn-,CgA-,虽然是低分化,比较幸运的是清扫11颗纵隔及肺门淋巴结,均未发现癌细胞转移,术后做了规范的化疗,5年后复查恢复很好,没有复发!这个病例告诉我们:周围型肺癌,有机会治愈!
病例3,小细胞肺癌治愈
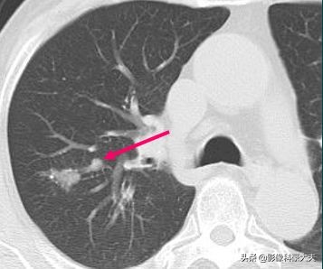
这是一位67岁男性病人,2013年体检发现右肺分叶状实性结节:

本病例来自山东肿瘤医院黄教授
这个病人没有症状,结节比较光滑,会不会是结核球?我们不急于定论,先利用设备的强大后处理功能把图像放大后,观察到两个细节:

本病例来自山东肿瘤医院黄教授
肺门侧有一个小结节,首先考虑淋巴结(局部转移),同时结节的远侧带一点光滑的小尾巴,这提示早期转移,淋巴浸润的可能,最符合小细胞肺癌的特点。进一步给病人做了增强扫描,显示这个小结节呈轻度强化(小细胞肺癌大多乏血供,多呈轻度强化),这就不应该直接手术了,需要先穿刺明确病理,因为如果是小细胞肺癌,转移早,进展快,手术不能获益(只有大约5%的局限期小细胞肺癌可以手术)。
病人后来做了经皮肺穿刺,病理果然是小细胞肺癌,免疫组化显示:CKpan+,Syn+,CgA+,TTF-1+,CK5+,Ki-67+80%。这个患者没有手术,听从医生指导选择了放化疗为主的综合治疗,至今健在,6年多了!这个病例说明:小细胞肺癌,放化疗也有机会治愈!
病例4,类癌,治愈
今天有网友问豪大夫,类癌也是癌吗?从病理上分,除了常见的肺腺癌、肺鳞癌之外,还有一种神经内分泌癌,主要分为4种,按照恶性程度由低到高来排序,分别为类癌、不典型类癌、大细胞神经内分泌癌、小细胞肺癌。就是说,小细胞肺癌和类癌都属于神经内分泌癌,其中小细胞是恶性程度最高的一种,而类癌恶性度低。
肺类癌主要起源于支气管黏膜的神经内分泌细胞,即Kulchitsky细胞,也叫嗜银细胞,60-70的类癌属于中央型,发生在主支气管或叶段支气管,这是因为越靠近中心支气管,K细胞的分布越多,多了就容易搞事情。
下图是一位43岁女性,咳嗽咳血,CT发现左下叶支气管内类圆形小肿瘤,增强扫描明显强化,手术病理是肺类癌:

类癌恶性度低,只要及时发现,治愈机会很大!
病例5,大细胞神经内分泌癌,放化疗治愈
这位老爷子也是老烟民,60岁时因为声音嘶哑、吞咽困难1个月,化验肿瘤标志物,癌胚抗原(CEA)达到1000ng/ml,爆表了,进一步胸部CT发现小肺癌伴纵隔多发淋巴结转移,病理确诊为大细胞神经内分泌癌:

虽然肿瘤才2厘米,已经无法手术了。幸运的是神经内分泌癌对放化疗敏感,病人做了以放化疗为主的综合治疗,6年后回来复查,恢复很好:

从CT片上可以看到,左上肺遗留一些放疗后的纤维化改变,肿瘤已经萎缩消失,没有复发,老人今年该过66大寿了。这个病例证明:大细胞神经内分泌癌,也有机会治愈!
写在最后:
很多人认为癌症根本治不好,治好的都不是癌症,是误诊!这个错误的观点误导了不少人,让一些本来有机会治愈的病人放弃了机会,丢掉了希望。这是不对的。#辟谣# #真相来了#
地球在转,时代在变,医学也从未停止探索和攀登的脚步,要做长空鹰,莫做井底蛙,5G时代要来了,原地踏步会被时代抛弃的。
我是影像科豪大夫,分享小病例,传递正能量!肿瘤高发时代,癌症是个难以回避的问题,希望这些正能量的病例能给需要的人群更多鼓励,提振信心!
本文参考文章:
左肺乏血供小结节该如何处理?胸科之窗,2019.4.12.