来源: 华斌的超声世界脂肪瘤是软组织肿瘤中最常见的一种,一般表现为边界清晰、有包膜、质地软、血流少的软组织包块,通常情况下不难诊断。
但是有一些特殊类型或特殊部位的脂肪瘤常常具有不同于一般单纯性脂肪瘤特征的表现,要注意鉴别。
- 肌间浸润性脂肪瘤:
肌间浸润性脂肪瘤可以渗透于骨骼肌纤维和基质之间,形成有条纹的外观。最常见的位置是下肢(45%)、躯干(17%)、肩部带肌(12%)和上肢(10%)。
超声检查显示肌肉内沿肌肉纤维浸润分布的高回声包块,病变常常界限不清,但通常都局限于一块肌肉内,不会突破肌肉的筋膜。由于病变内部界面增多,后方常常伴有回声的衰减,病变的长轴通常平行于肌肉纤维。
肌内浸润脂肪瘤也可能包含其他间充质成分,尤其是纤维结缔组织,这是病变的回声更为复杂。MRI能够清晰显示浸润于肌纤维间隙内的脂肪组织对肌纤维并没有破坏。

图1 肌间浸润性脂肪瘤。大腿外侧股内侧肌内的包块。右图为T1加权MR成像。
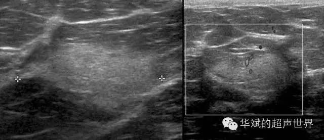
- 血管脂肪瘤:
血管脂肪瘤内合并分布有脂肪组织和小血管,一般发生于皮下。通常有包膜。 好发部位:上肢(58%)、下肢(26%)和躯干(16%)。相比于皮下单纯性脂肪瘤,血管脂肪瘤的回声更强、内部回声的异质性更明显。血管脂肪瘤的侧边边界不如单纯性脂肪瘤清晰。更容易谈及内部血流信号。不过多数情况下,仅靠声像图是无法将血管脂肪瘤和单纯性脂肪瘤鉴别开的。

图2 两例皮下血管脂肪瘤。
- 冬眠瘤:
冬眠瘤(hibernoma),也叫蛰伏瘤、棕色脂肪瘤。是起源于棕色脂肪的一种良性肿瘤。发生在20-40岁的患者中,主要发生于肩胛间区和肩胛周围,也可以发生在其他部位。声像图上一般表现为高回声包块,边界不如单纯性脂肪瘤清晰,内部偶尔可见血流信号。

图3 乳腺内的冬眠瘤。
(*棕色脂肪组织特点是组织中有丰富的毛细血管,脂肪细胞内散在许多小脂滴,线粒体大而丰富,核圆形,位于细胞中央,这种脂肪细胞称为多泡脂肪细胞。在成人分布极少,新生儿及冬眠动物较多,在新生儿主要分布在肩胛间区、腋窝及颈后部等处。棕色脂肪组织仅在人类婴儿时期发挥作用。它们堆积在新生儿肩胛处,帮助维持体温。随着年龄增长,棕色脂肪会逐渐消失。最终,人体内只残存少量棕色脂肪细胞,分布于颈部。)
- 脂肪母细胞瘤(成脂肪细胞瘤):
脂肪母细胞瘤是一种良性肿瘤。脂肪母细胞瘤内含有胚胎性的原始脂肪细胞。脂肪母细胞瘤绝大部分发生在三岁以内,8岁以上的病例未见报道。因此,年龄是本病鉴别诊断中最重要的线索。相反,脂肪肉瘤几乎不会发生在5岁以下的婴幼儿。脂肪母细胞瘤通常都是边界清晰,可以分叶状。大部分可以完整切除,完整切除切除后很少复发。脂肪母细胞瘤最常见的发病部位是四肢,其次是颈部。其他部位如腹膜后、肠系膜、躯干等均可发生。脂肪母细胞瘤男性多见,男:女为3:1。CT可以发现边界清晰的包块内的脂肪成分。结合年龄,有助于做出诊断。超声检查发现病变多与成人脂肪瘤类似,多为高回声,边界清晰。不过,脂肪母细胞瘤更多发生在较深层组织,而不是皮下脂肪层。这常常造成外科切除的不完全。脂肪母细胞瘤不会发生远处转移。未切除的脂肪母细胞瘤可能随着年龄的增长转变为良性脂肪瘤。脂肪母细胞瘤不会发生恶变。

图4 脂肪母细胞瘤。多为边界清晰的高回声,可以分叶。A:腹膜后;B:肝膈之间;C:*丸睾**旁。
- 滑膜树枝状脂肪瘤
滑膜树枝状脂肪瘤(Synovial lipoma arborescens)好发于膝关节,髌上囊常见。滑膜脂肪瘤病大体上呈灰白灰黄色,滑膜呈淡黄色粗大乳头状突起,边缘光滑。显微镜镜下滑膜呈绒毛状增生;绒毛被覆1-4层滑膜细胞,部分区域滑膜细胞不同程度增生;滑膜下层成熟脂肪细胞呈灶性或弥漫性浸润;绒毛内可见大量扩张充血的毛细血管,部分病例有不同程度的淋巴细胞、浆细胞浸润。对于该病的本质也存在两种观点,一种认为是关节内滑膜来源的真正的良性肿瘤;一种观点认为滑膜脂肪瘤病不是一种真正的肿瘤,而是滑膜的一种类似良性肿瘤的增生性病变。尤其是对关节内软骨长期受损的一种适应性和保护性的滑膜增生。至于滑膜脂肪瘤病确切的病因和发病机制还不清楚,多数学者认为是被灶性或弥漫的成熟脂肪细胞浸润的滑膜呈绒毛状增生的结果。影像学上,可见积液扩张的滑膜囊内有大量的附着于壁上的结节样含脂肪成分突起。声像图上呈现为高回声。(* arborescens译为树枝状并不准确,姑且用之)

图5 髌上囊内的滑膜树枝状脂肪瘤。右图为关节镜下所见。
- 神经纤维脂肪瘤
也称纤维脂瘤性错构瘤、脂肪纤维瘤性错构瘤,是一种少见病变,病因是纤维脂肪组织对大神经及其分支的逐渐渗透。该病手部易患,最常累及正中神经,桡神经和尺神经也可受累。其他的偶尔累及的部位还有腓总神经、坐骨神经和指神经等。尽管这种病变不是恶性的,但临床表现可能很明显。纤维脂肪性错构瘤常见于儿童、青少年或年轻成人,临床可见逐渐增大的肿块、巨指(趾)以及神经压迫症状等等。这类错构瘤可能与脂瘤性营养异常性巨大增生有关。超声显示低回声的声束周围被高回声的纤维脂肪结构包绕,呈现为典型的“蛇纹样”改变。MRI上也可以同时显示纤维组织和脂肪组织的特征,增大的神经呈蛇纹样特征表现。大体检查可见灰色或黄色肿块包绕神经,组织学上见纤维脂肪浸润以及神经鞘膜和神经周围纤维化。

图6纤维脂瘤性错构瘤。19岁男性,腕部肿胀。超声和MRI显示正中神经增粗,神经束周围被纤维脂肪样结构包绕,呈“蛇皮样”表现。
【版权声明】本平台属公益学习平台,转载系出于传递更多学习信息之目的,且已标明作者和出处,如不希望被传播的老师可与我们联系删除
喜欢本期内容的 求收藏 求转发
如果您有ct片问题也可以直接头条私信
想要知道更多的放射科相关内容可以微信关注放射沙龙公众号
或者直接在应用商店*载下**放射沙龙app与放射科医生在线互动学习