胚胎停育指孕早期胚胎发育自然终止及胚胎丢失的病理过程,多在孕12周以内发生,其结局大多为稽留流产和不全流产。

胚胎停育的诊断
胚胎发育到一个阶段发生死亡而停止继续发育的现象称为“胚胎停育”。可分为:
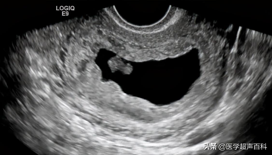
1、空孕囊是指受精卵着床后发育异常,尚未形成胚胎就停止发育。B超:宫腔内只有孕囊而无胚芽组织的异常妊娠。有时B超会描述只见液性暗区,内未见卵黄囊或胚芽。
2、有胚芽无胎心B超示妊娠囊内可见胚芽,但无胎心搏动。
3、有胎心后停育是指B超在动态监测妊娠囊,可以先有胎芽胎心搏动,待一段时间 B超又未监测到胎心搏动,只见枯萎的妊娠囊。
超声诊断
经阴道超声
1、胚胎长度≤5mm,无心管搏动,7-10天后复查仍无心管搏动。
2、胚胎长度>5mm,无心管搏动或妊娠囊平均内径>20mm,无卵黄囊及胚胎。
3、妊娠囊平均内径≤20mm,无卵黄囊及胚胎,1-2周后复查仍无卵黄囊及胚胎。
可见胚胎停育是B超医生的描述术语,因为通过B超可以非常直观地看到正常胚胎的胎心搏动和胚胎停育中的无胎心搏动,因为通俗易懂,被患者及医生广泛接受。
而实际上妇产科的医学诊断为:稽留流产。稽留流产是指胚胎停育在子宫腔内,未被子宫排出体外,一般无阴道流血或阴道少许流血,是临床医生结合B超,血β-HCG值的变化,孕酮值及妇科检查综合判断而给予的临床诊断。
所以,胚胎停育和稽留流产是两个不同的概念,它们俩有相似处,是一种疾病发展的两个过程。
妇科除了稽留流产之外还有:
1、先兆流产:胚胎发育良好,有少量阴道流血及轻微腹痛表现,可以保胎。
2、不全流产:胚胎一部分已排出体外,还有胚胎附属物未排出。
3、难免流产:是指宫口已开,孕囊或胚胎已在宫口,即将要排出 体外。
4、完全流产:是指胚胎及附属物完全排出体外。
所有的流产是指妊娠28周以前的胚胎,孕12周以前的流产又称早期流产,12周到28周为晚期流产。胚胎停育一般是指孕12周以前的胚胎停止发育。

胚胎停育诱因
胚胎停育的诱因包括染色体异常、免疫因素、内分泌因素、感染因素、生殖器官畸形、全身疾病、环境、行为及生活习惯等。
1、内分泌因素
胚胎发育可受体内激素水平调节,下丘脑-垂体-卵巢轴的内分泌调节紊乱,可严重影响妊娠结局。
2、感染因素
风疹病毒、单纯疱疹病毒、弓形虫、巨细胞病毒感染(TORCH)等病原体感染可导致流产、死胎、胎儿畸形等。
3、遗传因素
染色体异常是公认的胚胎停育的重要发病因素之一,其中最常见的是平衡易位和倒位。
4、免疫因素
受精卵在母体种植可视作一种半同体异体移植,胚胎和母体通过复杂而特殊的免疫关系,使母体产生免疫耐受,使胚胎不被排斥。
5、行为及生活习惯
不良的生活习惯:吸烟、酗酒、*品毒**、咖啡等都可以增加胚胎停育的发生率。
咖啡会影响受孕、着床、胚胎发育,增加自然流产、宫内发育迟缓等发病风险。年龄、锻炼、偏爱煎炸食品、室内装修、通风、补充叶酸、婚检、产次及职业紧张等,尤其高龄和职业紧张是导致胚胎停育的危险因素。体育锻炼、居室通风、补充叶酸是保护性因素。
6、环境及心理因素
环境中的有害因素:职业暴露(电磁辐射、氮氧化物等)农药、有机溶剂、铅、苯等,均与流产的发生有关。
精神压力大、过度紧张、焦虑、忧伤。
外伤,直接撞击、*交性**过度。
7、生殖器官畸形与病变
生殖器官畸形与病变同胚胎停育的发生有一定的相关性。生殖器官畸形如不及时纠正,可导致胚胎不育,其中最常见的为纵膈子宫。
8、其他
全身性疾病,比如心血管疾病、营养不良、系统性红斑狼疮等,导致胚胎发育、停育。丈夫的精子数量、活动度、DNA含量及精液中的精子核蛋白的成熟异常也会导致胚胎停育。

预防
有计划备孕、避免大龄生育;
改变不良饮食生活习惯、不吸烟、不喝酒、不吸毒;
合理营养,生活规律;
不密切接触宠物;
保持心理健康,接触精神压力;
避免接触,生活及职业环境中的有毒有害物质;
孕前做优生优育检查,积极治疗慢性病和传染病,采取有效治疗措施;
对出现胚胎停育的女性,不要急于再次怀孕,要到医院做详细的检查,查明原
因,针对病因治疗,根据治疗情况再考虑是否妊娠。