接上篇《川崎病该如何诊断》
川崎病(Kawasaki disease,KD)可引起心血管并发症,尤其是冠状动脉异常(coronary artery abnormality, CAA)。而这些并发症无论是急性期、还是远期都可带来冠状动脉闭塞、心肌缺血,造成严重并发症、甚至死亡。
那么我们该如何减少这种并发症呢?
一,及早诊断川崎病(KD)
静脉用免疫球蛋白(intravenous immune globulin, IVIG)治疗有效预防川崎病患者的冠状动脉异常,但已发生冠状动脉瘤的儿童不一定能受益于IVIG。因此尽早诊断川崎病很有意义。
就如上篇所述,我们依靠临床征象来诊断KD。参考美国心脏病学会2017年诊断标准。
- 嘴唇红斑并皲裂、草莓舌、或/并有口咽黏膜红斑
- 双侧球结膜非渗出性充血
- 斑丘疹、红斑或弥漫性红皮病、多形性红斑样
- 手掌或脚底发红、手足水肿(急性期),或者/并有甲周膜状脱皮(恢复期)
- 颈部淋巴结肿大(直径≥1.5cm),通常单侧
典型的川崎病诊断标准为持续发热≥5天,且上述5条里至少有4条。其中的「手掌或脚底发红、手足水肿」持续有很好的提示意义。
如5条里有4条,且有「手掌或脚底发红、手足水肿」持续存在则可在发热4天即可肯定诊断川崎。有经验的医生在排除了其他可能性的情况下,可以在发热第3天就可开始治疗。
这样诊断可以更早诊断并及早干预。因为研究发现冠脉异常的发生率比过去调研的数据更高。部分患者的冠状动脉在发病较早期就已经发生冠状动脉扩张,虽然有可能在后面出现冠脉内径回缩。
对于不典型的川崎病也要足够警惕。尤其是要避免因为有上呼吸道感染症状就排除掉川崎病可能。即鼻塞、咳嗽、流涕等感冒或流感症状不能作为排除川崎病的依据。(相关讨论见上一篇)

手掌发红,参考1

足底发红、肿胀,参考1
二,川崎病患者的危险分层
IVIG治疗是川崎病患者的重要手段。因为它可以一定程度预防冠脉异常。但是,的确有部分患者存在IVIG抵抗现象。
根据日本学者的研究,应该对所有川崎病患者做危险分层。但是,美国的研究发现,美国儿童的危险因素可能跟日本约有不同。而且,日本的研究结论也需要前瞻性验证。
来自中国的研究发现,:日本的Kobayashi评分、Egami评分法并不太适合中国人。目前中国学者在深入研究,试图建立起中国儿童的风险评分体系。
我们先一起参看Kobayashi评分:
- 钠≤133mmol/L(2分)
- AST≥100IU/L(2分)
- C-反应蛋白≥100mg/L(1分)
- 中性粒细胞≥80%(2分)
- 血小板计数≤300,000/mm3(1分)
- 早期诊断,并在病程第4日或第4日前启动初始治疗(2分)
- ≤12月龄(1分)
一般针对针对Kobayashi评分≥5分的儿童启动「激素+IVIG」的治疗方案。但也有主张Kobayashi评分≥3分即该启动。后者敏感性更高,但特异性较差。
中国研究者发现,Kobayashi评分里的①血钠离子浓度、⑤血小板计数、⑥启动治疗的时间----这3项并非中国儿童的高危因素。

我们急需来自中国自己人的高质量研究
中国北京儿童医院的付培培等研究建立了这样的积分体系:
- 皮疹,1分;
- 肛周脱屑,1分;
- 初始治疗≤4 d,2分;
- CRP ≥8mg /L,2分;(CRP即C-反应蛋白)
- 中性粒百分比≥80%,2分。
他们把积分≥4分作为切值;部分中国研究者验证后认为其效能比日本的更好。
来自中国上海交通大学附属儿童医院的朱丹颖等的研究,他们建立这样的评分体系:
- CRP>10 mg/L
- NLR>2.469、(neutrophil-to-lymphocyte ratio,NLR;即中性粒细胞与淋巴细胞比值 )
- LDH>255 U/L、(lactate dehydrogenase, LDH;即乳酸脱氢酶)
- ALB<35 g/L、(ALB,血浆白蛋白)
- FDP>5 μg/ml、((fibrin degradation products, FDP; 即纤维蛋白降解产物)
除最后的FDP赋分为1分外,其他都为2分。其切点定在了≥6分。该研究也还需进一步验证。
总的来说,这些危险分层体系都需要更高质量的研究来验证他们的效能。笔者建议大家可参看上述标准。同时权衡激素使用的利与弊后作出合理选择。强调糖皮质激素使用的副反应不可忽视,但也不应过分担心。

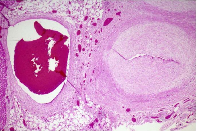
19月大儿童冠脉病理图。9月龄时罹患KD,10个月后死于冠心病。参考1
三,川崎病患者的初始治疗
参考各国的最新指南,笔者建议所有诊断川崎病者(包括不典型川崎病病人)都应同时使用IVIG+阿司匹林治疗。目前并无很高质量研究支持阿司匹林的益处。但基于多个相对可接受的研究证据支持目前的做法。
IVIG的方案是根据体重计算,单次每公斤体重2g/kg,输注时间8-12小时。
阿司匹林每日30-50mg/kg,分4剂给予。但最大剂量是4g/d。
初始治疗退热的48小时后,阿司匹林剂量就可以进一步降低到预防血栓的剂量。阿司匹林会持续4-6周。如发现有冠状动脉异常(CAA)则应继续服用阿司匹林。如没有CAA则可以停用。
对于高危的川崎病患者可联合糖皮质激素治疗(危险分层具体见上)。习惯的糖皮质激素方案是:
根据体重计算,2mg/kg、1mg/kg和0.5mg/kg各治疗5日;最开始的5天采用静脉注射方案。如明显好转则可以改为口服方案。
通常来说,治疗的24小时内体温会逐渐正常。一般儿童发热不主张积极测体温。但川崎病儿童的体温稍增高也是高度提示。因此,应每6小时测量1次患儿的口腔或直肠温度,直至末次发热后48小时。一旦儿童没有下降至正常,或者下降后开始有上升超标的迹象,即应高度警惕。
对于初始治疗反应不佳,或者治疗好转后体温再次上升者,应该警惕IVIG抵抗可能。美国的专家主张再次IVIG治疗,而不是更早使用激素。这主要是担心糖皮质激素副反应。更早使用糖皮质激素可能是日本、中国专家的习惯。这是基于糖皮质激素副反应并没有那么高的缘故。
笔者对此没有倾向。建议治疗的医生应跟家属充分沟通后作出最符合病人价值与意愿的选择。
如初始治疗反应不佳,抗肿瘤坏死因子治疗是值得考虑的。但是必须提醒的是,目前并无高质量研究证据支持。因此,该治疗方案仅限于初始治疗方案不佳者,而不应扩大适应人群。
当然,初始治疗后仍有发热还有其他可能。比如IVIG的治疗副反应,比如合并了其他感染,甚至原本误诊为川崎病,实际是其他风湿性疾病等等。这些需要经验丰富的医生做出恰当判断。

经验丰富的医生很有价值
四,川崎病患者的远期管理
川崎病的主要并发症为冠状动脉异常(CAA),CAA可能导致心肌缺血、心肌梗死和猝死。通常最先通过超声心动图发现。CAA的分类依据是Z值(根据体表面积校正的冠状动脉内径)。
CAA位于心外膜冠状动脉,最常见于左前降支近端和右冠状动脉近端。按发生频率依次为:左冠状动脉主干、冠状动脉回旋支、右冠状动脉远端,以及冠状动脉后降支在右冠状动脉上的起始处。CAA好发于分支处,这提示了剪切应力的病理学作用。
CAA可以呈囊状、梭状或膨胀状(弥漫性扩张且无节段性动脉瘤)。其形状和大小随时间推移而演变。例如,最初表现为膨胀状的动脉瘤可在数周内演变为节段状或珠状。
除CAA外,川崎病还带来非冠脉的其他血管受累、心肌收缩功能下降、瓣膜关闭不全、心包积液等等。
川崎病还可能增加远期的冠脉动脉粥样硬化。但从未发生过CAA的患者发生心血管疾病的风险很可能并不高于一般儿科人群。

6岁儿童的川崎病的冠状动脉造影图,巨大冠状动脉瘤,参考6

磁共振呈像,白色箭头所指冠状动脉瘤,参考1
建议所有的川崎病患者应行:超声心动图、心电图检查。如果超声心动图不能充分显示冠状动脉,则使用超高速计算机断层扫描血管造影(computed tomographic angiography, CTA)、磁共振血管成像(magnetic resonance angiography, MRA)充分呈现冠状动脉树。
通常在出院后第1-2周再次行超声心动图检查,之后再于第4-6周重复检查一次。但如果CAA风险偏高,则应行更高频率的心脏超声检查。
根据CAA的情况选择合理的抗血栓方案。
- 轻度增大冠脉:冠脉Z值为「2.5≤Z值<5」使用低剂量阿司匹林。迟到冠脉大小恢复正常。
- 中度增大冠脉:冠脉Z值「5≤Z值<10」,那么基本需要终生服用阿司匹林。部分可能还需要联合氯吡格雷(比如Z值大于7.5)。(注意,冠脉内径的绝对大小<8mm)
- 重度冠脉增大:冠脉Z值≥10,或者绝对大小≥8mm;除阿司匹林外,应联合低分子肝素或者华法林。除非回到中等大小。
目前还不确定新型直接口服抗凝剂的治疗价值。因此,除了临床研究外,不建议使用它们。
参考资料:
1,美国心脏病协会,《川崎病的诊断,治疗和长期管理》,2017年版
2,陈丽琴,等.静脉注射丙种球蛋白无反应型川崎病的预测指标及评分体系[J] .国际儿科学杂志, 2018,45(8) : 579-583. DOI: 10.3760/cma.j.issn.1673-4408.2018.08.002
3,陈晶晶、刘亚黎,《Kobayashi 评分体系在中国川崎病患儿中的临床应用价值》,华中科技大学学报(医学版),2011年06期
4,FU P P,DU Z D,PAN Y S. Novel predictors of intravenous immunoglobulin resistance in Chinese children with Kawasaki disease[J]. Pediatr Infect Dis J,2013,32( 8) : e319 - e323.
5,朱丹颖, 宋思瑞, 张晗, 等. 川崎病丙种球蛋白无反应评分模型的建立与研究 [J] . 国际儿科学杂志,2018,45( 7 ): 532-536,542. DOI: 10.3760/cma.j.issn.1673-4408.2018.07.010
6,Nelson Textbook of Pediatrics(第21版)
7,Textbook of Pediatric Rheumatology(第7版)