与传统化疗和放疗不同,靶向治疗是通过针对特定的基因或蛋白质起作用,从而阻止肿瘤细胞的生长和扩散。研究人员发现这类特定的物质跟癌细胞有着密切的联系,例如这类物质会帮助肿瘤细胞血管生成。靶向药有时会单独使用,也会和放化疗结合使用。许多靶向药也获批用于一线治疗方案,例如2018年4月获批的奥希替尼(印度版有卡布宁caprane奥希替尼,卢修斯lucius奥希替尼)用于一线治疗EGFR突变非小细胞肺癌。靶向药治疗看似简单,其实也有很多注意事项,如果没有找到针对性的靶点,通常靶向药不起作用。
常见肺癌靶向药克唑替尼,阿法替尼和奥希替尼针对靶点分析
克唑替尼靶点:ALK,ROS1,Cmet扩增
阿法替尼2992靶点:ERBB2,Her2及罕见位点突变
奥希替尼9291靶点:EGFR(18,19,21位点突变),T790M突变
在选择靶向药之前,需要做一个组织基因检测,有对应的靶点突变,再选择需要的靶向治疗。同时需要注意每种靶向药的“强项”和“弱项”,例如,奥希替尼虽然针对EGFR突变,但是作用较弱,当患者首先检测出EGFR突变时,医生往往推荐的易瑞沙,凯美纳等一代靶向药,等到一代耐药以后才会考虑奥希替尼,如果已经耐药并检测出T790M突变,那么首选就是奥希替尼,因为奥希替尼对T790M突变作用强。同样,阿法替尼2992的强项是一些罕见位点的突变,包括ERBB2和Her2。
服用印度卡布宁caprane克唑替尼,阿法替尼和奥希替尼真实患者案例分析
患者案例1
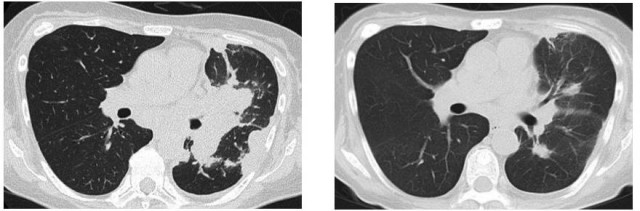
患者62岁,女性,2016年被确诊患有EGFR基因第19外显子缺失的IV期肺腺癌,在进行一段时间的吉非替尼治疗以后,患者病情得到缓解,2017年初,患者出现呼吸困难症状,经过再次活检发现T790M突变,随后开始印度卡布宁caprane奥希替尼治疗,治疗50天后,CT扫描结果发现患者右边结节收缩,右肺中叶和下肺叶斑片状毛玻璃样阴影减少。

患者案例2
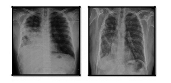
患者59岁,男性,无吸烟史,有过敏性鼻炎和支气管哮喘的病史。 2017年5月,患者做支气管镜引导活检的组织病理检查发现肺腺癌。2个月后,患者出现左侧肺炎,并用多种静脉注射抗生素治疗。同时进行纤维支气管镜检查,显示右上叶脓性分泌物和右中叶开口狭窄。患者症状恶化,支气管活检结果显示EGFR突变阴性。为了进一步诊断,进行荧光原位杂交测试,其显示ROS1突变阳性。患者开始使用印度卡布宁caprane克唑替尼250mg,每日两次治疗。一个月后患者情况好转。 2018年3月,复查结果显示患者总体上胸廓清晰,疗效良好。

患者案例3
患者66岁,男性,2016年12月,一名68岁男性患者通过经皮锁骨上淋巴结活检被诊断患有对侧纵隔淋巴结转移的鳞状肺癌。患者接受了五个周期的紫杉醇/顺铂化疗,和接下来的放疗。一年后,由于肺部肿瘤进展,患者进行活组织检查并确认为鳞状细胞癌,基因检测显示没有EGFR或ALK突变。随后患者接受了三次剂量的PD1纳武单抗治疗(每2周3 mg / kg体重),咳嗽明显减少,唯一副作用是轻度疲劳。然而,在2018年3月,患者开始咳出炭样痰,两周后患者因大量咯血住院(近500mL),并在治疗数日后恢复。由于痰液或呼吸道感染,患者至2018年4月多次返回医院。 2017年5月初,患者表现出发音困难(声音嘶哑)和呼吸困难。 CT显示胸腔积液明显,纵隔淋巴结肿大。然后进行胸腔穿刺。 2018年5月6日开始使用印度卡布宁caprane阿法替尼(每天口服40mg)。开始使用阿法替尼后12天,患者发音困难症状得到缓解,无明显副作用。