
对于大多数人来说,提到炎症性肠病,可能比较陌生。对于生病的人来说,却苦不堪言。
这是一种什么样的疾病呢?
从病名上来看,不就是肠道有炎症吗?
是的,没错。是肠道有炎症,但是这是一种比较特殊的肠道炎症,医学上是如此定义的,炎症性肠病是一种病因尚不完全明确的慢性肠道非特异性肠粘膜炎症的疾病,可能与遗传、感染、自身免疫、精神因素等有关。临床主要表现为慢性腹泻、腹痛、便血、粘液血便、腹胀等,重者可以导致中毒性巨结肠、肠梗阻、肠穿孔、结肠癌变等好发于20-40岁的青中年人。
炎症性肠病,主要有两种类型,也就是克罗恩病和溃疡性结肠炎。如果在早期,还有一种未定型肠炎,也可以理解炎症性肠病的早期肠粘膜炎症改变。
近些年来,该病有逐年上升趋势。诊断不是很容易,治疗常常也很棘手。如果能够获得早期诊断,得到早期治疗,规范随访,可以获得痊愈,避免并发症的发生,提高患者的生活质量。
那么一般是如何发现这个疾病的呢?最常见的检查手段就是结肠镜检查和病理活检。
结肠镜检查,比较直观,可以观察肠粘膜表面的变化,比如粘膜充血水肿、糜烂、出血、溃疡等。操作内镜的医生,会根据自己的专业知识和临床经验,抓取粘膜组织,也就是我们常听说的“活检”,再送病理科检查。
那么病理科检查什么呢?病理科检查是用显微镜再仔细观察粘膜的微结构,来进一步判断粘膜的病理变化,提出诊断意见[1]。

对于炎症性肠病来说,粘膜的病理变化多样,不同患者或同一患者在不同的阶段可以表现为不同的病理形态特征,难以简单固定的标准化诊断。为此医学专家们,尤其是病理学专家们多次探讨,制定了相关共识意见。
炎症性肠病,粘膜活检先要观察粘膜的结构和粘膜固有层炎性细胞是否增多。将肠粘膜分为正常粘膜、炎症模式、毒性/缺血损伤、混合模式等。
1. 正常黏膜:
指的是肠粘膜结构没有改变,粘膜固有层细胞无显著增多的炎性细胞。
2. 炎症模式:
肠黏膜固有层大量炎症细胞浸润,这种情况视为炎症模式。然后根据炎症细胞的类型进行分类。
(1)如果粘膜结构没有改变,但黏膜固有层大量淋巴细胞、浆细胞浸润,还需要仔细观察,是否为显微镜肠炎;如果肠上皮内淋巴细胞增多,可能是淋巴细胞性肠炎;如果是粘膜上皮下胶原增厚,可能是胶原性肠炎。
(2)如果粘膜结构没有改变,但是以中性粒细胞浸润为主,则为活动性炎症。要考虑可能是急性自限性肠炎,也称为急性细菌性肠炎、药物性肠炎及早期IBD。
(3)若黏膜结构改变伴黏膜固有层大量炎症细胞浸润,则为活动性或非活动性慢性肠炎,可见于IBD、慢性感染性肠炎、肠道血管病变、药物性肠炎等多种疾病,诊断还需要结合肠炎的范围、程度、临床症状、化验结果等进行系统分析、鉴别诊断,才能得出正确的诊断。
3. 毒性/缺血黏膜损伤模式:
这种粘膜损伤的模式是指肠粘膜上半部隐窝萎缩、细胞体积变小,呈立方状、胞质黏液减少。可见隐窝细胞凋亡增多、隐窝枯萎(crypt withering/withered crypts)等表现。这种病理改变,多见于缺血性肠病、药物性肠炎、病毒感染等。
4. 炎症-毒性/缺血损伤混合模式:
黏膜隐窝萎缩同时伴固有层大量炎症细胞浸润,可见于药物性肠炎、艰难梭菌感染等。


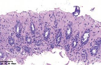
图解:炎症性肠病毒性/缺血黏膜损伤模式病理图(HE × 4 物镜)黏膜上半部隐窝萎缩,细胞变立方形,胞质黏液减少,黏膜固有层炎症细胞少,间质透明变,表面上皮脱落
粘膜活检,只能观察所取的那块微小粘膜的结构改变,并不能完全代替整个肠粘膜的结构改变。对于组织学形态的解读,需要结合结肠镜、CT、彩超、核磁等影像学改变、以及其他阶段粘膜的表现。一般来说,内镜医生会根据内镜下所看到的粘膜变化,分部位分阶段获取结肠粘膜组织,以便尽可能获得比较全面的诊断。
肠道非肿瘤性疾病形态具有重叠性,不同的疾病可有类似的组织学改变。相同的组织学改变可以见于多种疾病。所以临床问题的复杂性也在于此,为了做出一个明确的诊断,不是一蹴而蹴就可以完成的。对于结肠粘膜活检组织的病理诊断应结合临床病史,如年龄、病程、治疗史等进行分析。
有些病例在病变早期,临床和病理特征都不典型,求一次活检难以诊断时,要定期复查,了解其变化趋势,或诊断性治疗后复查,比较前后两次的粘膜变化,可能会正好遇上病变比较明确的时候,特征也比较明显的时候,这个时候,诊断可能就迎刃而解了。

[1] 中国炎症性肠病病理诊断专家指导意见中华炎性肠病杂志2021 年1 月第5 卷第1 期Chin J Inflamm Bowel Dis,January 2021,Vol.5,No.1