腹膜腔的感染/炎症可以是局限性的(脓肿)或弥漫性的(腹膜炎)。
腹腔脓肿的CT表现是多样的,主要取决于它的发展阶段 。在最初阶段,腹腔脓肿可能会表现为一个CT值接近软组织的肿块。随着发展,脓肿发生液化性坏死。成熟脓肿的CT典型表现为强化的壁和接近水样密度的中心。伴随征象包括邻近脂肪层的增厚或消失,邻近结构的位移。包裹性积液内伴气体高度提示为脓肿,但不是特异性的,因为非感染肿瘤坏死或与肠相通的肿块也可能含有空气。
脓肿的CT特征可能与其他病理过程重叠 ,如血肿、胆汁瘤、尿瘤、坏死的肿瘤或假性囊肿。MRI在鉴别血肿与脓肿上优于CT, 但可能会错失脓肿内的少量气体。经皮细针抽吸可以揭示积液性质,而且抽吸脓液是诊断脓肿的重要依据。
腹膜炎 的特征是继发于细菌、肉芽肿或化学原因的腹膜腔内液体广泛聚集。其中细菌性腹膜炎可能是主要的病因,通常由腹膜内脓肿或空腔脏器破裂引起。 CT表现包括腹水伴腹膜和肠系膜增厚。 钆对比剂增强MR图像可显示光滑的腹膜强化。
1、结核 Tuberculosis
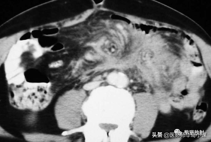
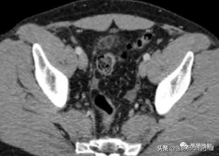
腹膜结核是结核的一种罕见表现,可以发生在干酪样淋巴结破裂后、直接来源于受累的胃肠道,或通过淋巴或血行扩散。
常见的表现 包括游离性或包裹性腹水,肠系膜血管束增粗,腹膜光滑均匀增厚和网膜被小而边界不清的软组织浸润(图)。CT上高CT值的腹水(20~45HU)反映了高蛋白质含量。
淋巴结病变 是腹部结核的常见表现,肠系膜淋巴结常受累。CT上可呈中心低密度伴边缘强化,与组织学上边缘富血管炎性反应围绕中心液化或干酪样坏死相符。这些表现可以提示结核,但不具有特异性,因为低密度的肠系膜淋巴结也可见于惠普尔病、坏死性转移、鸟细胞内分枝杆菌感染,腹腔疾病中的空化肠系膜淋巴结综合征,偶尔也见于淋巴瘤。

腹膜结核。CT显示明显增厚强化的壁层腹膜(黑箭)。注意高密度腹水(光标)
2、包虫病(棘球蚴病)
Hydatid Disease
包虫病主要是感染细粒棘球绦虫所致。腹膜包虫病常常由于肝包虫病外伤或手术破裂而发生。 腹膜出现囊状占位性病变,囊壁薄,常有分隔 。腹膜种植时CT是首选检查方法(图)。边缘环形钙化具有提示诊断意义。

腹膜包虫病。增强CT显示一个大而多分隔的囊性腹膜肿块。囊内见子囊,多发分隔的蜂窝状表现,边缘钙化为其特征性表现。
3、克罗恩病 Crohn’s Disease
肠系膜异常在克罗恩病中很常见。肥厚的肠系膜脂肪组织,称为 肠系膜纤维脂肪增生 ,是克罗恩病的特征性表现。在横断面图像上可见肠系膜脂肪增多,对邻近肠襻产生占位效应,主要位于肠管的系膜侧(图)。临床上疾病处于静止期时仍然存在纤维脂肪增生, 直小血管充血(“梳子征”)则提示炎症处于活动期 。

活动性克罗恩病。小肠造影增强CT的MIP重建显示广泛的回肠克罗恩病(箭)伴肠系膜纤维脂肪增生和节段性充血。
4、肠系膜淋巴结炎
Mesenteric Lymphadenitis
该病临床上易与阑尾炎混淆,具有自限性,与回肠系膜淋巴结的良性炎症有关。CT上可见 右下腹部群集的中等肿大的肠系膜淋巴结 ,而不伴任何明确的炎性过程。淋巴结短径通常不超过10mm。有时,潜在的末端回肠炎也可导致肠系膜淋巴结炎。
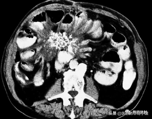
5、急性胰腺炎 Acute Pancreatitis
急性胰腺炎时,外渗的胰酶沿肠系膜解剖路径扩散。 胰外急性积液可以沿横结肠系膜根部蔓延 ,有时,也可沿小肠系膜根部蔓延,以及沿血管扩散至横结肠和小肠的直小血管(图)。

急性胰腺炎扩散。增强CT显示炎症从横结肠系膜向横结肠扩散
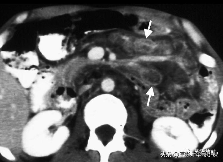
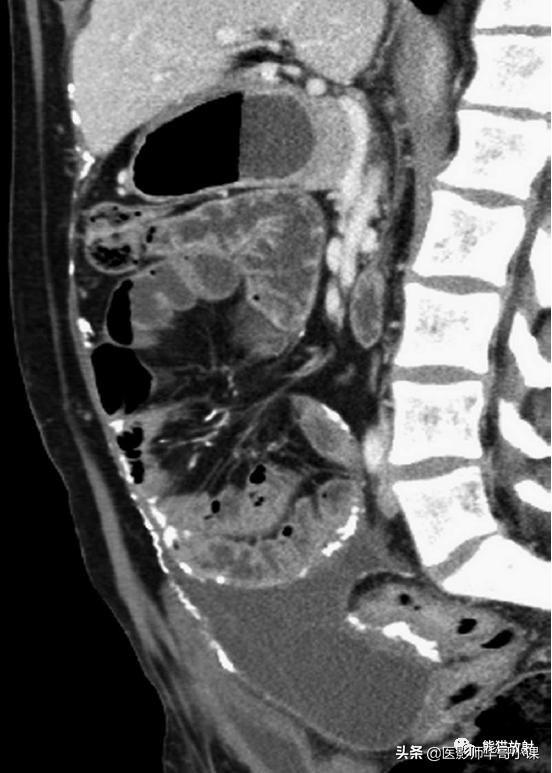
6、惠普尔病 Whipple’s Disease
是一种罕见的由革兰阳性杆菌引起的多系统受累的感染性疾病。CT可见小肠壁弥漫性增厚,肠系膜及腹膜后多发肿大淋巴结, 淋巴结密度较低 ,这是由于脂肪和脂肪酸的沉积造成的(图)。

惠普尔病。小肠系膜内可见无强化的低密度淋巴结(箭)
7、肠系膜脂膜炎-硬化性肠系膜炎
Mesenteric Panniculitis–Sclerosing Mesenteritis
该病是一种罕见的、缓慢进展的慢性炎症性疾病,病因未明,主要累及小肠系膜脂肪组织,也可累及结肠系膜。目前认为肠系膜脂膜炎和硬化性肠系膜炎是同种疾病的两个不同病理亚型。 当病变以炎症和脂肪坏死为主时,称为肠系膜脂膜炎,以纤维化和回缩为主时,则称为硬化性或回缩性肠系膜炎。
目前已提出各种不同潜在的原因,包括先前的腹部手术或创伤、自身免疫过程或恶性肿瘤。该病常 常无临床症状,出现的症状无特异性 ,包括腹痛、腹泻、体重减轻和不明原因的发热。虽然明确诊断需要手术切除活检,但该病的大多数病例是基于影像学表现提示的。
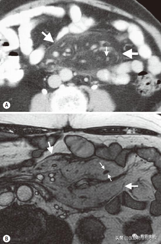
肠系膜脂膜炎的特征性CT表现 为肠系膜根部边界清晰、密度不均的脂肪肿块,包绕肠系膜血管,可推移或不推移邻近肠襻,但不侵犯邻近肠襻,血管周围可见低密度环(图)。T2WI上呈低信号包膜,静脉注射对比剂后可见强化。
回缩性肠系膜炎CT表现 为浸润性软组织密度肿块,周围可见放射状条索影(图),这些特点可能与纤维瘤病或类癌相似。 硬化性肠系膜炎 在T1WI和T2WI图像上均呈低信号,有助于疾病的鉴别。肿块中央坏死区可见钙化(图)。该病有一定的自限性,通常预后较好。

肠系膜脂膜炎。患者腹痛,增强CT(A)和真实稳态进动快速成像(true-FISP) MRI(B) 显示一个边界清晰的脂质肿块(大箭),从小肠系膜根部向左侧腹部延伸,包绕肠系膜血管,无扭转。注意血管周围的晕环(小箭)

纤维性肠系膜炎。不明原因发热患者,增强CT显示边缘不规则纤维脂肪样肠系膜肿块包绕肠系膜血管。从肿块到相邻的肠系膜脂肪可见放射状软组织条索影。

纤维性肠系膜炎。CT表现增强CT显示大而边界模糊、广泛钙化的肠系膜软组织肿块。注意邻近的肠襻回缩及增厚。
8、硬化性腹膜炎
Sclerosing Peritonitis
亦称作腹膜硬化症,是一种罕见的腹膜慢性炎症性疾病, 主要发生于持续非卧床腹膜透析患者, 这类患者的发病率和病死率都很高。其他的少见病因包括腹部结核、复发性腹膜炎、长期使用β受体阻滞药(普萘洛尔/心得宁)、结节病等。患者可以没有症状,或者出现恶心、食欲减退、营养不良、体重减轻和反复发作的小肠梗阻。
CT是硬化性腹膜炎的最佳检查手段。腹膜均匀或不规则结节状增厚、钙化,腹膜明显强化,包裹性积液,束缚状厚壁肠襻是本病的 特征性CT表现 (图)。

硬化性腹膜炎。增强CT显示包裹积液及腹膜广泛钙化
9、非炎性水肿
Non-inflammatory Oedema
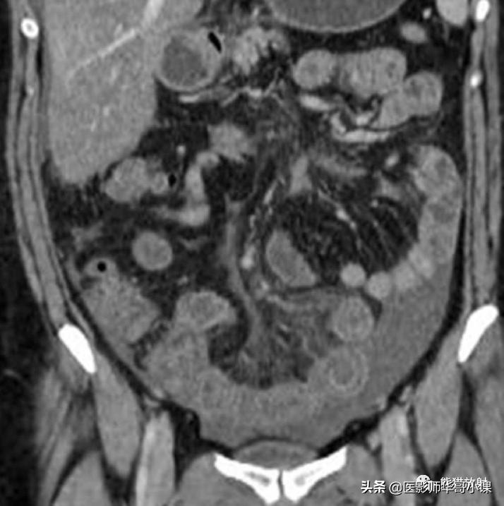
肠系膜水肿定义为整个肠系膜密度弥漫性增高,使通常清晰可辨的通向肠壁的肠系膜血管模糊不清。它可能 继发于各种不同原因,包括低白蛋白血症、肝硬化、肾病综合征、充血性右心衰竭、肠系膜缺血、脉管炎或创伤 。
CT上显示为 肠系膜脂肪密度增高 , MRI上可见异常信号,受累的范围和部位有助于鉴别诊断。在 全身性疾病 中,如肝硬化或心力衰竭,肠系膜水肿表现为由肠系膜根部至肠管表面弥漫性模糊,肠系膜血管充血并显示不清,常伴腹水及继发于全身水肿的皮下、腹膜后脂肪模糊。急性肠系膜缺血缺氧导致广泛的毛细血管渗透性增加,从而出现黏膜下水肿。随着缺血进展,肠系膜小静脉开始淤血水肿,如果缺血没有好转,受累节段的动脉血供将完全停止。 肠系膜缺血引起的水肿 可以是局灶性的,也可以是弥漫性的,这取决于血管病变的部位和范围。CT表现为肠系膜脂肪密度增高,节段性肠系膜血管显示不清(图)。

肠系膜上静脉血栓闭塞。增强CT显示受累回肠系膜局部模糊,由于肠系膜上静脉及回肠属支闭塞导致血管纹理消失。亦可见所涉及的肠管壁增厚。
10、肠脂垂炎
Epiploic Appendagitis
肠脂垂扭转或血栓症可以引起肠脂垂炎。临床表现与急性憩室炎或阑尾炎相似,大多数病例具有自限性。肠脂垂炎的CT表现有助诊断,从而避免不必要的手术。 最常见的CT表现 为直径 小于5cm 的卵圆形脂肪密度病变,与结肠浆膜面毗邻,周围呈炎性改变。肿块周围可见 高密度环形边缘,为炎性的脏层腹膜 (图)。病灶常含有血栓血管造成的高密度中央区。常见邻近结肠壁轻度反应性增厚。

肠脂垂炎。增强CT显示阑尾周围腹膜见一边缘呈高密度的脂肪灶,并周围炎症,位于乙状结肠前方。抗炎治疗后患者的症状减退。
11、网膜梗死
Omental Infarction
节段性网膜梗死是 引起急性腹痛的少见疾病 ,是由于大网膜血管损害所致。原发性网膜扭转,由于先天性或血管的变异,易形成静脉内血栓,多发生于右侧。肥胖尤其被推测为重要的危险因素。继发性网膜梗死与之前的腹部病变有关,包括手术、腹部炎症病灶、肿瘤、疝囊等,梗死灶位于原发病变附近, 典型CT表现 为单个较大的密度不均的网膜肿块, 内含条带状高密度影 ,常位于右下腹(图)。肿块常常 大于5cm ,由此和肠脂垂炎相鉴别。本病恰当的治疗是非手术治疗。

左侧网膜梗死。增强CT显示一个直接约8cm的不均匀脂肪密度灶,位于左侧腹直肌及壁层腹膜深处,并周围炎症。
来源:熊猫放射整理自权威译著:《格-艾放射诊断学》