
- 根据WHO统计,在女性恶性肿瘤中排名第一、二位的是乳腺癌和宫颈癌,而且越来越年轻化的趋势。
- 本次两个案例均因单发骨质破坏病灶引发的骨痛查体,相应原发病灶并无相应临床症状,病灶也不大,若是局部分析,诊断容易受限,难以鉴别。
- PET/CT全身排查的优势在于发现其它部位隐匿病灶,鉴别原发与转移灶,提示临床,得到病理学支持,这样能精准的诊断,从而进行下一步有效的治疗。

病例一
病史摘要
女性 67岁 因背痛查体,糖尿病11年。
肿瘤标记物:CEA 6.4↑,AFP、CA125、CA199正常。
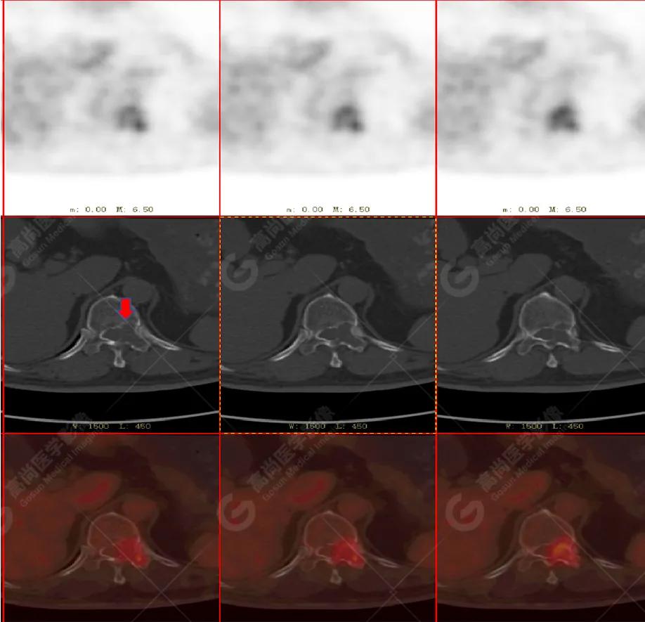
外院MR检查:胸11椎体-附件左份异常信号,增强环状强化,骨原发?转移?感染?
PET/CT
影像图


胸椎溶骨性骨质破坏,FDG环状代谢增高,SUVmax为4.0。


左侧乳腺一软组织结节,FDG代谢增高,SUVmax为2.6。

最终诊断: 左侧乳腺癌伴胸椎单发骨转移。
病例二
病史摘要:
女性 36岁 因左后肋区疼痛1月余查体,无其他不适。
PET/CT
影像图


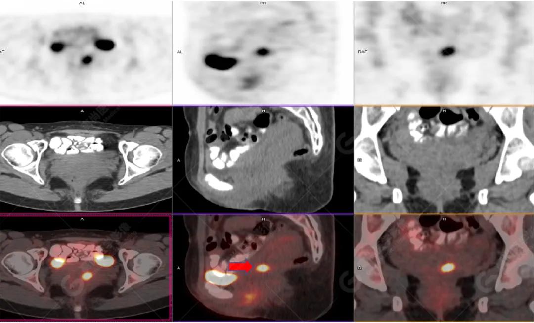
左胸一后肋溶骨性骨质破坏,周围伴软组织形成,FDG代谢增高,SUVmax为10.9。


找到引起骨痛病灶,病因:原发?转移?感染?

宫颈一片状稍低密度影,FDG结节样代谢增高,SUVmax为10.2。

最终诊断: 宫颈癌伴肋骨单发骨转移。
健康科普
乳腺疾病

女性应学会乳房自检,以早期发现肿块和其他异常,因为早期乳腺癌通常不会引起任何症状。
检查方式:彩超、钼靶、磁共振、PET/CT。
常规筛查优选彩超,根据自身情况进行复查或联合其它检查方式帮助鉴别。
宫颈疾病

宫颈癌是非常常见妇科肿瘤之一,人乳头状瘤病毒(HPV)感染是重要的致病因素。
常见症状:不规则阴道出血、阴道分泌物增多,*交性**痛或出血,部分宫颈癌可无任何症状。
常规筛查:HPV检测联合薄层液基制片细胞学检测(TCT)。
阴道镜检查及宫颈活检能帮助明确诊断。
PET/CT检查:了解肿瘤浸润范围、周围组织是否受侵、有无远处转移进行评估。

感谢高尚影像中心。关注我、关注靠谱肿瘤知识科普。有肿瘤诊断相关问题,请留言、点赞。