
来源: 水生动物健康评估 胡惠玲
淡水鱼细菌性败血症简称细菌性败血症,是由细菌感染引起的败血症。该病是我国养鱼史上危害鱼种类最多、流行地区最广、流行季节最长、造成损失最严重的一种急性传染病。本文将对其流行情况、症状,病理特点及防治作简要阐述。
一、 流行情况、症状及病理特点
2020年9月全国水产养殖病害预测预报,病原主要为嗜水气单胞菌,危害鲫、鲢、鳙等多种淡水鱼类,水温在9℃~36℃均流行,该病可通过病鱼,病菌污染饵料以及水源等途径传播,鸟类捕食病鱼也可造成疾病在不同养殖池间传播;一旦暴发流行,3~5天内可造成鱼类大批死亡。从夏花鱼种到成鱼均可感染,以2龄成鱼为主。不仅是精养池塘发病,网箱、网拦、水库养鱼等也都发生。
该病由病原产生毒素,引起鱼体溶血、出血、组织严重坏死,最后导致死亡。疾病早期及急性感染时,病鱼出现上下颌、口腔、鳃盖、眼睛及鱼体两侧轻度充血,此时病鱼食欲减退。严重时部分鱼因眼眶充血而出现突眼(图1),鳞片竖起等。剖检时,全身肌肉因充血而成红色,腹腔内积有黄色或血红色腹水,肝、脾、肾脏肿胀,肠壁充血,肠道内无食物(图2),部分鱼鳃色浅,呈贫血状。

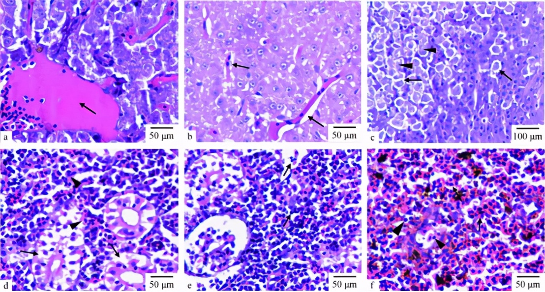
感染嗜水气单胞菌病斑点叉尾鮰的组织病理损伤,病理组织学观察结果显示,肝小叶中央静脉淤血(图3a);肝血窦受压,体积缩小,狄氏间隙明显增宽(图3b);肝细胞肿胀,广泛性颗粒变性、空泡变性,局灶性肝细胞溶解,结构均质化,部分肝小叶出现坏死灶(图3c);肾小管上皮广泛性颗粒与空泡变性,其间发生坏死、脱落,整个肾小管结构坏死(图3d);肾间质淤血、出血,组织增生,大量淋巴细胞浸润(图3e);脾脏广泛性淤血,其间有淋巴细胞浸润(图3f)。

a.肝小叶中央静脉淤血(→);b.狄氏间隙增宽(→);c.肝细胞肿胀(→),广泛颗粒变性、空泡变性(▲);d.肾小管坏死溶解(→),肾间质淤血、出血(▲);e.淋巴细胞浸润(→);f.脾脏广泛性淤血(→),淋巴细胞浸润(▲)
二、预防及治疗
日常疾病预防,加强养殖池日常管理是预防本病的重要方面,合理的放养密度及养殖品种搭配,主要进行清塘消毒,定期使用底改剂(如臭氧底安),及时调理水质、使用微生物制剂(如光合细菌、EM菌、高效芽孢杆菌等),适时施肥,促进浮游生物合理地生长,保证溶氧充足,加强饲养管理。
免疫防控与药物防控,农业农村部虽然已经批准了一种嗜水气单胞菌的灭活疫苗。但是,因为各种原因这种疫苗至今为止应用范围尚不广泛。
在细菌的鉴别上,常规方法为细菌分离培养,嗜水气单胞菌毒素检测试剂盒,可在短时间内快速诊断,方法简便,这给养殖生产带来了极大的便利。
建议中西疗法及外消内服综合治疗,全池泼洒三氯异氰脲酸,内服磺胺药;在控制初期外用固体二氧化氯泼洒全池,内用季铵盐络合碘制剂与饲料混合,鱼饲料一起投放。中药治疗细菌性败血症可防止病鱼发生抗药性,另一方面是为了根治细菌性,全面调理病鱼的身体机能。中医治疗细菌性败血症鱼病主要以内服为主,大黄、侧柏叶、五倍子、大蒜等可用于杀菌、清热解毒,治疗鱼全身感染。
戊二醛为醛类消毒药,可杀灭细菌的繁殖体和芽孢、真菌、病毒。苯扎溴铵为双长链阳离子表面活性剂,季铵阳离子能主动吸引带负电荷的细菌和病毒并覆盖表面,阻碍细菌代谢,与戊二醛合用具有增效作用。出血肠炎宁是专门针对由细菌引起的出血病及肠炎的药物,主要成分是恩诺沙星及增效剂;该产品可以使难溶于水的恩诺沙星成分更多地黏附在饲料表面,从而起到较好的治疗效果。同时配合使用出血宁(亚硫酸氢钠甲萘醌粉),可以促进伤口凝血,达到止血的作用。
三、总结
细菌性败血症发病主要由细菌侵入性致病源所致,在鱼群中发生情况较严重时应该采用西药紧急杀菌控制,再应用中医疗法健脾开胃、补血益气的中药调理治疗,防治鱼儿对西药抗生素产生依赖,同时为鱼儿内部机体提供营养支持,增强免疫力,防止鱼儿再度感染细菌性败血症。
控制养殖密度,定期对养殖池消毒,保持良好水质是减少疾病发生的关键。尤其在夏季,由于水温升高,是细菌性疾病的多发期,更应该注意观察,一旦发现有异常鱼体,应及时确诊病原并用药处理。
参考文献
[1] 余卫忠.20209月全国水产养殖病害预测预报[J].中国水产,2020(09):96-102.
[2] 许政生,梁文浪.鲮鱼细菌性败血症的防治[J].水产养殖,2019,40(03):50-51.
[3] 王宜斌.鱼类细菌性败血症的快速治愈方法[J].渔业致富指南,2015(10):40-41.
[4] 李成伟,王均,刘嘉惠,耿毅.斑点叉尾败血症的病原学与病理组织学观察[J].水产科学,2020,39(06):813-819.
[5] 周宁.鱼类细菌性败血症的防治[J].科学养鱼,2019(04):91.
[6] 肖俊军.罗非鱼细菌性败血症的防控途径探索[J].南方农业,2019,13(12):142-143.
[7] 罗鹏.针对一例白鲢细菌性败血症的治疗初探[J].科学养鱼,2019(07):51-52.
[8] 石磊,杨丽萍,贾文玉.细菌性败血症鱼病治疗体会[J].中兽医学杂志,2019(06):73.
[9] 王艺红.罗非鱼细菌性败血症的诊断及防治措施[J].科学养鱼,2015(08):57+30.
[10] 肖鹤,许朝爱.一例细菌性败血症处理案例分析[J].科学养鱼,2019(09):90.
[11] 英娜,吴艳庆,秦搏,王松刚.鲆鲽类细菌性败血症的病原诊断及药物防控[J].科学养鱼,2019(11):92.