在前面,我们讨论了《中轴型脊柱关节炎》。接下来我们继续讨论脊柱关节炎(spondyloarthritis,SpA)家族谱里的银屑病关节炎(psoriatic arthritis,PsA)。
一,简单了解银屑病
银屑病被俗称牛皮癣,是一个世界范围内常见的皮肤病。世界范围普遍约1%到3%的人罹患银屑病。但是,中国跟日本人一样患病率偏低。1984年的国内流行病学调查证实中国总患病率是0.123%。但国内部分地区研究也证实银屑病的患病率在增加。
银屑病虽然可以10岁内发病,但多数在15岁后发病。一般认为存在两个初发年龄高峰:16岁到30岁、50岁到62岁。
银屑病常诉有瘙痒,但跟特应性皮炎非常突出的瘙痒不一样,银屑病的瘙痒比较轻。银屑病一般累及:头皮、肘、膝;其次再累及指甲、手、足、躯干和臀沟。一般是红色斑疹,少数有无菌性脓疱。

有颜色部位即银屑病常累及的。Nail=指甲
根据皮疹特征,银屑病可分为不同类型。有慢性斑块型、点滴状、红皮型、脓疱型等等。当累及关节时即并存银屑病关节炎。其中,慢性斑块型最为常见,80%---90%以上为慢性斑块型的。
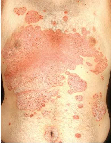
我们先一起来看看经典图片

膝盖皮肤的银屑病

银屑病的经典表现

头皮是银屑病常累及部位

腹部也可以发生

银屑病的三文鱼样的红斑,外带指环圈

银屑病的三文鱼样的红斑,外带指环圈
结合上述图片,银屑病皮肤形态学特征如下:
- 1,皮疹的边界是清晰的。
- 2,粉红色、红色的斑疹;皮疹的表皮增厚。
- 3,皮肤鳞屑覆盖在斑疹上;鳞屑粘附较牢固,鳞屑刮去时如剥蜡般。去除后可见针点样出血点,习惯叫Auspitz现象。

银屑病的Auspitz现象
二,历史中的银屑病关节炎
最早明确描述银屑病关节炎要追溯到1818年的Alibert。但使用psoriasis arthritique(银屑病关节炎)一词是1860年的Bazin。Bourdillon在1888年详细描述了银屑病关节炎(PsA)。1950年代类风湿因子检测被广泛运用。而Wright在1959年明确指出PsA患者的类风湿因子往往是阴性的。并指出PsA有远端指间关节受累、骶髂关节炎、关节受累不对称、关节毁损倾向明显等经典特征。于是,在1964年,美国风湿病学会终于认可了PsA作为一个独立的疾病。在1973年,Wright和他的同事Moll建立了PsA的第一个分类标准。

注意掌指关节、近端指间关节没问题,仅仅远端指间关节受累

PsA病人的远端指间关节受累
三,银屑病关节炎的流行病学
PsA的发病无性别差异,西方国家研究证实一般人群发病率约为每年6例/10万人;而患病率约为(1-2)例/1000人。中国并无切实的发病率、患病率数据。考虑到中国银屑病发病率偏低的现实,有理由认为中国要少见得多。实际上,中国类风湿关节炎患病率也相对欧美国家偏低。(参考《解读「2018中国类风湿关节炎诊疗指南」之:流行与标准》)。
银屑病患者中PsA的估计患病率为4%-42%。为什么有很大差异?这很可能是因为PsA分类标准差异和族群差异。
尽管叫银屑病关节炎(PsA),但的确部分病人先有关节炎而后有银屑病。一般估计70%的PsA病人先有皮肤改变。而20%的PsA病人先有关节炎;10%的病人关节炎和皮肤表现同时出现。这些历史资料多数是回顾性资料。考虑到分类标准的演化,回顾性研究的偏倚倾向;还需更可靠的前瞻性研究来考察。
一项前瞻性研究共计纳入1018例“早期滑膜炎”患者,129例(13%)患者被诊断为PsA。这其中少数患者(6%)在就诊时没有银屑病。虽然还需更广泛人群的前瞻性研究来验证。但初步怀疑既往认为先有关节炎而后皮肤病的比率被夸大。可能是由于银屑病皮肤改变不突出而不被病人注意。

易漏诊臀沟处皮肤银屑病,往往没鳞屑
(未完待续)
参考资料:
1,《Rook’s Textbook of Dermatology》(第9版)
2,《Dermatology》(第4版,博洛格尼等著)
3,《Habif Clinical Dermatology 》(第6版本)
4,《Fitzpatrick’s Color Atlas and Synopsis of Clinical Dermatology》(第7版)
5,《Rheumatology》(第7版)
6,《Kelley and Firestein’s Textbook of Rheumatology》(第10版)