伸不直的膝盖
孙XX,女,53岁,云南曲靖人,因“反复四肢多关节对称性肿痛20余年加重1周”于2019年2月在滇池风湿病科住院治疗,患者自发病后辗转求医于曲靖、山东、昆明等多家医院,使用过激素、多种抗风湿病药、生物制剂、中成药等;因未规律系统用药,延误病情,逐渐开始出现全身多个关节对称性肿痛、活动障碍、畸形,尤其以右膝肿痛、屈伸活动明显受限严重,同时还因为不规律吃药出现胃溃疡、白细胞减少。

他们这样治疗
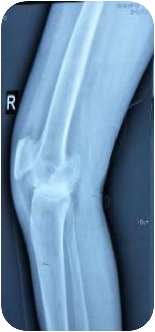
患者在住院期间,风湿病科主管医师普勇斌一直精心诊治、丁珊医师行针灸治疗,同时护士予中药封包、中药热奄包等治疗,但患者症状缓解不明显,查看患者右膝关节正侧位片发现:患者右膝关节骨质破坏严重,关节间隙明显变窄模糊,追问患者,患者诉3年前右膝就伸不直了,多家医院都考虑关节畸形严重,建议患者行膝关节人工关节置换,但患者出于经济情况等多方面考量坚持保守治疗,后由丁珊医师详细讲解了针刀治疗的风险及术后注意事项,患者签署了操作同意书,予患者行右膝小针刀松解术。

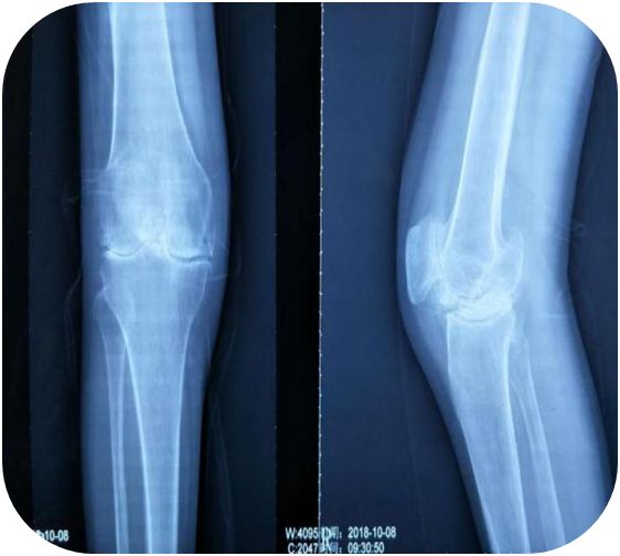
患者出院后也一直门诊坚持治疗,每月2次,期间行关节腔注射玻璃酸钠2次润滑关节,至2019年5月予患者复查右膝关节X片,患者膝关节间隙较前明显清晰,患者膝关节疼痛明显减轻,基本无疼痛,行走时感少许酸软无力,膝关节活动度较前明显增大,从原先腘窝下距离床面三拳明显减少到一拳,后患者陆续又行双肩、双肘关节小针刀松解术,疼痛也得到明显改善。
患者治疗前后膝关节X线片对比


