一、直肠检查法:
主要是通过触摸子宫角和子宫内胚泡的大小来判断妊娠时间
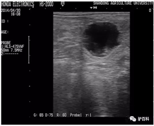
二、B超检查法和妊娠情况确定
B超检查法
B超检查主要是通过B超图像查看子宫内是否有胚泡来断定妊娠情况。妊娠后12天用B超即可看到子宫内胚泡的情况,因此B超检查适合做早期孕检。
妊娠情况判定
驴妊娠后,在子宫角内会有胚泡的出现,胚泡中含有大量的液体,因此屏幕上就会出现一个黑色的图像,此即为胚泡。

三、妊娠情况判定
1、宫角收缩呈圆柱形,角壁肥厚,深部略有硬化感,轻捏子宫角尖端,两手指靠不紧,感觉中间隔有肌肉组织,表明怀孕14—16天
2、宫角硬化程度增加,轻捏尖端不扁,里硬外敦,中间似有弹性的硬芯,在子宫角基部,向下突出的胚胞感觉明显,如鸽蛋大;空角多弯曲,孕角多平直;空角多比孕角长;两子宫角交界处出现凹沟,表明怀孕16—18天
3、宫角孕角质地坚硬如猪尾巴,空角弯曲增大。子宫底的凹沟明显,胚泡如乒乓球大。此时,卵巢的排卵侧,可摸到黄体,表明怀孕20—25天

4、左右子宫角无变化,摸到的胚泡继续增大,形如拳头大小,卵巢黄体明显,表明怀孕26—40天
5、胚泡继续增大,孕角因为重量加大而下沉,卵巢韧带开始紧张,空角多背负于胚泡上面,胚泡部子宫壁变薄,轻轻触动有波动感,表明怀孕40—55天

6、胚泡很快增大,大如婴儿头,妊娠侧子宫角下沉,卵巢韧带紧张,两卵巢均下沉,彼此稍微靠近,胚泡处子宫壁薄而软,内有大量胎水,表明怀孕60—70天
7、两子宫角被胚胎占据,摸不到子宫角和胚泡整体,卵巢更向腹腔前方移位,卵巢韧带更加紧张,两卵巢更加靠近,表明妊娠80—90天。直检时,要注意区分胚泡和膀胱,前者表面布满血管,呈球网状,后者表面光滑,并充满尿液。如果区分不清楚时,可等待片刻或牵遇运动后,使驴排尿后再做检查
8、可摸到子宫中动脉的特异搏动。该动脉位于直肠背侧,术者手伸人直肠后,手拿向上用手指贴于骨盆顶部的荐骨,从后向前先找到腹主动脉末端的两条分支,即髂内动脉;再沿正中的腹主动脉向前摸到第二个分支为髂外动脉;在髂外动脉的基部可以摸到由该处分出来走向子宫阔韧带的子宫中动脉,子宫中动脉的特异搏动如水管喷水状,表明母驴已妊娠4个月以上
9、可摸到胎儿活动,表明怀孕5个月以上
