今天看到的一篇悟空问答的提问,可能代表了很多人的心声:

老人因为便秘住院,检查费上千,觉得有些过分了!根本没必要!是这样吗?
我们不讲空泛的道理,看几个小故事:
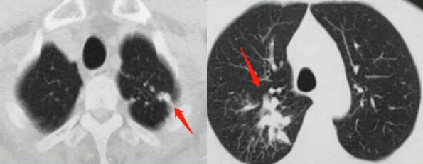
1.救命的肺结核
59岁男性,间断咳嗽,咳痰两年:

CT发现双上肺多发病灶,考虑肺结核,建议做个增强扫描排除肿瘤,支气管镜检查也有必要。
病人家里比较困难,不愿意做增强CT,在呼吸科医生的强烈要求下,同意做个支气管镜。
支气管镜既可以取得病理学证据,还能抽吸痰栓缓解症状。
结果,同时查到结核杆菌和鳞癌细胞。
这是一位肺结核患者,同时合并肺鳞癌。
已经手术好多年了,还活着!
这个支气管镜检查,是多余检查吗?不是!
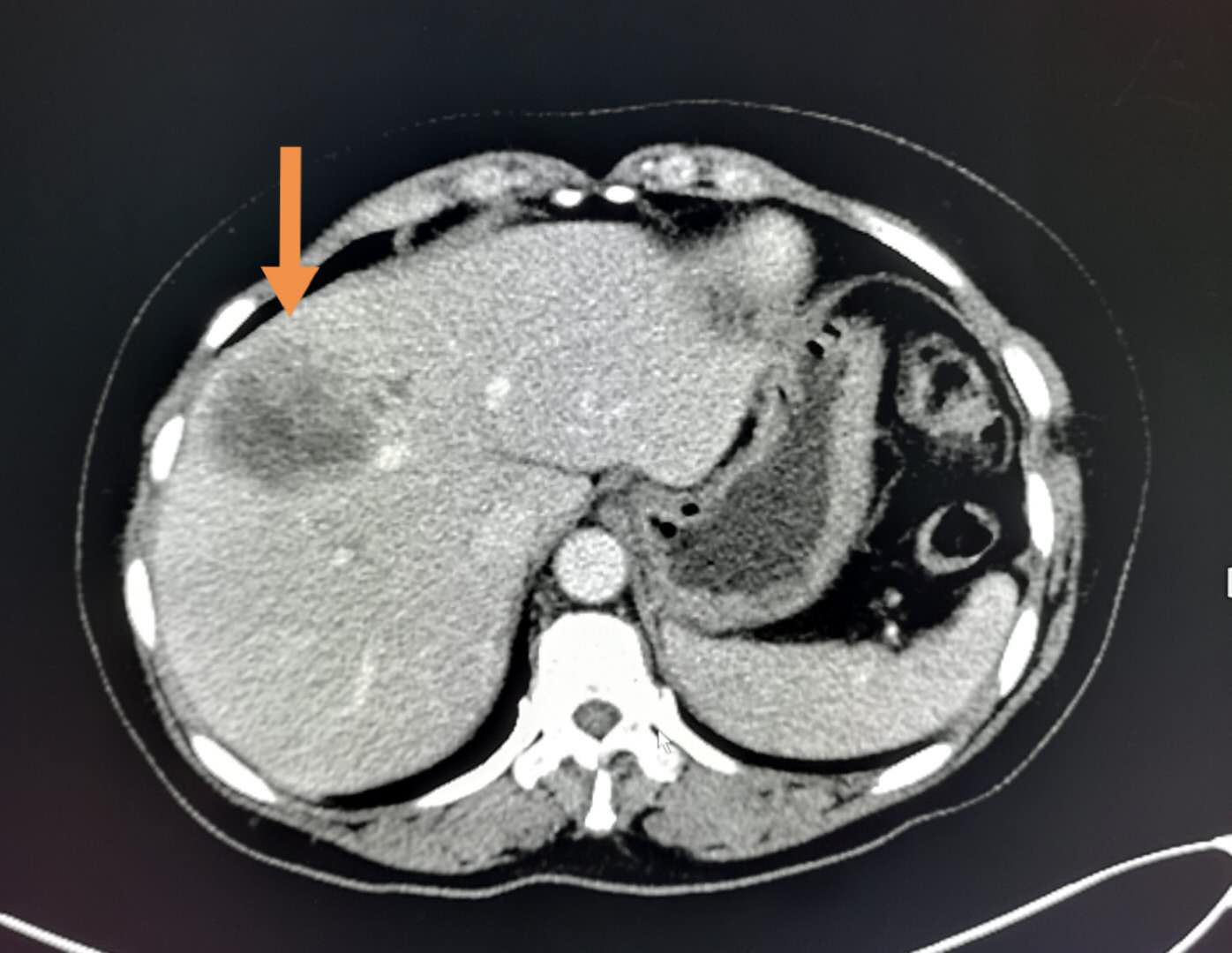
2.救命的脑梗死
一位60岁女士,2年前发作过一次脑梗死,近期复发,住院。
肿瘤标志物检测发现糖类抗原CA199爆表了,1000KU/L,这是仪器能检测出的最高浓度,说明她的真实数值超过了1000上限。
这绝对不正常,要查原因,最常见的就是胰腺和胆管肿瘤。

增强CT查出胆管癌,接近4厘米,无转移,有手术机会。
脑梗死病人,检测肿瘤标志物,是多余检查吗?不是!
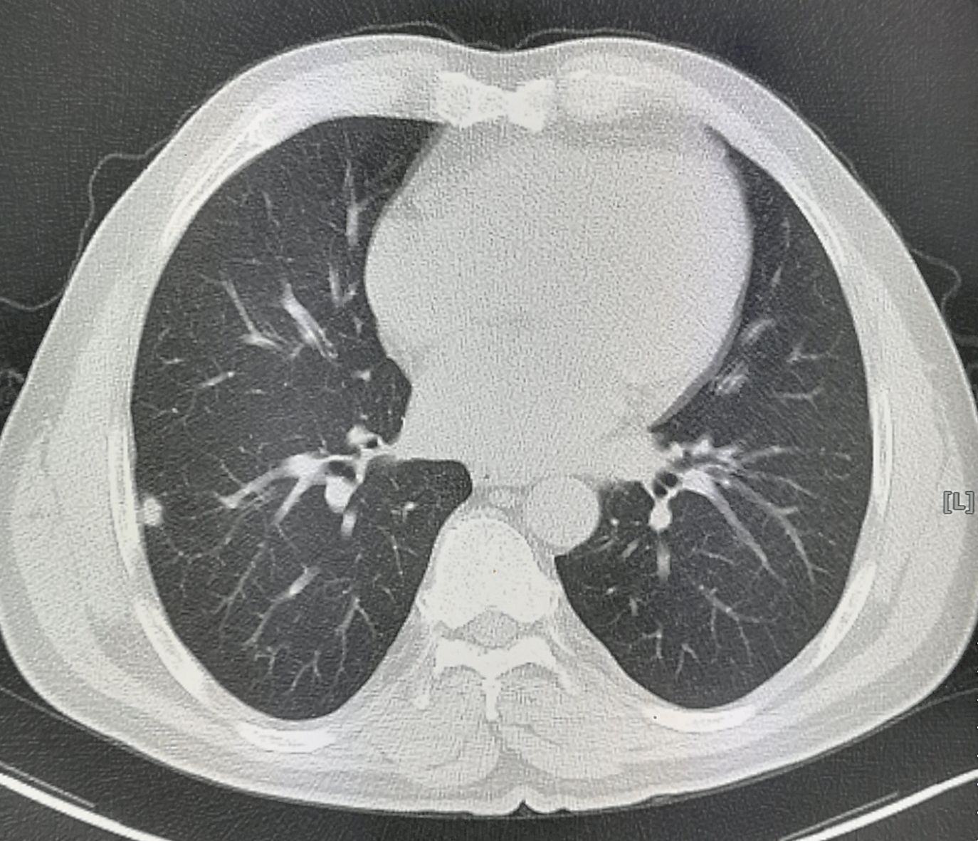
3.本来可以救命的车祸
一位55岁男子,车祸发现右肺结节,9毫米:

形态不规则的实性结节,>8毫米,属于高危结节,需要进一步检查。
一般要增强CT扫描、经皮肺穿刺(结节靠近肺边缘,穿刺成功率很大),如果是恶性的,要及时手术。
在《豪大夫讲肺结节》系列文章中,我们多次讲过一个观点,靠近胸膜的实性结节,要重视!
病人拒绝了!
直到5年后,因为胸痛又来到了医院:

回顾性分析,他当初的增强CT和肺穿刺,该不该做呢?
可惜5年时间,已经错过了后悔的机会。
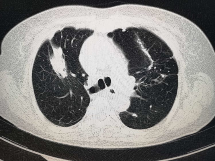
4.被X光片错过的早期肺癌
前阵子有位网友留言,她的父亲有多年尘肺,每年X光片检查,结果还好,后来却突然查出肺癌晚期。是医生漏诊吗?不是的。
我们也遇到过这种情况。
一位60多岁的老妇人,年轻时得过肺结核,每年胸部X光片体检,都是陈旧性肺结核表现:

有一次因为右边肩膀疼来做肺部CT,结果查出肺癌,晚期了:

右上肺这个肿块,围在多发的陈旧性结核灶之间,悄悄长大了!并且发生了纵隔、锁骨上多发淋巴结转移……
如果她早一点选用胸部CT检查,结局会不会不同呢?肯定会!
有人看病喜欢找老大夫,经验多,有仁心,能用便宜的检查就不用贵的。
大多数情况下也都是如此,但难保万一的意外。
我们买东西都知道,一分钱一分货!贵有贵的道理!豪大夫去药店买药,同种药品会选择贵的,药店工作人员有时会开玩笑问道:都喜欢买便宜的,吃的时间长,您怎么喜欢买贵的?
贵有贵的道理吧,要么质量更过关,要么有效成分含量足,要么杂质少不良反应轻,会买的不如会卖的。当然这个观点不靠谱,大家不要较真。
后面这个老妇人虽然不能手术了,但肺癌的治疗方法,最近几年进步很快,包括靶向治疗、射频消融治疗、放射性粒子植入、放化疗为主的综合治疗等,长期带瘤生存的病人越来越多了。
她一年半后来复查的时候,肿瘤缩小了很多:

最后回答一个读者疑问:肺结核会引起肺癌吗?
这个问题至今存在争议,有人认为二者无关,甚至结核会抑制肺癌;有人认为二者有关,大家各有依据。下面罗列出两派观点,大家仁者见仁智者见智。
认为肺结核与肺癌有关的理论:
(1)陈旧性肺结核钙化的淋巴结,能刺激邻近支气管而导致恶变;
(2)结核性瘢痕阻碍淋巴回流,结核病灶的纤维化肺结构改变导致致癌物质局部浓度升高;
(3)支气管结核导致黏膜鳞状上皮化生,形成原位癌;
(4)有学者研究认为,抗结核药物有致癌作用,引起腺鳞混合癌多见(但缺乏足够的实验证据支持)。
另一派观点,认为肺结核与肺癌无关:
(1)在瘢痕癌病理检查中,分析瘢痕形成多数是由于矽尘或炭末沉着,结核钙化灶极少;
(2)结核与肺癌衔接处血管交通支被结核病变破坏,不利于癌的发生、发展及转移;
(3)观察肺癌手术后结核病的疗效比单纯肺结核为佳;
(4)根据病理解剖发现同一肺叶内肺结核与肺癌并存时,两者病灶相距较远,结核肉芽组织细胞可吞噬肿瘤细胞;
(5)结核病变可以阻止癌细胞的早期淋巴结转移,并能推迟癌细胞向胸膜侵犯。
以上观点都还需要进一步深入研究,需要更多强有力的证据支持。
这里是影像科豪大夫,分享医院小故事,谢谢阅读!
#滚蛋吧肿瘤君# #清风计划#
本文参考文章:
肺结核合并肺癌病例浅析,段慧萍,胸科之窗,2017.7.12