

摔倒,对于老年人来说,不亚于心脏病、脑梗发作,重则卧床不起。 据相关调查,老年人股骨颈骨折后死亡率高达50%,被称为“人生中最后一次骨折”。

股骨颈骨折是骨科常见骨折,占全身骨折约3.58%,约占股骨近端骨折的50%。是指由股骨头下至股骨颈基底部之间的骨折。据资料统计,年轻人群中股骨颈骨折发生率较低,多为高*力暴**伤害所致,患者受伤当时能量较大,而相比之下,股骨颈骨折在老年骨质疏松症患者中最常见,病因为跌倒,如坠床等。
一、最容易出现骨坏死并发症的骨折类型
受股骨血供解剖特点的影响,破损的骨折端极易损伤股骨头的血液供应,引发骨折不愈合、股骨头缺血坏死。股骨颈骨折的治疗方案应根据患者年龄、活动情况、合并症等进行个体化治疗。

二、骨折后的治疗方案
1.保守治疗:无移位型骨折及移位型骨折中因为身体一般状况很差难以手术治疗患者,可考虑功能性治疗,此类患者治疗过程中治疗基础疾病的同时需注意压疮、坠积性肺炎、 下肢深静脉血栓栓塞的发生。
2.手术治疗:对于65岁以下的患者或者骨骼质量条件较好的大于75岁的老年患者,尽量保留其股骨头、避免股骨头坏死,并达到骨折愈合,首选闭合或切开复位内固定治疗。解剖复位和有效固定对获得良好的预后及功能有重要意义。任何年龄的患者,如对功能要求低,有严重慢性疾病或严重骨质疏松,依从性差,预期寿命有限,为了避免或减少因长时间卧床可能带来的并发症,尽早恢复患者负重行走功能,首选半髋或者全髋关节置换治疗。
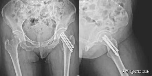
三、治疗方式的选择
1.闭合复位空心钉内固定。它具有创伤较小、手术耗时短、对股骨头血供破坏较小、术后明显缓解疼痛等。
优点:微创且费用低的手术方法。
缺点:恢复期长,卧床,仍有股骨头坏死可能,若发生股骨头坏死则需行髋关节置换术。

2.髋关节置换术。对于老年(年龄大于65岁)不稳定型股骨颈骨折、无法接受长期卧床休养、对再次手术耐受性较差或极高龄患者,推荐关节置换手术。
优点:早期恢复活动回归正常生活。
缺点:手术创伤相对较大,术后有人工关节脱位等风险。
对预期寿命长、术后功能要求高的推荐全髋关节置换术。对于活动要求低、身体情况欠佳的老年患者,肢体瘫痪者推荐人工股骨头置换术治疗。

四、应该如何防止骨折发生呢?
1.保持营养的充足和均衡,营养充足,加强钙质吸收,及时抗骨质疏松治疗,从而避免轻微外伤造成的股骨颈骨折。
2.坚持日常的体育锻炼,尤其是室外的体育锻炼,可以促进钙质的代谢,有利于骨质矿化,增强骨质。同时通过锻炼也可以强身健体,人的反应性和协调性都能得到锻炼,避免在意外中造成股骨颈骨折。
3.发生股骨颈骨折的老年患者,都是由于在日常生活过程中摔倒造成的,因此老年患者可以通过避免摔倒来达到预防发生股骨颈骨折的情况,在日常生活当中可以通过以下几个方面来避免摔跤的发生:
对于患有慢性疾病的老年患者,如反应迟钝、行动不便的老年人,在其行动过程中就需要家属跟随保护,以避免其发生摔倒的情况;
要根据患者的年龄和身体情况对其进行正确科学的指导,以避免部分老年患者怀有不服老的心态,避免日常生活和行动的过程中以逞强的行为;
家属对老人日常生活习惯的加强预防,如需要在日常生活当中养成站稳、慢走,在弯腰和下蹲时动作放缓慢,同时不要去拿过重的物品,也不要站在高处。如:室外出现雨雪天气时,尽量避免外出,如确实需要外出时,也要做好自身的防护工作,可以更换防滑类的鞋子,尽量躲避湿滑路段。
如果发生摔倒,也不用紧张害怕,跌倒后出现“髋部疼痛,不能站立和走路,受伤肢体缩短”等都应考虑股骨颈骨折的可能,摔倒后不要急于起身,先检查一下身体各处关节,有没有剧痛的情况。建议受伤后立即就诊,避免误诊或者延误治疗。
【本期专家】

宋强,沈阳市骨科医院研究所创伤科副主任医师。在四肢多发骨折、复杂骨折、脊柱疾病以及骨科常见病多发病的诊治方面有丰富的临床经验。
