磁控胶囊胃镜指南解读 (磁控胶囊胃镜胃病患者福音)

你每天几点睡?你有多久没有好好睡一觉了?《2022中国睡眠研究报告》显示,当下我国有超过3亿人存在睡眠障碍,其中超过3/4的人晚上11点后入睡,近1/3的人熬到凌晨1点后才能入睡。

你是这3亿人中的一员吗?

磁控胶囊胃镜检测信号,磁控胶囊胃镜看得清楚吗

熬夜,各有各的理由

熬最晚的夜,睡最少的觉。熬最深的夜,敷最贵的面膜”。熬夜,早已成为现代人的常态。

磁控胶囊胃镜检测信号,磁控胶囊胃镜看得清楚吗

有些人是不敢睡。职场内卷堪比荒野求生,不止是狼性文化的“996”、末位淘汰的裁员,35岁的年龄焦虑、名校光环下的学历“厮杀”无不令人窒息。熬夜“精进”、熬夜“进阶”早已成为职场人必备的生存法则。

磁控胶囊胃镜检测信号,磁控胶囊胃镜看得清楚吗

还有一些人则是不想睡。明明很累,却还想刷会儿手机,撩撩错过的消息,翻翻朋友圈动态,玩两把新出的游戏,追几集最新的网剧 …… 为了弥补白天那个“不自由”的自己,便选择“报复性熬夜”。

磁控胶囊胃镜检测信号,磁控胶囊胃镜看得清楚吗

很奇怪,不管是被迫的,还是报复性的,熬夜明明又困又累又难受,却有令人上瘾的魔力。日子久了,不熬夜,已成为我们最难的自律。

胃:为什么受伤的总是我?

如果熬夜是心理上对自己一次次的妥协,或许,只有来自身体的“警报”,才能让熬夜的你有所警觉。

磁控胶囊胃镜检测信号,磁控胶囊胃镜看得清楚吗

我们的身体像一台精密的机器,遵循日出而作日落而息的规律。长时间的超负荷运转,各项机能都会下降,肥胖、抑郁症、糖尿病、高血压等健康问题会接踵而至。

磁控胶囊胃镜检测信号,磁控胶囊胃镜看得清楚吗

不止于此,熬夜对胃的伤害也不容小觑。上海市第一人民医院消化科董育玮医生称:“熬夜是一个非常不好的生活习惯,长期熬夜会导致机体免疫力下降,从而引起多种疾病的发生。熬夜的时候往往可能会吃一些比较辛辣、刺激、油腻的食物当成夜宵,肯定会增加我们胃肠道的负担,从而导致胃肠道不能得到非常充分的休息,黏膜的损伤修复也往往得不到充分的顺利的进行,所以长期熬夜也有可能会对我们的胃病造成一定的影响,建议我们的患者朋友们,尽量避免熬夜。如果实在因为工作等情况,需要熬夜的时候,也尽量希望您能选择一些清淡、易消化的食物,尽量不要去吃一些辛辣、刺激、油腻的食物,才能更好地保护我们的胃肠道。”

美国一项研究表明:经常熬夜的人,胃病的发病率是一般人的3到4倍!究其原因,是因为经常熬夜的人胃里缺乏TFF蛋白。

TFF 蛋白是胃分泌的一种冻胶状的黏液物质,通过在胃黏膜上形成黏液膜来减少坚硬物质损伤胃黏膜的同时,它的弱碱性特性也能阻止胃酸对胃黏膜的腐蚀。

TFF 蛋白的分泌可不是毫无规律的,而是随着人体生物钟的节奏自动调整。研究数据显示,夜间熟睡时分泌的TFF蛋白,相当于白天一天分泌的20~30倍。

熬夜会减少TFF蛋白的分泌,削弱对胃黏膜的保护作用,久而久之,胃炎、胃溃疡甚至胃癌等疾病自然就找上门了。

下面是磁控胶囊胃镜清晰地拍摄到“熬夜胃”受伤的模样。看了这些图片,你还会再熬夜吗?

磁控胶囊胃镜检测信号,磁控胶囊胃镜看得清楚吗

磁控胶囊胃镜,不用插管,即可轻松做胃镜。

磁控胶囊胃镜检测信号,磁控胶囊胃镜看得清楚吗

病例1:反流性食管炎

磁控胶囊胃镜检测信号,磁控胶囊胃镜看得清楚吗

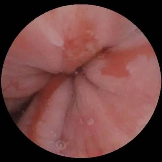
病例2:胃糜烂

磁控胶囊胃镜检测信号,磁控胶囊胃镜看得清楚吗

病例3:胃溃疡

磁控胶囊胃镜检测信号,磁控胶囊胃镜看得清楚吗

病例4:胃癌

好好睡觉,是对生活的尊重

人生就是一场马拉松,到头来,拼的是健康。健康是1,事业、金钱、地位、家庭通通都是后面的0。没了1,有再多的0又有什么意义呢?

常言道:“药补不如食补,食补不如睡补。” 好好睡觉,是最没有成本却最有效果的养生法则。

磁控胶囊胃镜检测信号,磁控胶囊胃镜看得清楚吗

把睡眠还给夜晚,放下手机和千头万绪,静静地读一会儿枕边书,11点之前就入睡吧。

毕竟,睡好了下半夜,才能过好下半生。