hpp活动假牙和钛合金假牙哪个好 (100元假牙和300元假牙的区别)

微笑是两个人之间最短的距离。

——维克托·伯盖

现在最便宜的假牙多少钱一颗,目前国内最好的假牙是多少钱

没错,微笑,是我们最宝贵、最公平的财富。当你微笑时,你会发现整个世界都亮了。

在本该青春作伴,意气风发走天涯的年纪,却遇到缺牙。俗话说:“牙美遮百丑,缺牙毁所有”,在最好的年华遇见最丑的自己,是一种怎样的心情。

现在最便宜的假牙多少钱一颗,目前国内最好的假牙是多少钱

今天小编就来聊聊关于假牙的事情,为大家解释一下缺牙后,到底该用哪种修复技术最佳?什么人群适用什么类型的假牙?让缺牙的你重拾自信微笑!

现在最便宜的假牙多少钱一颗,目前国内最好的假牙是多少钱

固定类

(1)、钴铬合金烤瓷牙:

当很多患者无法承受贵金属烤瓷牙昂贵的费用,而对普通镍铬合金烤瓷的金属材质持有疑问时,实用又经济的钴铬合金将是最理性的选择;钴铬合金最早用于制作人工关节,具有良好的生物相容性,现已广泛应用到口腔修复领域,由于其不含有对人体有害的镍元素与铍元素,安全可靠且合理的价格已成为广大患者理想选择。

现在最便宜的假牙多少钱一颗,目前国内最好的假牙是多少钱

(2)、纯钛烤瓷牙:

优点:

1,具有极低的热传导对活髓牙无刺激。

2,钛金属比重仅为金德1/4,钴铬金属的1/2,强度是金属之最。

3,钛对X线呈半阻射,是其它金属材料不具有的。

4,钛金属具有极好的生物相容性及耐腐蚀性,不刺激牙龈萎缩,不变色,不红肿,安全可靠。

缺点:纯钛金属特性导致与瓷层结合不佳,咀嚼力过大时易崩瓷。

现在最便宜的假牙多少钱一颗,目前国内最好的假牙是多少钱

(3)、义获嘉铸瓷3代(全瓷)

IPS Empress 全瓷系统经过15年的临床验证,二千五百万个修复体的戴入证明了它具有长期的真实自然效果,优异的生物相容性,理想的光线通透性,完美的美容效果,目前临床上拥有大量成功美容修复病例。但其硬度不如氧化锆全瓷冠高,不适合后牙固定桥义齿设计。

现在最便宜的假牙多少钱一颗,目前国内最好的假牙是多少钱

(4)、贵金属烤瓷牙

金铂合金烤瓷冠,金沉积烤瓷冠,银钯合金烤瓷冠合称为贵金属烤瓷冠,内冠分别为金铂合金、99.99%的电镀纯金,银钯金合金,它们均属于惰性金属生物相容性优异、金瓷结合力超强、颜色柔和无黑影折射不影响磁共振等仪器检查。成为代替纯钛和钛合金烤瓷的最佳选择。

现在最便宜的假牙多少钱一颗,目前国内最好的假牙是多少钱

(5)、计算机氧化锆/全锆牙

世界上唯一一款计算机辅助设计全自动机械切削氧化锆全瓷牙,专门设计用于前颚的前臼齿具有无与伦比的透光性与强度,可以实现最佳的美学效果,可使用传统粘合方法;缺点是目前费用较高。

现在最便宜的假牙多少钱一颗,目前国内最好的假牙是多少钱

(6)全瓷贴面:

如果牙齿没有较大的缺损,而只是色泽不佳,建议您采用这种口腔美容最微创的修复方式,可达到近乎完美的美学效果。

全瓷贴面是通过将牙齿唇颊侧表面均匀地磨除一层(约0.3-0.5mm)后用牙科专用瓷性材料重塑牙齿外形和色泽,因为可以精确控制牙齿颜色指标,因此美容效果很好,耐磨性与牙齿相近。

现在最便宜的假牙多少钱一颗,目前国内最好的假牙是多少钱

优点:牙齿磨除量只相当于常规烤瓷修复的1/3左右,而且不破坏邻接点与舌侧牙齿硬组织,口感不发生变化。透光性,美容效果显著。

(7)、种植牙

种植牙就是将高科技人工合成材料制成的种植体一端植入缺失区的牙槽骨内,另一端暴露于口腔,在暴露端制作形态逼真的假牙;是由种植体和种植体支持的上部结构组成的;通俗地讲,种植牙就是通过牙槽外科手术将人工材料制成的种植体植入缺牙区牙槽骨中,作为人工牙根,然后以此为基础修复缺失牙。种植牙的手术很小并且安全,无需住院,手术完全无痛,术后即可进食。

现在最便宜的假牙多少钱一颗,目前国内最好的假牙是多少钱

活动类

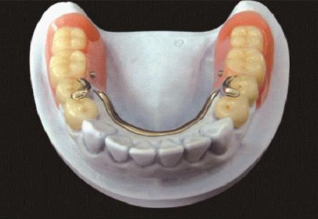
(1)可摘局部义齿

缺牙比较多,可以选择这种铸造钢托的可摘活动义齿,价格低廉,容易清洗。

现在最便宜的假牙多少钱一颗,目前国内最好的假牙是多少钱

现在最便宜的假牙多少钱一颗,目前国内最好的假牙是多少钱

(2)、隐形义齿

适合于前牙区过渡性义齿修复,无卡环设计美观固位好,因对牙龈有压迫刺激不宜长期使用。

现在最便宜的假牙多少钱一颗,目前国内最好的假牙是多少钱

(3)、全口义齿

老年人牙齿全部缺失,就要考虑镶全口了,最常见的就是这种,当然也可以选择种植,种植效果好,费用也较高。

现在最便宜的假牙多少钱一颗,目前国内最好的假牙是多少钱

固定+活动类

传统的活动假牙不时都会看到用于义齿固位的金属卡环,非常影响美观。在临床工作中,患者常会向医生提出这样的要求:“医生,您能不能把假牙上的金属挂钩去掉,我不希望露出金属”。要在以前,患者只能得到否定的答复;现代的牙科工艺对于这些患者朋友的美观梦,完全可以实现。

(1)、套筒冠附着体(双套冠):

利用套筒冠的内外双重冠结构,把假牙与基牙连接起来的修复形式。套筒冠由内冠和外冠组成,内冠粘固在基牙上,外冠与假牙其他组成部分连接成整体,义齿通过内冠与外冠之间的摩擦作用产生固位力,使义齿取得良好的固位 。

套筒冠义齿具有独一无二的特点:一如其他所有精密附着体,它能将活动义齿的自行摘戴、易于清洁的优点与固定义齿的功能恢复良好、异物感小的长处有机结合,尤其适合牙周病经过治疗后的义齿修复,能很好的起到牙周夹板的效果。

现在最便宜的假牙多少钱一颗,目前国内最好的假牙是多少钱

(2)、MK1精密附着体

MK1精密附着体的设计与临床试验成功,代表了当今牙科工艺技术发展的最新水平。该系统功能性很强,患者可简单方便地进行摘戴。其适用范围从用于牙间隙修复,到单侧和双侧游离缺失修复,至余留单颗牙或桩冠连接等适应症。

现在最便宜的假牙多少钱一颗,目前国内最好的假牙是多少钱

(3)、栓道式精密附着体

缺牙多不能直接做固定义齿修复的最佳设计:

1、固位力强,稳定性好,完美恢复缺失牙功能;

2、美观不露金属;

3、基托面积小,异物感小;

4、方便患者自行清洁。

现在最便宜的假牙多少钱一颗,目前国内最好的假牙是多少钱

(4)、球形精密附着体(快套式)

现在最便宜的假牙多少钱一颗,目前国内最好的假牙是多少钱

(5)、太极扣

太极扣是为配合专业牙医的需求而开发的用于可摘修复体的一种简单、可靠、高适应性的附着体系统。太极扣是目前得到最广泛认可的弹性牙科附着体。在可摘局部义齿治疗、牙支持和种植体支持的覆盖义齿病例中,太极扣是经验丰富和刚刚开始精密附着体制作的牙科业内人士的最佳选择。每个月,世界范围内,牙医指定,技工制做成千上万个太极扣固位修复体。同时患者可以毫无顾忌的使用它们。

现在最便宜的假牙多少钱一颗,目前国内最好的假牙是多少钱

(6)、磁性附着体

保存残冠、残根做覆盖义齿,利用磁铁的磁性增强固位力;采用日本进口磁铁,固位良好咀嚼效率高 比全口义齿的稳定固位显著提高。

现在最便宜的假牙多少钱一颗,目前国内最好的假牙是多少钱

土豪类

2014年,迪拜牙医为满足各国土豪的“时尚”需求,专门推出了一款由纯金和156颗钻石共同打造的假牙。

制造者称,制造假牙的黄金总重10克,钻石为2.5克拉。这些原料的“真实性”已得到比利时世界钻石研究所的认证。这种假牙每套15.2万美元,

现在最便宜的假牙多少钱一颗,目前国内最好的假牙是多少钱

果然,只有贫穷才能限制了我的想象。

现在最便宜的假牙多少钱一颗,目前国内最好的假牙是多少钱