一例65岁男性患者,“胸背部疼痛1年半,加重1周”。1年半前无明显诱因出现胸背部疼痛,在当地医院按胆囊炎治疗,效果不佳。1年来有吞咽困难,行胃镜检查未见异常,一周前疼痛加重,不能缓解,在当地县医院行胸部CT提示:“主动脉夹层”。
主动脉夹层按发病时间分为急性期和慢性期,以发病14天为界。也有学者主张把14天到28天或者两个月定为亚急性期。急性期患者病症比较严重,内膜片刚刚撕开,质地相对较软。近年来有文献表明急性期夹层手术有助于其远期假腔塑型。但也有学者主张度过急性期再干预。但等待期间有些患者会死亡。进入慢性期后内膜片变的僵硬,有时候支架修复可能贴服不严,导致内漏概率增大;而且慢性期假腔增大,可能产生一些压迫症状。
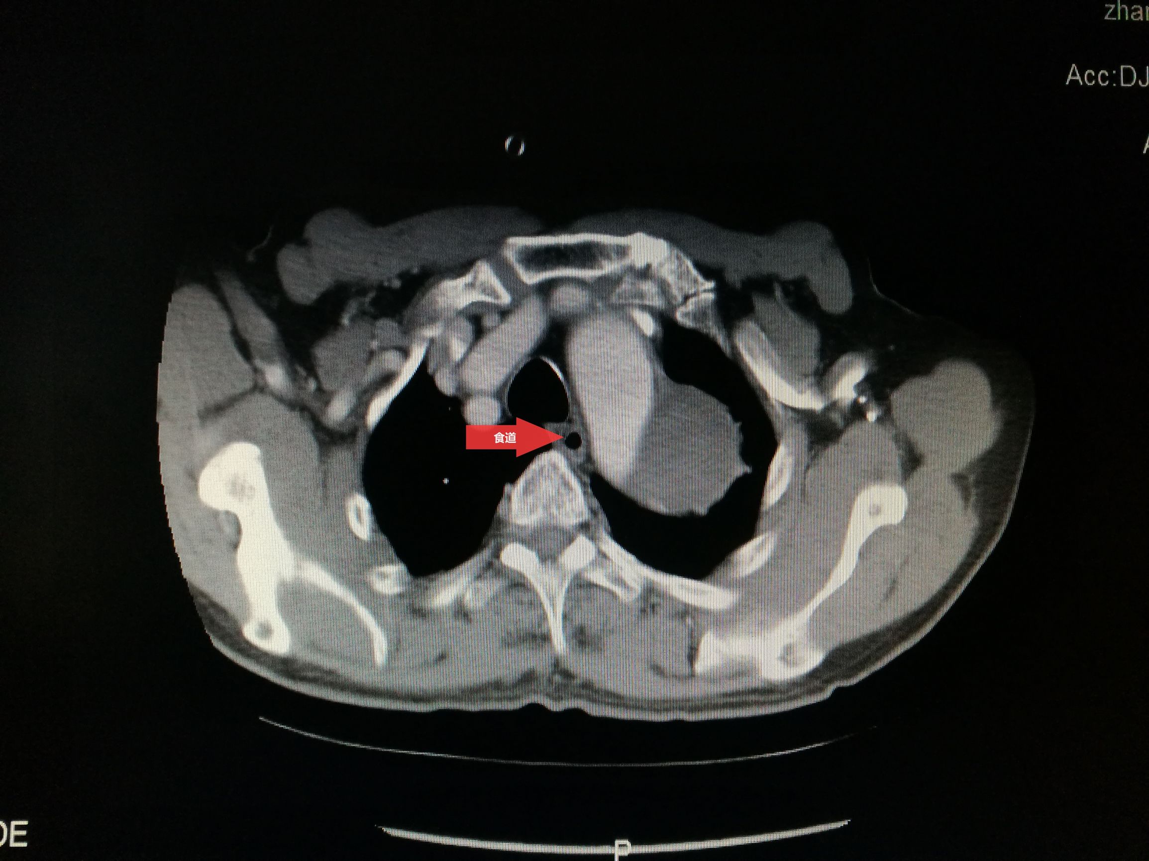
此例患者进行发病时未能确诊,进入慢性期后假腔扩张瘤样变。在CT的部分层面,食道受压看不到。重建影像可见假腔扩张,动脉扭曲。




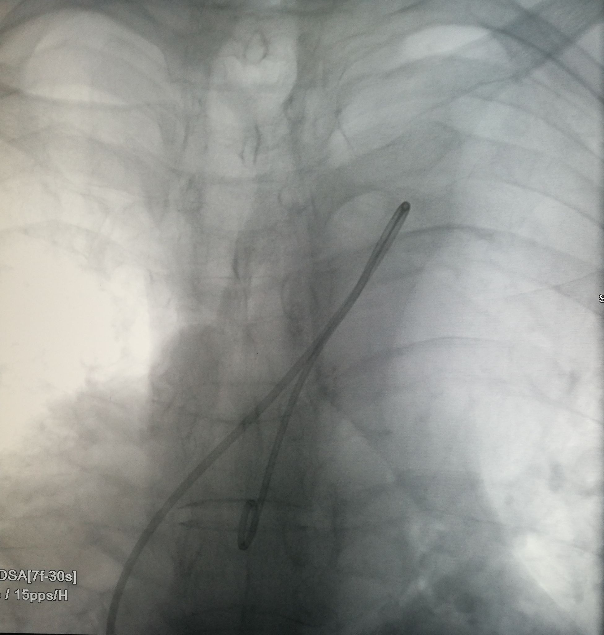
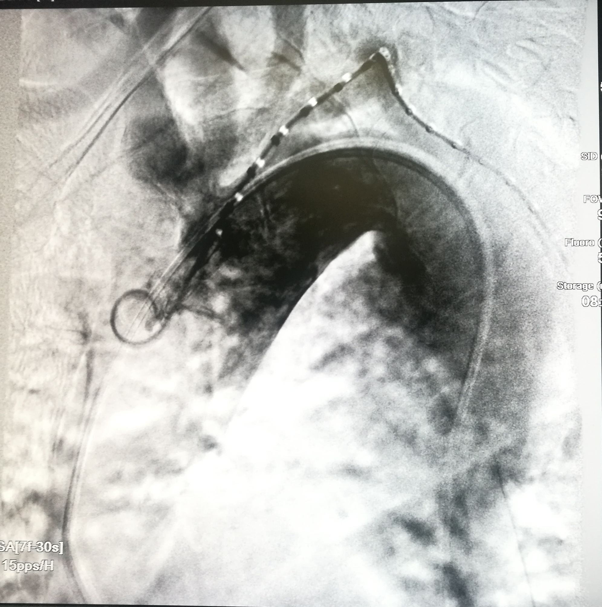
手术在局麻下进行,经右股动脉穿刺置管到升主,经左桡动脉穿刺植入金标猪尾导管,造影,为确认真假腔,加做右前斜位造影,确认股动脉导管在真腔内,测量后植入覆膜支架。由于扭曲严重(腹主,膈肌附近,弓降),支架最初并未贴服大湾侧,支架送过锁骨下动脉后适当回撤,请拉释放导丝,此时支架整体向大弯侧轻微移动,考虑应力已经得到缓解。完全释放支架,定位良好,封堵完全无内漏。





尽管有加硬导丝,但从二维影像上看,支架并未贴着大弯侧走行


慢性夹层能封堵如此完美的少,假腔压迫导致吞咽困难的也不多,慢性夹层血管扭曲严重,手术难度较大。血管病争取早发现早治疗效果好。
专家门诊时间:每周一下午
张学民简介:

北京医科大学首届七年制毕业生,1995年入职北大医院普外科,师从严仲瑜、李通、黄德祥、王维亮教授;2000年师从北京安贞医院血管外科吴庆华教授学习血管外科。2001年4月调入北大人民医院,参与血管外科的创建,建立人民医院血管外科最早的题库,最早开始半导体激光治疗血管瘤,最早开始OSAS和主动脉夹层的相关性研究,在国内完成首例成功的脊髓电刺激治疗下肢缺血手术,最早将穿刺缝合技术引进人民医院,最早在本院开始长段主髂闭塞性病变的全腔内治疗;在国内较早开展主动脉缩窄的腔内治疗;在临床实践中首先对腹主动脉一体式支架采用导管替代抓捕器引导对侧导丝,这一方法学改进得到大力推广,厂家因此改动产品说明书;较早开展开窗支架手术,较早开展升主动脉夹层的腔内治疗,最早在我院开展髂静脉支架,完成我院最早的IBD支架手术。拥有多项发明专利和实用新型专利。
北京大学人民医院血管外科副主任医师
北京大学首钢医院血管医学科副主任
中国中西医学会周围血管专业委员会糖尿病足学组副组长
中国医疗保健国际交流促进会血管外科分会“主髂动脉疾病学组”副组长
国际血管联盟中国分会内脏动脉疾病学组副组长
中国医疗保健国际交流促进会糖尿病足分会青年委员会副组长
中国微循环学会周围血管病专业委员会主髂动脉外科专家委员会副主任委员
中国微循环学会周围血管病专业委员会血栓防治专家委员会第一届常委
中国医药教育协会血管医学专业委员会第一届常务理事
国际血管联盟中国分会血管外科青年委员会委员
北京中西医结合学会第七届周围血管专业委员会常务委员
全国卫生产业企业管理协会外科技术创新与推广分会理事和多个专业委员会委员。
擅长:主动脉和下肢动脉疾病的诊断和治疗,内脏血管疾病和疑难病例的诊断治疗,血管瘤和血管畸形的治疗,肿瘤侵犯血管的手术治疗