你猫咪的好奇心非常的强。遇到什么东西都要凑上来这里闻一下,那里咬一口。是有 些猫咪对植物有着强烈的执念,玩着玩着就吃进了肚子里。特别是鲜花,猫咪更是一个“*花采**大盗”
今天的故事就来告诉大家,花花虽美,可不能乱吃

猫咪:蛋蛋
主角猫咪名叫蛋蛋,是一只一岁零七个月的中华田园猫。主人精心喂养,它胖胖的身材,有十多斤。某日,铲屎官突然发现蛋蛋没有精神、食欲差、排尿减少、饮水量减少,于是带着蛋蛋去了医院。
1 临床检查
医生临床检查出蛋蛋的膀胱过度充盈,精神状态欠佳,于是紧急导尿,导出尿量约为130ml,尿色红色,无其他异味。

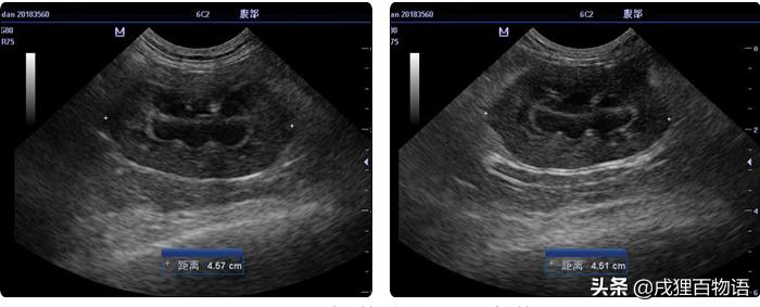
2 影像学检查
检测出蛋蛋双肾髓质环征、肾盂积液、膀胱未见明显异常。
3 实验室检查
检测出蛋蛋白细胞21.6、saa10.81、尿素氮33.83、肌酐498、尿检白细胞+++、红细胞+++,未见结晶。
罪魁祸首是百合

医生仔细询问主人得知,几天前曾把一束百合花带回家。医生初步确诊蛋蛋为百合中毒引起的急性肾小球肾炎。考虑蛋蛋频繁尿闭,医生为蛋蛋留置了尿管,并对症治疗。
治疗第一天尿闭后,医生在蛋蛋尿道埋入导尿管。猫咪食欲逐渐恢复。

悲伤的恢复期
经过了一系列的巩固治疗,蛋蛋终于恢复了正常。

尿团
虽然蛋蛋的肾小球损伤是永久性的,但通过治疗,肾小球肾炎得到有效控制后机体会逐渐通过代偿恢复肾功能。医生建议平时饲喂肾脏处方粮并定期复查肾功能。
医生建议:
除了百合花还有许多的花花是不能吃的。
1.菊花
菊花是秋天傲寒而开的植物。但是它的茎和叶子却是有毒的。猫咪食用后,可能会造成呕吐、腹泻、精神不振等问题。

2.郁金香
是导致猫咪肠胃炎和肾衰竭的“毒药”,如果猫咪吃了郁金香,会导致肾衰竭危及生命。

3.万年青

4.杜鹃花

5.水仙花
水仙不仅有毒吗,用水仙花根茎泡过的水也是有毒的。水仙香味强烈,可能会吸引猫咪,误食或者喝了泡水仙的水,会给猫咪带巨大生命危险。

6.芦荟
虽然很多人都喜欢用芦荟敷脸、食用。但是不得不说,芦荟吞噬后会有呕吐、腹泻、厌食等症状,还会导致猫咪尿出淡红色尿液。

7.绣球

以上案例材料,由北京宠爱国际动物医院提供。