
广州中医药大学一附院微信订阅号【筋骨堂】专栏,逢周四推送!本栏文章由该院骨科专家名医亲自撰文或指导写作,内容涉及众多骨科常见病的科普讲解与防治建议,实用、权威!敬请关注!
不是所有的骨刺都会引起足跟痛
医学指导/四骨科 向孝兵 主任中医师
文/四骨科 李杰 主治医师

王阿姨的 足痛 烦恼

这几个月,60岁的王阿姨很烦恼,因为她突然无缘无故脚后跟偏内侧那里痛得很厉害,特别是早晨醒来刚走路时疼痛最厉害,走一会儿足跟部疼痛有所缓解,但走了不久疼痛又再次加重。好多朋友告诉她,十有八九是因为脚上长了“骨刺”在作怪。那么王阿姨的足跟痛到底是不是“骨刺”引起来的呢?

跟骨骨刺不等于足跟痛

临床上在绝大多数患者脑海中已经认为某些部位的骨刺就是我们相关部位产生疼痛的原因。如膝关节有骨刺就会产生膝关节疼痛,跟骨有骨刺就会产生足跟痛。实际上,临床上约有一半的足跟痛病人并没有发现有“跟骨骨刺”,“跟骨骨刺”本身不会引起疼痛,只有当“跟骨骨刺”长期存在,且长“骨刺”的跟骨经过长期负重或局部负重过大,引起跟骨局部充血和产生无菌性炎症时,足跟才会产生疼痛,此时“骨刺”才成为致病的元凶。
如果患者是在治疗足部其他疾病时,拍摄 X 线片才发现跟骨长了“骨刺”,但没有症状,多不用紧张,更不用对它进行切除治疗。一般地说,对于临床上常见的像王阿姨所患的足跟痛,采取非手术疗法如口服中药或消炎止痛药物,配合药物外敷或中药外洗以及使用冲击波、小针刀等均可以获得不错的效果,对一些明确是跟骨骨刺引起的顽固性足跟痛经过正规的保守治疗仍然无效时可通过微创关节镜行跟骨骨刺切除以及局部的松解也可取得良好的临床效果。

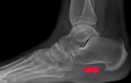
跟骨骨刺关节镜下切除术前

跟骨骨刺关节镜下切除术后
足跟痛需“辨证论治”
另外足跟脂肪垫炎、跟骨滑囊炎、足弓结构异常、跟骨高压症以及一些全身性疾病如糖尿病及强直性脊柱炎等类风湿性疾病也可引起足跟部疼痛症状。
足跟痛虽在疼痛的表现形式上大致相同,但病因各不相同,治疗方法也需采取“辨证论治”。所以当出现足跟疼痛时,不要一味认为是跟骨“骨刺”造成。建议受到足跟痛困扰的患者不要盲目听信非专业人士指导,及时到正规医院找专科医生进行诊治,以免耽误病情。
|
专 家 简 介 |
|
向孝兵,医学博士,主任中医师。
擅长:肩关节疾病及膝关节运动创伤的关节镜微创治疗。如肩袖撕裂、冻结肩(肩周炎)、肩关节脱位、肩盂骨折、钙化性肌腱炎等;膝关节交叉韧带断裂、半月板损伤、软骨损伤、滑膜炎等。
出诊时间:周二上午、周三下午(门诊楼六楼 骨科一号诊室)
|
作 者 简 介 |
|
李杰,医学博士,主治医师。
擅长:主要研究方向为肩、膝、踝关节运动创伤的微创治疗,如膝关节前后交叉韧带、半月板损伤及髌骨习惯性脱位的诊治;肩袖损伤、肩关节脱位、肩峰撞击、肩周炎等疾病的诊治;踝关节习惯性扭伤以及骨坏死和软骨损伤等疾病的诊治。
出诊时间:周六下午(门诊楼六楼1号诊室)
温馨提醒
请关注下方“广州中医药大学一附院”或“广州中医药大学第一附属医院” 公众号。关注后进入页面菜单栏“就诊助手”或“门诊服务”,搜索“医生姓名”即可挂号。

觉得不错,请点 好看↓↓↓
