最近,34岁的刘先生在华西医院接受了A型主动脉夹层(type A aortic dissection, TAAD)远端残余夹层全程腔内修复治疗术。
四川大学华西医院心脏大血管外科的微创主动脉外科团队,应用该团队参与研发并改良的多层密网支架完成了此次手术,揭开了主动脉夹层全主动脉腔内修复的序幕,实现重大跨越。
A型主动脉夹层是什么病? 它有多危险?
患者刘先生,34岁。今年1月有一天,突然一阵“撕心裂肺”般的胸痛袭来,疼痛难忍的刘先生被紧急送入医院治疗。
夹层动脉瘤增强CT提示,刘先生患主动脉夹层(Stanford A型),华西医院心脏大血管外科胡佳副教授和团队一起,在全麻及体外循环下为他实施了“主动脉窦部成形+全弓置换+降主动脉象鼻支架置入术”。
现在,我们就来了解一下刘先生患的A型主动脉夹层是一种什么病?
主动脉是从我们人体心脏直接发出来的最大的动脉血管,直接承受心脏搏出的血流冲击和动脉压力。
主动脉夹层是指主动脉中层弹力断裂,主动脉壁分离,血液从裂口进入主动脉壁,把管壁中层膜撕开、分裂、扩展,大量血液涌进去,形成的一个新血管腔。

根据撕裂方向不同,可形成不同的夹层范围:
A型
破裂夹层包括升主动脉。急性A型主动脉夹层是心脏大血管外科的危急重症,死亡率高达50%。
B型
不涉及升主动脉。
当循环血液渗入主动脉夹层之内,只能流入不能正常流出,就会像吹气球一样,越“吹”越大,最终导致主动脉破裂,病人会在瞬间死亡。
多学科配合下,完成国际首例TAAD远端残余夹层全程腔内修复治疗术
刘先生术后复查夹层CT提示,人工血管及象鼻支架在位正常,但术后支架远端主动脉仍残余夹层,并且破口众多,真腔狭小,假腔巨大,病变累及双侧髂动脉,需要二次干预。
理论上,所有主动脉夹层破口都需处理以期获得更好的主动脉重塑及远期预后。
然而,夹层向远端发展过程中,如果遇到粗大的内脏动脉分支往往会造成内膜撕裂形成破口,封堵该区域破口可能会意外覆盖内脏动脉开口,导致内脏缺血,危险性极大。
为寻求最佳治疗效果,胡佳副教授邀请超声医学科文晓蓉教授为患者各分支动脉真/假腔血流量及流速进行精确测量,评估各分支夹层受累情况,并组织团队进行了周密的手术方案讨论。
最后,团队决定应用多层密网支架行全程主动脉腔内修复术。
|
|
多层密网支架 |
|
||||
多层密网支架相对于此前的覆膜支架,采用三维编织网状结构设计,基于动脉瘤及夹层的血流调整和病理隔绝的新概念,通过降低动脉瘤或夹层内的涡流速度,使其动脉瘤/夹层内血流分层而形成血栓,正常血管保持直线血流,进而达到隔绝动脉瘤或夹层的治疗目的。 |
||||||
在麻醉科何沛霖教授的配合下,此次手术过程进展顺利,植入时间仅40分钟,支架近端锚定象鼻支架内部,远端至双侧髂动脉,覆盖残余夹层全长,成功封堵所有破口。
刘先生术中状态平稳,术后自述感觉良好,仅3天就顺利出院。
术后效果良好,获患者及家属感谢
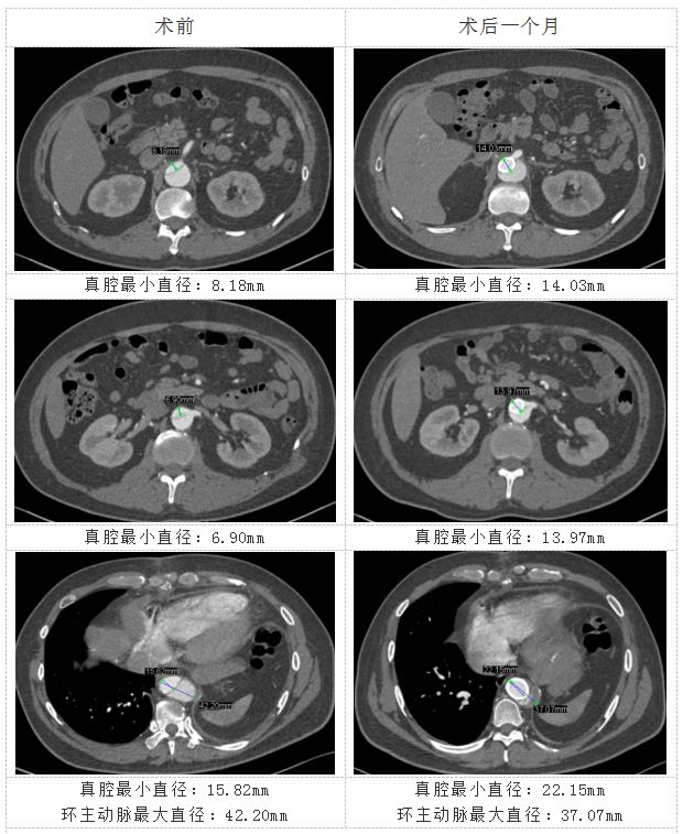
目前,患者行术后1月随访发现,所有重要分支均保持通畅,主动脉真腔明显扩大,环主动脉最大直径缩减(图1)。
图1 术后造影显示真腔明显扩张

术前造影

支架植入后造影
超声检查显示重要内脏分支动脉灌注明显改善(图2)。
图2 主动脉真腔明显扩大,环主动脉最大直径缩减

CTA检查显示主动脉假腔进行性血栓形成;假腔体积由术前的103立方厘米缩减至术后的74立方厘米,减少幅度达28%(图3)。
图3 术后假腔体积较术前减小28%

术前全主动脉三维重建
术后一个月
全主动脉三维重建
看到复查报告,刘先生和家属对手术专家团队表达了深深的感谢。
华西心脏大血管外科微创主动脉外科团队始终在微创领域不断探索,希望为更多的夹层患者延长生存时间,提高生活质量,让新技术造福更多的疑难重症患者。
(本文作者为四川大学华西医院心脏大血管外科硕士研究生卢晨、硕士研究生杨鹏、主管护师李宁,部分图片来源于网络)

