老人髋部骨折为何称为死亡骨折 (髋部骨折是人生最后一次骨折)

上周收了一个老年病人,80多岁,夜里自己起床上厕所,一下没站稳摔倒了,当时就起不来了。赶紧叫来了老伴儿,给子女打电话,叫救护车,送到了我们医院。一拍片子,得,股骨颈骨折

老年人骨质疏松严重造成腰骨折,髋部骨折包括哪些骨折

这是骨科再常见不过的一种老年性骨折了,可以说只要是骨科医生,每个月都要碰见几例,对于专门搞关节外科的医生或者创伤骨科的医生来说,那更是司空见惯。

但是,对于这个老年患者的家人来说呢?这是一个灾难性的开始。

为什么这么说?

老年人这么大的年龄,骨折之后站不起来了,面临着卧床,到底是手术还是不手术?

手术有风险,风险还很大;可是不手术,老年人能经得起躺好几个月吗?

几个月之后,骨头能长好吗?

就算骨头能愈合,卧床几个月之后老年人还有力气再次站起来吗?

治疗的几个月当中,发生肺部感染怎么办?出现褥疮怎么办?长血栓了怎么办?

家里子女都上班,孙子辈儿的都上学,怎么照顾老人?

老年人本来就有高血压,糖尿病,脑梗塞,治疗期间加重了,复发了怎么办?

选择手术,万一发生了意外,下不了手术台怎么办?瘫痪了怎么办?

家庭经济条件不好,人财两空怎么办?

医生给我说了好几种手术方案,该选哪个?

这么多的问题,一股脑儿的全部抛给一家人,别说是非医务家庭了,就是我自己的,家里的老人出现这样的情况,肯定也够我抓耳挠腮,抉择艰难了。

这一次的这位老人,有三个女儿,一个儿子,三个孙女,三个孙子,原本应该是享受天伦之乐的晚年,现在去遭受了飞来横祸。家人更是急成了热锅上的蚂蚁,又着急又不知所措。

于是我把他们所有的子女都叫来,围坐在一起,好好讨论一下这个事情。

今天的这篇科普,我就把这次讨论的主要内容整理下来,呈现给大家,让大家知道,下次遇到这种情况的时候,如何选择、如何注意、如何面对。

家属:为什么只是轻微的摔倒,很缓慢的坐在了地上,就粉碎性骨折了?

在医学上,把这种骨折叫做脆性骨折,也称为骨质疏松性骨折。他的根本原因是老年人骨头太过疏松,几乎没法承受任何的碰撞摔打。如果是年轻人,比这摔得更严重,往往骨头也没什么事,但是同样的外力,放在老年人身上,可能就会粉碎性骨折。有些老年人,甚至仅仅是打个喷嚏,或者坐公交车颠簸了一下,都会发生骨折,这个在骨科时而有之。

那么骨质疏松最常见的骨折部位是哪里呢?脊柱、髋关节、手腕、肩部,其中以髋关节后果最为严重,因为这里骨折了,患者就无法走路了,只能卧床。那么卧床将有可能带来一系列的并发症,比如肺部感染,褥疮,尿毒感染,肺栓塞,脑梗塞等等。所以这就是为什么骨科医生总是强调骨质疏松预防和治疗的重要性,但是很可惜,很多人都不重视。

老年人骨质疏松严重造成腰骨折,髋部骨折包括哪些骨折

后两个都是骨质疏松病人的骨密度形态,这哪能经得起摔!

家属:听说大胯骨折可以换关节,可以打钉子,我们该选哪个呢?

我们人体的髋关节你可能没听过,但是有个名词您肯定听过,“股骨头”!

老年人骨质疏松严重造成腰骨折,髋部骨折包括哪些骨折

髋关节这里,有两个位置经常发生骨折,一个叫做股骨颈骨折,一个叫做粗隆间骨折。如果是股骨颈骨折,而这两个不同位置的骨折,又分别有四种常见术式:

股骨颈骨折——

老年人骨质疏松严重造成腰骨折,髋部骨折包括哪些骨折

A:人工关节置换

人工关节置换最大的好处,适用关节假体,替代原有的断损的骨骼,这种替代是即刻稳定的。也就是说不出意外的话,大部分病人术后三天以内就可以下地负重。这就大大避免了因为卧床而导致的并发症。我们都知道,年龄大的人就怕躺倒,一旦趟几个月,那各种并发症接踵而至。最后要命的往往不是骨折本身,而是因为卧床,而发生了肺炎,褥疮等等。就算老年人命大撑过了那几个月,也会因为卧床造成心肺功能的严重下降,元气大伤,身体情况大不如从前。不要说老年人了,你在床上躺三个月试试。

针对不同的年龄和身体的基础情况,人工关节置换又分为半髋置换和全髋置换,半髋置换,只换股骨头,断掉的,不要了,直接换成金属的。但是因为只置换了髋关节的一半,所以这种置换,使用寿命有限,仅适用于身体情况较差,或者预期寿命较短(<15年)的老年人。而另外一种全髋置换,不仅换股骨头,连和股骨头相对应的髋臼窝也一并置换,这种假体使用年限比单纯换股骨头要长很多,一般适用于身体情况较好,预期寿命较长的中老年人。当然,半髋置换比全髋置换手术时间短,风险小,这也是它的一个优势。

老年人骨质疏松严重造成腰骨折,髋部骨折包括哪些骨折

B:空心螺钉固定

空心螺钉固定,实际上就是把断损的骨折用螺钉给定起来,它的优势是保留了原有的股骨头,如果骨折愈合了,也没有发生创伤性的股骨头坏死,那么股骨头还是你的,没有置换也就不牵扯到假体使用寿命的问题。

老年人骨质疏松严重造成腰骨折,髋部骨折包括哪些骨折

那有的病人可能会问,这多好啊,为什么不都用这种方法呢?

它也有它的缺点:

第一:因为是固定骨折,所以牵扯到骨折愈合问题,也就是说,在骨折愈合到有具有足够强度之前,病人都不能下地负重,这大概需要多久呢?6-12周。也就是说,这种手术方式无法解决老年人的卧床问题。有些年老体弱的病人别说让他躺6~12周了,就是躺三四个礼拜,都可能要了他的命。

第二:股骨颈骨折,发生股骨头坏死的几率极高,也就是说虽然把它钉起来了,骨折也愈合了,但是三年以内,再次发生股骨头坏死的概率非常之高

综上,这种手术方式仅适用于比较年轻的患者的股骨颈骨折,他不怕卧床,但是因为预期寿命长,换了人工假体之后,会非常担心假体使用年限的问题。因此,用这种手术方案,给他们的骨折一次愈合的机会,万一3年内发生的股骨头坏死,再做全髋置换。而对于老年人,最主要的矛盾在于卧床的风险和手术的风险相权衡,而不是假体使用年限,所以一般不选用这种手术方式。

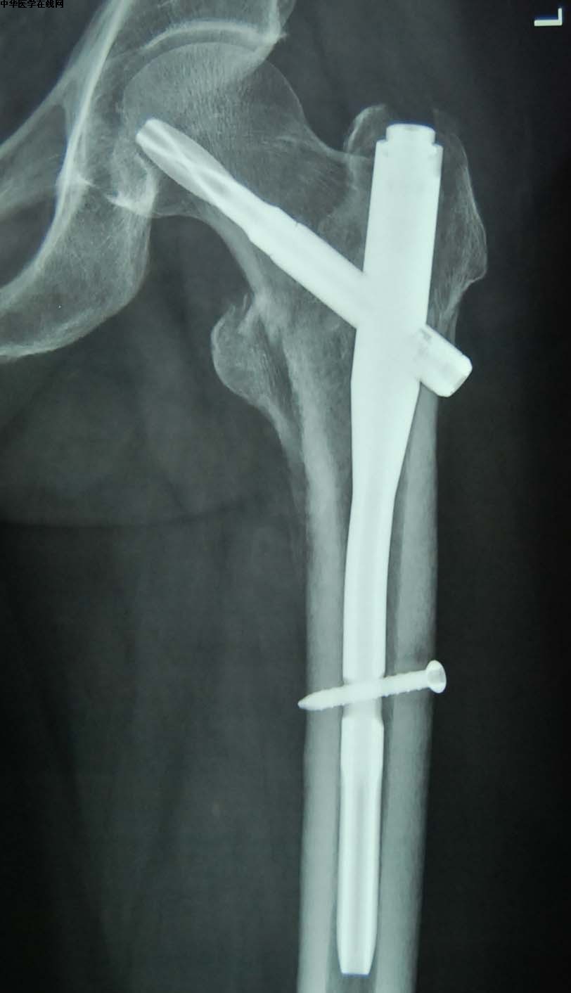
粗隆间骨折——

老年人骨质疏松严重造成腰骨折,髋部骨折包括哪些骨折

C:髓内钉固定

就是在骨髓内打入固定用的钉棒。由于这个部位的骨折往往都是高龄患者,带有严重的骨质疏松,一摔往往都是粉碎性的,破镜很难重圆,因此通过这种插入髓腔的髓内钉技术,就像穿糖葫芦一样,给断掉的骨头一个主心骨。让骨头自己愈合。

同时呢这个手术是一种微创技术,只需要开2-3个很小的切口就可以完成。做的熟练的骨科医生,从切口到完成手术只需要20分钟。

由于这种也是需要等到骨折愈合一定程度了才能下地复杂,因此也面临一段时间的卧床问题。有的患者可能会问,那为什么同样是高龄的人,这种骨折不能用人工关节呢,其实对于一小部分粗隆间骨折也是可以做人工关节置换的,但是手术要求啊,效果啊,难度啊,比股骨颈骨折要差一些和复杂一些,因此现在主流的技术还是髓内钉技术。

至于髓内钉技术当中的更多不同的技术流派,就不一一赘述了。大同小异而已。

老年人骨质疏松严重造成腰骨折,髋部骨折包括哪些骨折

D:动力螺钉技术(钢板+钉)

这种技术是以前的经典技术,目前在一些没有普遍开展髓内钉技术的地区和医院,仍然是治疗粗隆间骨折的主要技术。

但是有一些碎的特别厉害的粗隆间骨折或者位置比较特殊的骨折,没法用髓内钉的,有时候还必须得用这种相对传统的手术方案。

老年人骨质疏松严重造成腰骨折,髋部骨折包括哪些骨折

综上,对于粗隆间骨折的老年人来说,就要看你所找的医生给你评估后适合哪一种了。但是不管哪一种,除非关节置换,否则都没法避免卧床一段时间,等待骨折愈合。

但是,不能下地不代表会一直疼。做完手术要不了几天,疼痛感就会明显缓解。病人也能做起来了,也敢翻身了,甚至可以做轮椅了,只是不能下床走路而已。

家属:老人年龄大了,基础疾病多,手术风险大,能不能保守治疗呢?

首先我必须很遗憾的告诉大家,很多移位明显的髋部骨折,是无法自然愈合的。也就是说断开的骨头,永远都没法再重新长在一起。这也就意味着,有些老年人,如果不手术,可能熬过卧床的几个月能保命,但是自理能力,将大打折扣,甚至无法再次站立行走。

然后我还要提醒大家一句的是,老人在卧床期间,甚至是以后,可能都要卧床,这对子女的照顾和护理要求极高。尤其是当老年人出现了褥疮等卧床并发症,又无法自理,甚至大小便都需要照料时,对全家人的细心耐心精力,都是非常大的考验。俗话说,床前百日无孝子,在医院里看遍了人情冷暖,我希望大家考量一下自身真实的照料能力,再慎重作出决定。

当然如果基础疾病太多,那么基本,上手上了手术台,就可能下不了台,那这种情况属于手术的禁忌症,是你强烈要求开刀,医生也不能给你开的。

我自己的整体感觉是,只要不是身子弱的一塌糊涂的,搏一把还是有些必要的。

2014年,我的奶奶,因为股骨颈骨折住院了,住在我自己的床位上。当时奶奶70多岁,老年痴呆已经有10年,谁也不认识,同时呢,还有高血压,冠心病,慢阻肺,生活不能自理,但是可以哆哆嗦嗦走路。但是全家人就在让我拍板做决定,最终我决定:做!半髋置换!结果是幸运,我奶奶手术后三天下地,加上爸爸姑姑等子女悉心照料,每天扶着她练习走路,两个月之后,奶奶已经恢复的和摔倒之前没有区别。虽说现在她老人家由于老年痴呆的加重,已经难以自己站起来了,但是当初手术的决定,让我们这些晚辈能够有机会多陪伴她几年,是全家人的幸运。

但是就算大家再想手术,有以下几种情况呢,就不建议你再拼命了,因为机会渺茫, 反而还会大大缩短家人最后再一起的时间:

①平时就因为偏瘫,骨折的这条腿,不能负重走路的,最好就不要手术了,尤其不要进行关节置换。因为骨折愈合也好,关节置换也好,很重要的一个目的就是让患者能够重新站起来,避免长期卧床。但是如果你本来就站不起来,走不了路,那么你冒这么大风险,去搏一把,所换来的收益,就不划算了。

②已经开始有肺部感染,尿路感染,发热等情况的,如果没法把感染控制住,最好也不要手术了。

③身体极度虚弱,严重营养不良,皮包骨头,老年人自己不能吃饭,或者重度贫血,整体处于全身的衰竭状态的患者,建议不要再冒险了。

④最近发生过脑梗,心梗的,那么手术期间喝手术后一段时间内,再次发作的可能性非常大。

⑤预判老年人的身体状况,没法坚持挺过卧床1个半月的,那么除了关节置换之外,其他的手术方式可能都无力回天,因为都需要等待骨折愈合才能终止卧床。

家属:如果保守治疗,在卧床期间要注意哪些事情呢?

再次提醒大家,骨折本身不死人,而骨折造成的卧床,会引发各种各样的并发症,这些并发症很多都会要到老年人的命。而无论你选择保守治疗,还是手术之后卧床养病,我们的重点不要放在骨折上,而应该关注老年人的身体情况,和注重预防卧床相关的并发症。以下是我个人的一些经验和建议,仅供参考:

①营养。没有营养的摄入,一切免谈。但是老年人往往都不怎么能吃东西了,再加上摔这么一下,身体更加虚弱,更不愿意吃东西,那么如何保证营养呢?下胃管。是的,你没有听错,这个时候不是纠结下胃管受不受罪的时候了,而是救命的时候。把胃管放进胃里,你才能按照他所需要的营养,每天按时按量补充给他,才给了他身体恢复的最基本的保障。除此之外,下胃管还能避免在喂饭过程当中可能发生了误吸,而将食物误吸到肺里,常常是致命的。

老年人在这个时候身体的消耗,大于恢复,你不给他补充足够的营养,他只会越来越差,根本没有康复的基础。每天需要补充蛋白质,水分,维生素,各种电解质,不仅要吃蔬菜水果,还要吃肉类鸡蛋,而这些东西,在这个时候你是很难喂进老年人的肚子里的。不采取措施当机立断,只能看着他一天一天越来越消瘦和衰竭。我奶奶在住院的时候,还有开篇我所说的这个老年人,住院的第2天,我都和家属谈好,直接放胃管。经过一周精细的调理和治疗,这个老年人的基础情况从入院时的血红蛋白52(重度贫血),升到了现在的86(接近轻度贫血),血钠水平从入院的121(比较严重的低钠血症,会让老人精神萎靡、嗜睡),升到了135(正常水平),血钙从1.76升到了2.05,血糖从入院的空腹17到现在的空腹7-9,白蛋白从入院的24到现在的29.5(仅用了10g白蛋白,其他都是经胃管食补),心率从入院时候的145到后来的160再到现在的90多(房颤心律得到了改善,血红蛋白升高后心率也会慢下来一些),入院时血压90/65mmHg,体温35.5(很低),白细胞1万8,到现在的135/79mmHg,36.8℃和1万2,精神状态从入院时候的嗜睡到现在的知道喊饿和疼,白天大部分时间都是清醒的。这些,我觉得自然有家人、护理人员、医务人员共同的努力,但是这根胃管,搭建了一条挽救生命的绿色通道。要知道,期间病人躁动把胃管拔掉2次,又重新插了2次。要不是病人大女儿本身是退休护士,恐怕家里人很难同意(事实上她的小女儿就是反对再插的,说怕老人受罪)。

说实话,可能不中听,但是真的是,关键时候,你是敌是友,你自己可能都分不清。

②坐起来!坐起来!坐起来!重要的事情说三遍,这句话对于普通人来说是一个非常简单的动作,但是对于一个面临着长期卧床,无法下床,并且必须和死神搏斗的老年髋部骨折患者来说,这是他最好的战斗姿势。可能他会疼,可能他不乐意,可能他拒绝,他躁动,他乱骂,他恨你,但是相信我,除非他很有希望通过一动不动的卧床三四个月让骨折重新长好,否则就不要把希望建立在原本就渺茫的机会上。坐起来!能够有效降低肺部感染的发生率,让老年人有了深部的痰,咳出来的力量;坐起来!能够避免因为卧床,骶尾部长期受压发生褥疮的可能;坐起来!能够让老年人坐着吃饭,大大避免了,因为躺着喂饭而发生的误吸。既然能在床上坐起来,那么下一步就能在床边坐着,再下一步就能坐在轮椅上;能坐在轮椅上,就意味着家人可以推着他到外面晒太阳散步,对于老年人的生活质量,心情心态的改善都是天天躺在床上无法比拟的。当然你要知道,反复的做起,可能会让骨折的断端,没法长在一起,但是就算没法长在一起,很多老年人,也还是可以扶着东西,一瘸一瘸的走,只要命还在,依然可以每天坐着轮椅生活。个中利弊,自己权衡。我所说的可能并不吻合医学教科书上的观点,因为那追求的是骨折愈合的最大可能,我所说的,是作为一个医者,一个子女,一个患者家属,从患者临终生活质量最大化的角度出发,的一些个人看法。请各位勿喷。

③必须做好会阴的清洁和干燥。很多老年人一躺倒之后,大小便也不能自理了,如果护工保姆或者子女料理不当,常常会发生泌尿系统感染,而有些时候这些感染是顽固的、消耗的和致命的。及时更换尿布尿垫,保持会阴区域的干燥清洁,多喝水,能够有效降低泌尿系统感染的发生率。有的老年人因为害怕给子女带来麻烦,通过少喝水来减少排尿次数,我想告诉这些爷爷奶奶,你们这样做,只会给子女带来更大的麻烦。

④多活动!预防血栓!很多卧床的病人,突然死亡的原因,往往是因为形成了血栓,脱落之后,发生了致死性的肺栓塞。多勾脚,多活动上肢,到正规医院购买预防血栓的药物,多喝水。但是如果你说老年人已经很虚弱,完全不配合运动,那也没办法了。

老年人的髋部骨折,是一个家庭的灾难性事件,是需要调动全家人共同和死神做抗争。美国曾经有一个大样本研究,70岁以上的老年人,不管男女,不管开刀还是保守治疗,不管基础情况好还是差,全都算在内,只要发生了髋部骨折,一年以内的死亡率,将近30%。咱们全家人细节做得越到位,照料的越好(这里的好,是指的正确,而不是看起来的关心),老人越有可能挺过来。

不要轻易放弃,如果换做小时候我们因重病躺在了床上,他们也绝不会放弃我们。

毕竟,

父母在,人生尚有来处;

父母去,人生只剩归途。

老年人骨质疏松严重造成腰骨折,髋部骨折包括哪些骨折

参考资料:

很抱歉,这次没有高大上的外文文献,只有对工作以来,和数百个遭受老年髋部骨折的家庭一起,共同抗击死神的难忘回忆。

生者,祝早日康复;

故者,祝遗愿得偿。