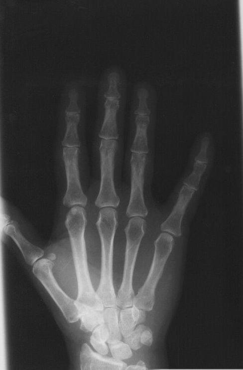
骨折后不疼了就代表完全好了吗?我有一个患者是一个十五岁的小朋友,打篮球时小拇指骨折了,来看诊时他的小拇指明显外翻,我给他做了夹板固定。但是在骨折康复后期时,他因为小拇指 没有疼痛感,以为已经完全好了,就又着急去打篮球,造成了二次骨折 ……

对于骨折的病人,如果说骨折断端 疼痛消失,不一定是骨折的痊愈,因为在骨折两周以后,骨折断端瘀血、肿胀会慢慢吸收消退,而且骨折断端会有纤维连接的生成,这个时期的骨折部位疼痛感会减轻甚至消失,但是骨折的部位还不稳定,所以说骨折并没有完全痊愈。我们所说的愈合,一定要经过x光片,看到有连续性骨痂形成,达到我们临床愈合的标准才能说是痊愈。
骨折完全痊愈的标准是?
局部无压痛、纵向叩击痛,无异常活动,x光片显示有连续性骨痂通过骨折线,骨折线已消失或接近消失。

骨折后的康复训练重不重要?
很多人觉得骨折部位已经被医生处理过了,就该卧床好好休息,骨头才能长得快,愈合得好,实则不然,因为康复的目的就是让病人的骨折能够快速愈合、减少疼痛、避免因骨折造成关节僵硬、肌肉无力、失用等并发症。骨折部位不同,康复训练也不同。大家要根据自己的情况,听从医生的建议做康复训练。因为越早的康复介入,对骨折后的功能恢复就越容易。

骨折后即使不疼也要去 拍个x光片 确认一下,骨头是否已经完全 痊愈,而不是靠自我感觉。耐得住寂寞,才能健康。因此,处于骨折康复期的患者朋友们,“安分”一点,真的非常重要,耐心地等待愈合和恢复,才能更好地健康。