
1895年11月8日,威廉.康拉德.伦琴博士发现“X射线”。这一神奇的射线使人类对疾病诊断、治疗的模式发生了改变,人类医学进入崭新的时代;也正是这一发现,创造了一个全新的学科——医学影像学,为了纪念伦琴,将这一天作为放射科工作者的节日——“国际放射日”。向每一位放射医学工作者致敬,愿通过你们,把放射的力量辐射全世界。
X射线是肉眼看不见的一种射线
向来直来直往是个“直脾气”
它在电场或磁场中不发生偏转
能发生反射、折射、干涉、衍射
直脾气的放射“摄影师”
把黑白灰作为仅有的颜色
把骨骼内脏冰封在图片中
重建伪彩是他们的作品
密度强化是判决标准
电脑书写的文字可以定位定性
线圈序列是他们的玩具
信号曲线书画病灶内心
他们出具的诊断报告
为临床治疗提供准确依据
良与恶之间
不变的是缜密分析
诊断与鉴别之间
不变的是一切为了患者的初心
整理好白大褂
他们不断历练、不断学习
“摄影师”般的双眼
足以洞穿万物
渭南市妇幼保健院放射科
渭南市妇幼保健院放射科自创建以来,经过多年的努力,目前已发展成集医学影像诊断、教学、治疗为一体的重点科室之一。现拥有西门子DR,移动DR拍片机、DR数字化胃肠透视机、飞利浦专用乳腺DR机、小儿肠套叠遥控灌肠整复仪及等高、精、尖影像设备。


科室带头人及骨干医师均先后到交大二附院、唐都医院、交大一附院医学影像科全面进修学习,接受了全国知名专家严格、系统的专业培训,具备了过硬的放射医学诊断技术,为临床诊疗提供了可靠的诊疗依据。


为满足临床需求,除开展传统X线检查外,近年又相继开展了静脉肾盂造影、“T”型管造影及子宫输卵管造影等多种造影检查、乳腺钼靶成像、遥控灌肠治疗小儿肠套叠等较前沿的X线检查。尤其是治疗小儿肠套叠,现已治愈几百余例患儿,遥控灌肠整复仪治疗小儿肠套叠具有安全、迅速、高效的特点,避免了患儿手术,减轻了家庭经济负担。
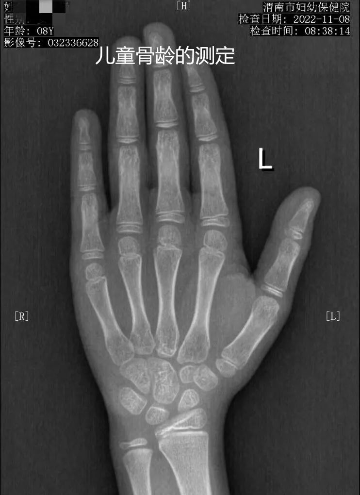
放射"摄影作品"




乳腺疾病的诊断与体检筛查






不育不孕症的子宫输卵管造影检查
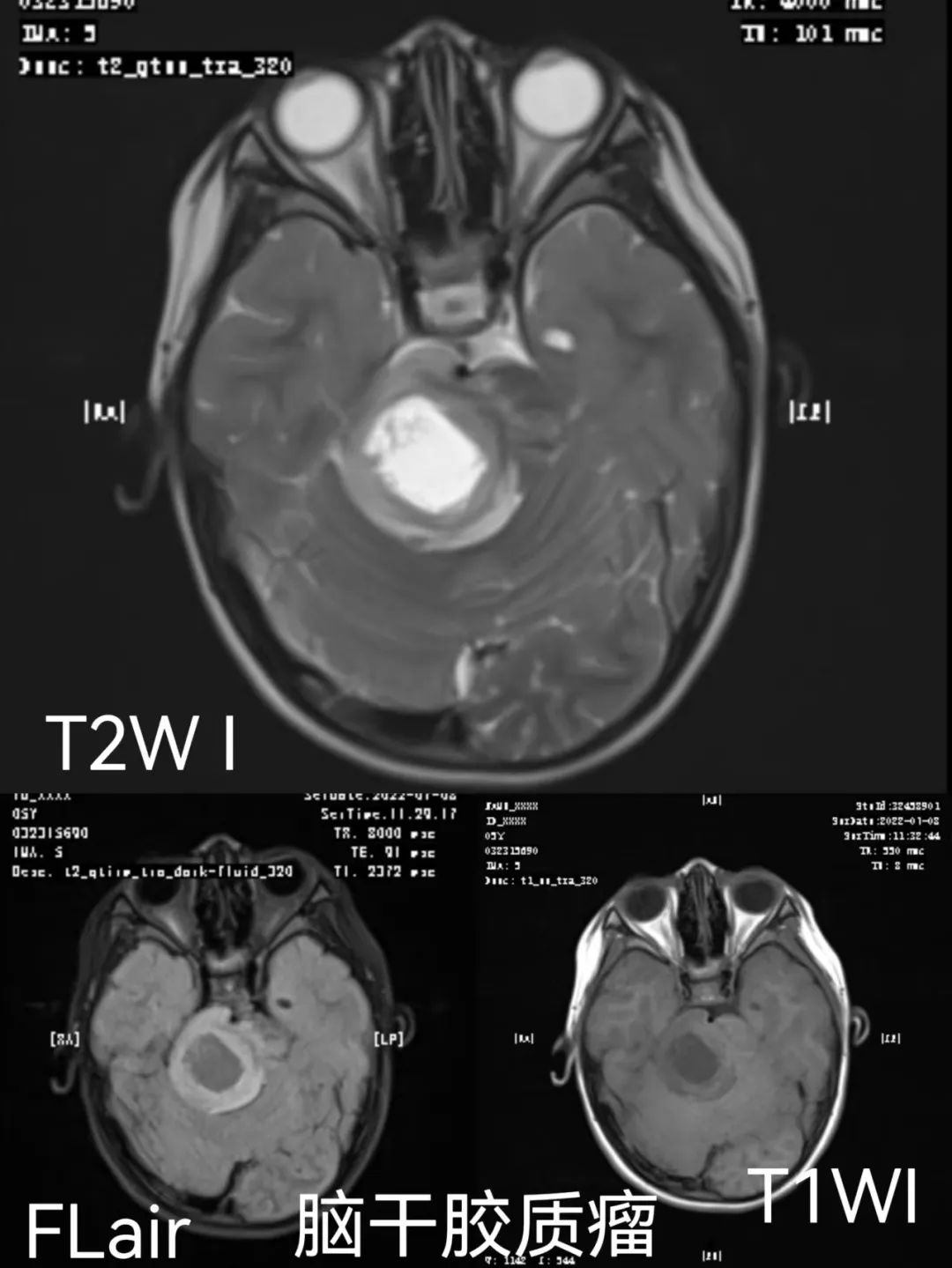
渭南市妇幼保健院CT&MRI室
渭南市妇幼保健院CT&MRI室装备有西门子公司16排螺旋CT机一台及西门子1.5T核磁共振一台。开展的诊查项目包括全身各部位CT检查,磁共振全身各部位的平扫及部分部位的增强检查(颅脑增强、乳腺增强、垂体增强、上腹部及盆腔增强),磁共振血管成像(MRA)、磁共振胰胆管成像(MRCP)、磁共振尿路成像(MRU)、全脊柱成像等,为临床科室的治疗方案提供了可靠依据。本科室长期聘请西安儿童医院教授指导工作,及时为疑难患者会诊,使群众更加方便享受到上级医院专家的医疗服务。近两年来在教授的指导下,提高了科室的整体诊断水平,尤其是在儿童颅脑先天性疾病及中枢系统疾病方面有了显著的提高,更加突出妇幼的特色。




科室同志一直坚持以“医术精湛、医德至善”的精神严格要求自己,刻苦学习专业知识,经常参加学术会议。同时对患者热情耐心,得到患者的一致好评。
放射"摄影作品"


