亲爱的朋友:
如果你对你的皮肤不满意,经常出油,毛孔粗大,黑头粉刺,长痘,过敏......你是否想过,背后的元凶可能是:
你脸上藏着600万只螨虫!
刚开始,我认为螨虫只是一种小问题,但是......我的亲身经历告诉我:螨虫,引发的皮肤问题超过了30多种。
而且,螨虫不除,你可能永远无法变得漂亮美丽。(你用任何护肤品都是白搭)
螨虫是一种寄生虫,身体大小一般都在0.5毫米左右,它可以寄生于人体全身,尤其在头发,脸部皮肤,后背很多。

正常情况下,它可以和皮肤和平相处,但是其一旦过量繁殖,皮肤问题就接踵而至。专家将螨虫对皮肤的伤害总结为5个方面:
① 啃噬皮肤;② 堵塞毛孔;③ 刺激皮脂腺;④ 将皮肤表面细jun带入毛孔;⑤ 尸体排便产卵引发过敏反应以及腐蚀皮肤。

这种伤害日复一日,它就会引发下面这些皮肤问题,范围之广,让人难以相信。
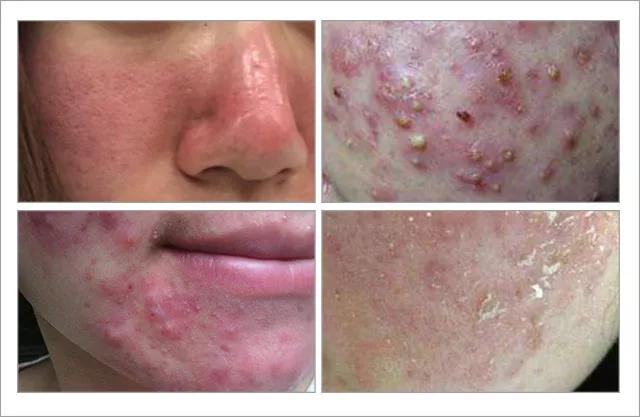
- 油痘系列:
① 皮肤油腻:螨虫刺激皮脂腺,分泌大量油脂。
② 毛孔粗大:油脂混合污垢,加上螨虫的尸体,排泄物,产卵后的物质,堵塞了毛孔。
③ 黑头:毛孔完全被被堵塞,就是黑头,如果未完全堵塞就是白头。
④ 粉刺:毛孔堵塞严重,形成凸起于皮肤表面的疙瘩,就是粉刺。
⑤ 痘痘,包括丘胗型,农包,结节型痘痘。粉刺以炎症,化农的方式排解。

- 皮肤过敏:
医学上认为,皮肤过敏是因为接触了某一种过敏源,引发了皮肤的变态反应。而螨虫就是一种重要的过敏源。
螨虫的尸体,排泄物,粪便,产下的卵都是很强的过敏物质,常引发皮肤出现:
① 泛红,发痒;② 发肿;③ 有灼烧感;④ 起水疱,有渗出液;⑤ 起红疙瘩;⑥ 起皮胗;⑦ 脱皮起鳞屑。

- 皮肤敏感(即敏感肌肤):
皮肤反复受到螨虫的刺激,长期就会形成:① 皮肤屏障受损;② 角质层变薄;③ *血丝红**;④ 烂脸。

是不是难以置信?上面我一共列举了17种皮肤问题......它们竟然全部和螨虫有关,事实上,我列举的并不是所有的,比如还有:
① 螨虫寄生在眼睑睫毛中,引发视力疲劳,眼睛发痒,反复起麦粒肿。
② 还可能引发皮彦,湿胗......

虽然螨虫引发的问题是如此广泛,如此严重,但是......长期以来......
人们对螨虫的认识不足
包括专业的医生都对螨虫缺少系统的认识,这是因为:
1841年,人类蠕形螨虫最早由 Berger 在人外耳道内发现,而后作为保密报告呈递给巴黎科学院。距离今天不过100多年的历史。

正因为如此......面对各种皮肤问题.....人们都忽视了要消灭螨虫,由此造成了一个常见的后果是:很多皮肤问题,怎么都不好!
比如,常见的有:
- 痘痘人群,他们可能已经使用了几十种祛痘方案,却连简单的皮肤油腻,毛孔粗大都没有解决。
- 敏感肌肤人群长期花费高昂的代价使用特定的针对敏感肌肤的护肤品,却时常反复,无法断根。
- 皮肤过敏人群,常年累月的被过敏折磨,怎么都无法真正摆脱。
我本人就是一个典型的案例,我叫陈思潼,现在是中国美容协会的副会长,我曾经被螨虫折磨了长达12年以上。

现在的我,已经39岁了,皮肤健康,白皙细嫩,完全看不出年龄也看不出有皮肤方面的问题,但是,之前却有过一段“烂脸”阶段。
a.高中阶段:皮肤油腻,毛孔粗大,下巴时常长出粉刺。
b.大学阶段:满脸爆痘,反复发作,严重的时候,化农结痂,痛苦不堪。
c.工作之后:形成了非常敏感的皮肤,稍微护理不当,就红,肿,痒,几乎形成了烂脸。
当我从广东中医药大学皮肤系毕业,我进入了美容行业,后来,和我的先生创办了wro问题肌肤实验室,建立了现代化的护肤品加工工厂。

wro实验室几位工程师想要开发一种植物配方,在显微镜下意外观察到,这种配方能在3秒内杀灭螨虫。
这是一项了不起的突破,当时我已经用了无数的方案依然处在烂脸阶段,所以,我亲自试用了下。
结果奇迹发生了:
- 脸上出油大幅度减少,洗完一整天都不会出油。
- 坚持了一段时间,发红,发痒,红锺的感觉突然间消失了。
- 几个月之后,我的脸竟然全部恢复了正常,下巴,鼻子,三角区的严重的区域都变的正常了。
这次意外的经历,让我认识到:螨虫就是引发多种问题的元凶,如果螨虫不除,用什么护肤品都是白搭。
但......遗憾的是......
市面上也缺少真正有效的除螨产品,我们所能见到的除螨产品......不过是......一些低端的除螨皂,或一些有控油效果的洗面奶。
它们都很廉价,而且,对皮肤不够温和,还可能伤害本来已经千疮百孔的皮肤。
考虑到这些,我利用wro实验室的研发成果,创建了一个专业的除螨品牌:wro,立下了两个准则:
第一:wro只针对高端的人群。
不计成本,只做高端的,真正能杀螨的产品。
第二:wro专门针对严重螨虫的患者。
具体来说,我们的产品要专门解决:① 皮肤异常出油;② 毛孔粗大;③ 黑头,粉刺;④ 严重痘痘;⑤ 过敏;⑥ 皮肤异常敏感;
为此,wro实验室利用这项技术突破,开发了三款产品,分别是:① 除螨洗面奶;② 除螨洗发水;③ 除螨沐浴露。

我以其中除螨洗面奶为例子,来详细介绍下这款产品,产品是这样的:

成分非常温和 ph值:5.5(正常皮肤表面ph值为5.0-7.0):

由于我们针对的是高端人群,所以,实验室添加了13种很好的氨基酸,使用的时候,能产生一种类似棉花般轻柔的泡沫,每次洗脸都是一种享受:

利用发酵技术,从多种植物中提取了中药成分,杀螨率经权威部门检测,高达94.41%:

为什么除螨率能高达94.41%?这一切都是因为......我们可能......
作出了国内很棒的除螨配方!
研究人员从蛇床子,苦参,百部,苦菊花,芍药,薄荷中,利用日本的发酵提取技术,制成了一种抑螨素。

这个配方是功效很强的除螨配方,实验室的人员在显微镜下观察到:螨虫接触它,能在三秒内死亡:

三秒内死亡,是这款产品真正能杀螨的核心要素。为什么时间非常重要?
任何产品,都很难完全渗透到毛孔之中,所以,杀螨的核心是:当螨虫爬出毛孔,然后立即杀灭它。(如果它们有足够的时间跑回毛孔深处,你就无法消灭它们。)
晚上10-12点左右,以及早上6-9点左右,当它们爬出毛孔之时......
用它洗脸,螨虫就会立即被消灭,于是......螨虫就会越来越少,坚持7-15tian,脸上的螨虫就能减少大概一半......3个yue之后,将真正摆脱螨虫的困扰。
然后你会发现:
- 脸上出油每天都减少了,毛孔粗大,黑头每天都在改善。
- 粉刺,丘胗,痘痘,农包消退了。
- 皮肤越来越健康,过敏不严重了,红锺痒消失了。
- 能抵御外界的刺激,能抵抗每日的风吹日晒,也能抵御岁月的摧残。
产品在2017年上市,在京东,淘宝均有销售,但是我们更建议你通过wro官方公众号购买。
只需要扫描下面的二维码,关注wro公众号,就可以立即下单,我们当天就能给你发货。
恰逢夏季清螨大促,【活动时间:仅限今天】现在购买还可以享受历史底价优惠。

特别建议:由于螨虫不仅仅寄生在脸部,在头发,全身后背也会大量繁殖,所以,系统的除螨,根绝螨虫的复发,一定要搭配使用除螨洗发水以及除螨沐浴露。
使用评测:除螨后痘痘迅速好转
wro早期的用户,都是那些皮肤问题极为严重的人群,他们中有尝试过中药,偏方的人,有在专门的机构花费过很多钱,始终没有好转的人。
一旦他们开始使用wro除螨洗面奶,皮肤问题就一天天好转。
案例1:广州的张女士被脸上反反复复的痘痘折磨的痛不欲生,前前后后使用多达17种祛痘产品,都没有明显改善,直到用wro除螨洗面奶,痘痘才开始好转,严重的时候脸是这样的:

开始使用wro除螨洗面奶,15天皮肤竟然好转,变成了这样:

连续坚持使用,直到完全恢复了正常:

案例2:即使严重的敏感过敏肌肤,除螨后也迅速好转。上海的杨女士,过去不注重清螨,后来直接发展成了敏感肌肤,脸部很容易就过敏,且变得很脆弱,请看她脸上肌肤过敏有多严重:

使用了几十种方法,从小到几元钱的药膏到几千元的激光都做过,都没有好转,直到用wro除螨洗面奶之后,红,肿,痒减轻了,脸变成了这样:

继续使用,脸上出现重大的转折:

最终抗痘成功,皮肤恢复到95%的正常:

案例3:北京的肖女士,她告诉我之前一直认为螨虫不会有这么大的危害,但是真正当螨虫危害降临到自己身上时,才后悔没有及时除螨。
被螨虫长期侵蚀脸部,让她的脸直接变成敏感肌,布满*血丝红**,还容易潮红发热干燥蜕皮,让她难受至极,内心充满了自卑,直到遇到wro之前她的脸是这样子的:

坚持用了15天wro洗面奶之后,她的脸变成了这样:

现在她依然每天坚持用wro的系列产品,每隔一段时间都会给我们发来脸部皮肤改善的照片...
我至少直接接触了几百起这种案例,大部分人,一旦开始除螨,皮肤的各种的症状均有缓解,所以,接下来,我将尽我的努力,向所有问题肌肤人群传达这一正确的理念。
真诚的建议你,现在立即试试我们的产品,不会花费太多,但是却有奇迹般的效果。
恰逢夏季清螨大促,【活动时间:仅限今天】现在购买还可以享受历史底价优惠。
只需要扫描下面的二维码,关注wro公众号就能立即下单:

特别提醒:
假如你的皮肤有下面这些症状,反复调理都好不了:
① 皮肤油腻;② 毛孔粗大;③ 黑头;④ 粉刺;⑤ 痘痘,包括丘胗型,农包,结节型痘痘;⑥ 泛红,发痒;⑦ 发锺;⑧ 有灼烧感;⑨ 起水包,有渗出液;⑩ 起红疙瘩;⑪ 起皮胗;⑫ 脱皮起鳞屑。⑬ 皮肤屏障受损;⑭ 角质层变薄;⑮ *血丝红**;⑯ 烂脸。⑰ 皮炎⑱ 湿胗⑲ 眼睛疲劳瘙痒,反复长麦粒肿。
请一定要考虑,背后的元凶可能是:螨虫!
正常的皮肤,也就是完全健康的皮肤不需要除螨,因为一定量的螨虫可以和人体和谐共处,但是,一旦它引发了上面的症状,那就要......
立即,迅速,马上杀灭螨虫。
请毫不犹豫的选择我们的产品,不会花费你太多钱,实际上,你只需要将你家里的洗面奶换成一款除螨的洗面奶就行。
真诚的建议你现在就下单:

陈思潼
中国美容协会副会长
wro品牌创始人
专注螨虫以及问题肌肤的研究
广告
阅读 37
分享