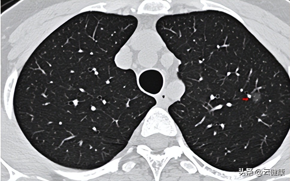
导语:肺作为人体进行气体交换的器官,在人体的正常运行中起着重要的作用。并且一直处于工作状态,从而保证体内进行正常的气体交换,使体内的细胞和组织得到充足的氧气供应。因此,肺部的健康是否严重影响我们的健康。
当我们的肺部出现健康问题时,比如出现一些危害健康的疾病,如肺气肿、肺炎、气管炎以及肺结节等,会导致肺泡的弹性降低,进而影响呼吸能力,所以日常生活中需要特别注意此外,肺作为呼吸器官,每天都有很多的粉尘颗粒物和微小生物体等通过呼吸沉积在肺内,肺很容易长出结节样的东西还真是不奇怪,还有各种感染性的疾病也会形成结节样改变。

大虾会不会刺激肺结节?
有传言称:患上肺结节可不能吃海鲜类食物,尤其是大虾,这是为何呢?虾肉营养丰富,含有各种维生素和微量元素,尤其是还富含优质蛋白质。适当吃些对身体有一定的养护作用。所以肺结节患者不能吃大虾并不科学,只要不是长时间过量吃,并不会刺激肺部,导致身体营养摄入失衡,损伤肺部健康。

医生提醒:别碰这3种食物,击退肺结节
1.香烟
在日常生活中,有很多吸烟很久的人,肺部会出现不适症状,容易被检查出患有肺结节。这类患者由于长期吸烟,让体内积累了大量*草烟**中所含有的尼古丁以及焦油之类的有害物质,长期以往,很容易损伤肺部,促使肺部结节增大,不利于身体健康。

2.咸菜
在我国常见的食用盐属于加碘盐,经常食用会使得体内有过多的碘元素,会加重身体及肺部的负担,导致结节的产生。而咸菜中就加入了很多碘盐,因此,肺结节患者要注意吃咸菜的量,适量吃就可以,但不要过量吃。

3.菠菜
菠菜中含有丰富的铁元素,并且在一定程度上多吃菠菜还有利于眼部健康,只不过菠菜的草酸含量丰富,摄入草酸过多会影响钙的吸收,有可能会导致肺部出现结石的情况,加重肺结节。
建议:肺结节患者牢记这3种养肺食物可以多吃
1.甘蔗
夏季要特别注意调养肺,中医理论上,夏天肝脏,灰尘多,肺容易受损伤,所以一定要注意保养,日常可以多吃养阴生津的食物,比如说甘蔗,给肺补充足够的水分,滋润肺部。

2.柠檬
柠檬中含有非常丰富的维生素c,尤其是对于女性朋友来讲,在平时多喝些柠檬水可以起到美容养颜的注意,同时柠檬还可以清除肺部内的毒素和垃圾,对于养肺有着非常好的效果。

3.散结营养
患上肺结节的人,注意饮食一定要学会调整,日常补充些能够养肺散结的营养,比如冬甘止西,它富含了十来种药食同源的食材,具有清肺润肺,抗炎消毒的作用,能快速消散肺部结节。所以,结节患者要坚持补充冬甘止西,这类营养元素能够彻底激发自身的免疫系统活性,有助于清除肺部的病原体和一些炎症介质,使患者肺部重新焕发活力,进而协助肺部清除结节。
