
作者:倒影无痕
水痘带状疱疹病毒(VZV)是一种人类嗜神经病毒,急性感染后潜伏于神经节神经元内。 细胞介导的免疫力下降为VZV重新激活提供了机会。其临床表现包括带状疱疹和VZV血管病(包括动脉瘤、脑和蛛网膜下腔出血、静脉窦血栓形成和缺血性卒中)。在VZV血管病中,成人颈动脉夹层病例很少报道。
病例简介
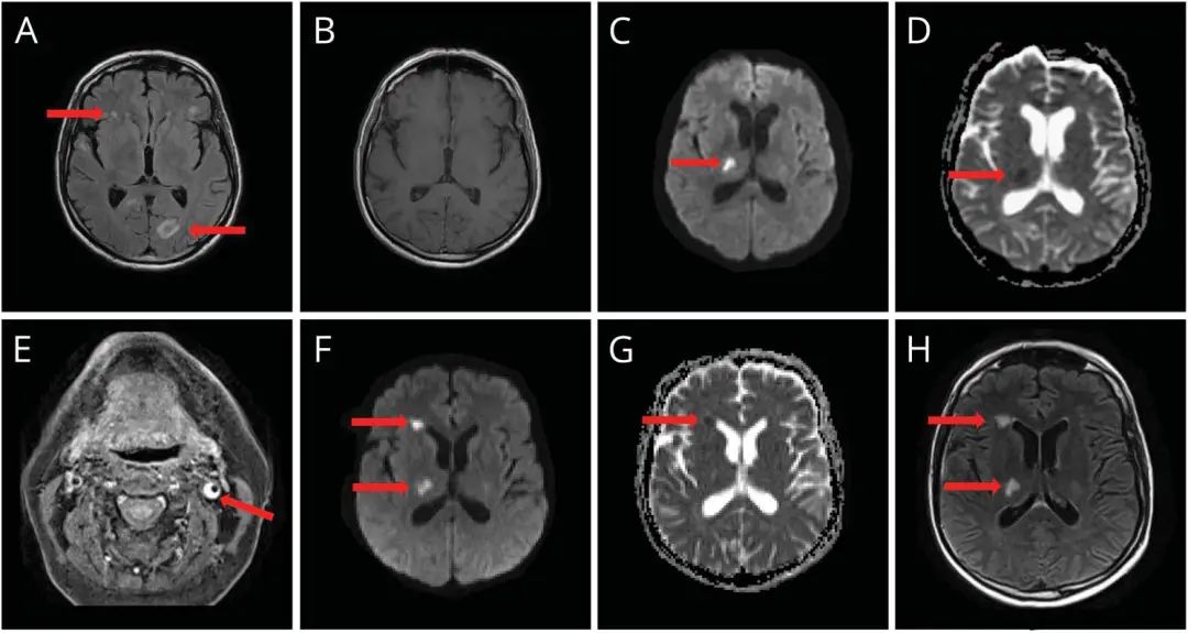
患者为65岁农民,因“不适、头痛、发烧和易怒2周”就诊。患者随后出现意识混乱及右侧第四颅神经麻痹。腰穿考虑为淋巴细胞性脑膜炎。CSF淋巴细胞为405个/μL,单核细胞90%,蛋白升高189 mg/dL(15-45 mg/dL),血清与CSF的葡萄糖比率正常。CSF VZV PCR提示阳性。患者否认有皮疹,HIV阴性,除年龄外未发现任何免疫抑制的因素。脑部MRI显示额叶和枕叶白质改变,无增强,也无弥散受限(图1,A和B)。患者接受了20天静脉注射阿昔洛韦治疗,临床症状得到改善。
一个月后,患者醒来时发现部分左偏瘫和偏身感觉障碍。复查头颅MRI显示右侧丘脑后外侧急性梗死(图1,C和D)与水痘血管病相符。第二次腰穿显示淋巴细胞增多,白细胞增至81个/μL(99%单核),蛋白进一步升高至206 mg/dL,无红细胞,VZV PCR阳性。
CT血管造影显示右侧大脑中脑动脉M2段血栓形成,左颈内动脉(ICA)壁增厚,从起始部到颅底狭窄,与颈动脉夹层一致,但无相关症状。1周后 T1脂抑制MRI证实了夹层(图1,E),而头颅MRI没有显示相应的梗塞,但确实显示了另外的无症状性右额梗死(图1,F和G)。

图1 患者相关影像结果。 (A)最初头颅MRI FLAIR序列显示额叶和左枕角深部白质异常; (B)增强序列未见明显强化; (C和D)DWI和ADC序列可见右侧丘脑急性梗死; (E)颈部T1脂肪饱和轴向MRI显示左颈内动脉壁同心高信号增厚,管腔口径减小,与夹层一致(红色箭头); (F和G)间隔随访的DWI(B1000)和ADC图,显示右额叶明显弥散受限,右侧丘脑稍弱弥散受限; (H)FLAIR序列可见相应改变。
患者接受了5天的静脉注射甲基强的松龙和2周的阿昔洛韦后,认知功能及左侧功能障碍得以恢复。2个月后影像学检查显示动脉夹层消失,无进一步缺血改变。
讨论
研究证实带状疱疹,特别是眼部带状疱疹的卒中风险较高。高达37%的病例没有皮疹,只有30%的病例PCR阳性。
很少有报道描述VZV感染导致颈动脉夹层。本病例是第四例,而在成年人中为第二例。既往报道的小儿颈动脉夹层发生在眼部带状疱疹后1个月和水痘2周。中等强度的运动与创伤与颈动脉夹层有关,但本患者未发现此类危险因素。也有研究报道在免疫力低下的人群中VZV血管病导致椎动脉瘤和夹层。VZV血管炎的病例应考虑免疫不全,是继发性现象或遗传因素的结果。最近,在患有中枢神经系统VZV血管炎的单卵双胞胎中发现了一种影响胞质DNA传感器聚合酶III的突变,并且该突变在体外显示出会削弱抗病毒反应并增加VZV复制,提示一部分患者可能具有对CNS易感性的遗传基础。
VZV血管病是病毒直接感染动脉所致,引起炎症和血管重塑,通常为多灶性,并导致缺血性或出血性卒中。通常同时影响大小动脉,其确切机制尚未完全阐明,但有证据表明水痘从神经节向经轴突血管逆行转运,随之而来的炎症级联反应导致内膜增生,并破坏内弹性层。长期以来,近期感染被认为是颈动脉夹层的危险因素,但有研究提示自发性夹层的炎症机制。
该病例支持颈动脉夹层作为VZV血管病变谱的一部分。如果怀疑存在VZV血管病变,建议对颈部血管进行血管造影。自发性颈动脉夹层的患者虽然很少见,但应寻求详细的病史,包括近期的感染症状和皮疹。怀疑最近有VZV感染者,应立即进行进一步调查。
医脉通整理自:Laura Williams, Francis Delaney, Grace Kenny, Michael Marnane, Eoin Kavanagh, Gerald Sheehan, Séan Murphy. Varicella zoster vasculopathy causing carotid artery dissection. First published January 6, 2020, DOI: https://doi.org/10.1212/CPJ.0000000000000802