“ 人活到九十九,全靠满口牙 ”,谁不想八、九十岁的时候还能满口牙,吃嘛嘛香呢?

然而不管是现在的老年人还是年轻人,甚至是3、4岁的娃娃,动不动就牙疼、牙洞、缺牙……

牙疼的翻来覆去睡不着、吃不下,只能去拔牙,连牙根管一起去掉了,稍微硬一点的东西都没法吃。
而且,据世卫组织统计,有龋齿牙洞、牙黑斑的人, 口腔问题是普通人的10倍以上: 常伴有牙结石、牙菌斑、黄牙,普遍嘴巴有浓烈的口臭,牙龈红肿出血、萎缩。
很多人选择去补牙,牙齿挖空不说,还疼的不行, 补了的牙也没有原来的好使。

口臭、牙黄、牙疼、烂牙还掉牙!明明我们每天都刷牙,为什么口腔问题却越来越多?牙医专家告诉你,这是由于你的 牙釉质受损啦 !
如果想要修复牙釉质,目前国际上有种通用的办法:就是用 牙釉质的主要成分——羟基磷灰石进行修补 。

今天要给大家推荐的,就是这款富含羟基磷灰石的 【白大师牙膏】 ,每天刷一刷,就能修护牙釉质,甚至国民媳妇孙茜也为它点赞~

白大师牙膏厉害的地方,就是率先加入了 成分——羟基磷灰石 ,采用独家专利(专利号CN201110123383.8)技术,专门“修护”受损的牙釉质。

专利证书
为了验证羟基磷灰石能否真正修复牙釉质,科研人员又做了以下实验:
①把含有羟基磷灰石的牙膏和他牌牙膏分别涂在两个鸡蛋上面,然后一起放到 浓度为1%的柠檬酸 中浸泡20个小时(模拟口腔牙齿环境)~

②当两个鸡蛋取出后,进行撞击实验,结果发现 涂了含有羟基磷灰石牙膏的鸡蛋完好无损 ,而另一个鸡蛋外壳瞬间粉碎了~


修护受损牙釉质
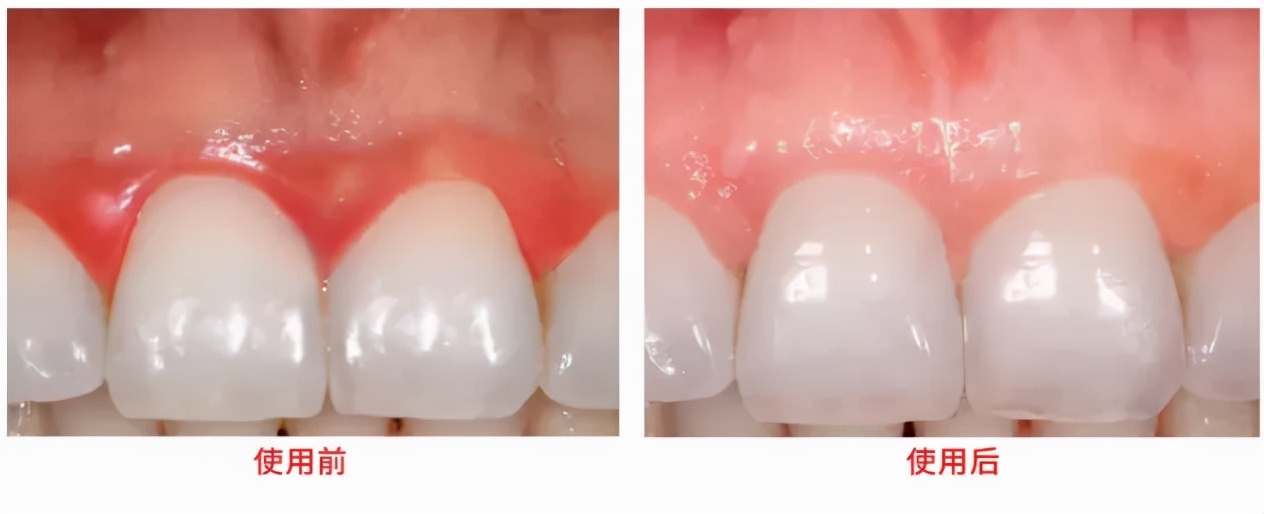
小编拿到牙膏刷牙的第一天,就感觉牙齿不敏感了,糖醋排骨吃起来香喷喷,口腔恢复正常酸碱度后,口腔 24小时清新 。


什么是牙釉质?说白了,牙釉质就是 牙齿外表的一层白色物质 。它是牙齿中最坚固的部分,就像“铠甲”一样,保护着整个牙齿。

牙釉质90%由羟基磷灰石 构成,这种成分很容易受到酸性物质的腐蚀,像我们每天吃肉类、水果,喝饮料,都容易造成牙齿损伤。

一旦牙釉质受损,就会出现 牙齿敏感、发黄、黄斑、杂色、蛀牙、牙裂纹 等问题。

白大师牙膏厉害的地方,就是率先加入了 成分——羟基磷灰石 ,采用独家专利技术,专门“修护”受损的牙釉质。

它里面的羟基磷灰石会和水中的自由基反应,快速修护牙釉质。

我们看了显微镜下的对比图: 涂了羟基磷灰石以后,鸡蛋外壳密度明星增加 ,而涂了普通牙膏的鸡蛋,密度依然很大孔隙。

和其他修护牙膏不同的是,白大师还加入了 人体必需微量元素——锶 ,能够帮助主要成分羟基磷灰石,更好地修护牙釉质并坚固牙齿。

像牙齿中常见的龋齿、缺口、牙龈红肿等,用白大师都能一刷轻松搞定!牙齿健康不松动, 80岁还有满口好牙 !

自从用了白大师,刷了不到一个月, 口腔问题通通改善了 。现在是吃嘛嘛香,胃口都好了不少!

现在这款白大师
已经上线了
拍1发6
买得越多越划算!
抢完即止哦!
点击直接抢购!!!
↓↓↓↓ ↓↓↓↓
商品详情
