
引言
特发性炎性肌病(IIM)是以四肢近端肌肉慢性炎症为特征性表现的一组异质性肌病,常表现为皮疹、对称性四肢近端肌痛、肌无力,同时可伴有间质性肺炎、心肌损害等器官损害。不仅如此,IIM容易并发恶性肿瘤,进一步降低了患者生存率。该病例的诊断过程告诉我们,IIM可累及多个系统,并需要与多种疾病鉴别,确定诊断亚型需结合自身抗体及组织活检,诊断较为困难。在临床中如遇IIM合并恶性肿瘤,应尽早结合辅助检查确定诊断,使患者能够尽快得到正确治疗,以免延误治疗。
皮疹4月余,肌肉酸痛、乏力……拟「皮疹待查:皮肌炎?」入院
患者是一名75岁的男性,曾因前列腺恶性肿瘤行前列腺摘除术,因房扑房颤行心脏射频消融术。有慢性支气管炎病史20余年,未行正规诊治;有抑郁病史;有幽闭恐惧症;否认高血压和糖尿病等慢性疾病史;有肺结核病史,未曾正规治疗;否认肝炎等传染病史;有吸烟史30年,已戒烟13年;否认饮酒史;其母有高血压病史,否认其他家族性遗传性疾病史。
2022年7月,患者在无明显诱因下出现颜面部紫红色皮疹,颈部、左腕部大片红斑,伴有双手指间关节、掌指关节出皮疹,伴有色素沉着,脱屑,皮肤粗糙,双侧大腿外侧可见暗红色皮疹,曾多家医院就诊,诊断过敏性皮炎,对症治疗无效。2022年10月,患者在无明显诱因下出现全身肌肉酸痛、伴有乏力致活动受限,进行性加重,故于2022年10月31日至医院就诊。
入院查体显示,患者全身皮肤粘膜无黄染,颜面部紫红色皮疹,颈部、左腕部大片红斑,伴有双手指间关节、掌指关节出皮疹,伴有色素沉着,脱屑,皮肤粗糙,双侧大腿外侧可见暗红色皮疹。颈部、腹股沟、腋下可及肿大的淋巴结(图1)。心电图显示该患者存在窦性心律及频发房性早搏,胸部CT显示左肺上叶尖后段胸膜下团块影,纵膈内多发软组织团块影级结节影(图2)。颅脑CT显示双侧基底节区及双侧半卵圆中心腔隙灶,考虑横纹肌溶解。予以对症处理效果欠佳,患者仍有全身发酸乏力伴皮肤大面积红疹需进一步诊治,故拟「 皮疹待查:皮肌炎? 」收治入院。

图1

图2
肺部占位合并纵隔肿物和皮疹……围绕两个主轴,展开检查
> 肺占位性病变合并纵隔肿物原因待查
•肺恶性肿瘤伴纵膈、肺门淋巴结转移:患者老年男性,有吸烟史。胸部CT增强扫描+三维重建显示,左肺上叶胸膜下、左上纵隔及肺门旁肿块,考虑恶性,伴纵隔淋巴结肿大,左侧胸腔少量积液。左肺上叶尖后段胸膜下团块影,较既往逐年增大。肿瘤指标中糖类抗原125、NSE升高,结合影像学表现, 考虑肺恶性肿瘤伴纵膈淋巴结转移可能 ,需进一步支气管镜、肺穿刺活检等明确病理。
•淋巴瘤:患者胸部CT增强扫描+三维重建显示,左肺上叶胸膜下、左上纵隔及肺门旁肿块,考虑恶性,伴纵隔淋巴结肿大,左侧胸腔少量积液;患者有明显双上肢水肿、颜面部水肿,考虑有淋巴道阻塞表现, 需考虑淋巴瘤可能 ,需待经皮肺肿块穿刺活检明确病理。
> 皮疹原因待查:
•皮肌炎:患者头、面、颈部红疹,有眶周红斑、颈部V形征,披肩征,双手Gottron征,伴肢体酸痛、乏力,肌酶升高, 需考虑皮肌炎可能 ,抗RO-52抗体74(++),进一步完善相关肌炎抗体谱以明确。
> 该患者同时合并以下疾病
-慢性阻塞性肺疾病:患者老年男性,有吸烟史,胸部CT提示肺气肿肺大泡,肺功能提示重度混合性通气功能障碍。故诊断。
-支气管扩张并感染:患者老年男性,既往有反复咳嗽、咳痰病史,胸部增强CT提示两肺散在慢性炎症,左肺下叶支气管扩张伴蜂窝状实变。故诊断。
-频发房性早搏:患者于2021年5月因房扑房颤行心脏射频消融术,治疗药物为富马酸比索洛尔和黛力新。心电图检查显示窦性心律频发房性早搏V1-V2呈rS型,r波呈胚胎型,请结合临床T波改变:T波Ⅱ、Ⅲ、aVF、V5-V6低平。故诊断。
故暂行苹果酸奈诺沙星抗感染治疗,氨茶碱、特布他林、布地奈德雾化舒张支气、氨溴索祛痰治疗和预防性抗凝治疗。建议行经皮穿刺肺活检以明确肺部病变性质,并完善支气管镜检查,上肢、下肢静脉彩超和自身抗体、肌炎抗体谱等检查。
进一步检查,精准确定病因……特发性炎性肌病并发小细胞肺癌
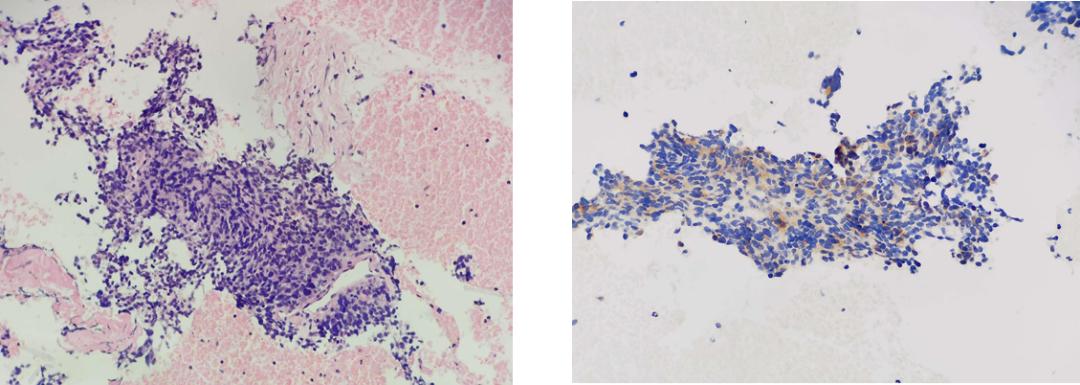
患者于2022年11月7日行CT引导下经皮穿刺肺活检(图3),后病理结果显示送检组织镜下为少许血凝块及肺泡组织,其间可见少量游离异型深染小圆细胞,参考免疫组化结果及患者影像学, 为小细胞恶性肿瘤,考虑小细胞神经内分泌癌 (图4、5)。 因患者自身抗体提示,抗TIF1γ抗体lgG+++、抗RO-52抗体lgG+++、抗核抗体ANA+1:320(核颗粒型),故诊断为特发性炎性肌病——肿瘤相关性肌炎。

图3

图4

图5
行抗炎、抗感染治疗……因疾病转归,行个体化对症治疗
针对炎性肌病,在临床上全面评估患者情况后遵循个体化原则,首选糖皮质激素,泼尼松1mg/(kg.d)。患者2022年11月11日出现腹痛,CT提示小肠不全梗阻,附见肺气肿伴肺大泡形成,两侧存在胸腔积液并以左侧为著;肝及右肾囊性灶;左肾小结石;躯干皮下复发软组织水肿(图6)。因患者小细胞肺癌广泛期,合并小肠梗阻,一般情况差,无法耐受化疗及肿瘤的相关治疗,与患者家属沟通病情后,暂未行肿瘤的病因治疗。
在外科会诊后,予禁食、胃肠减压,服用石蜡油润肠通便,予以抗感染,抑酸护胃,补液营养支持治疗。但患者于11月19日再次出现腹痛加重,考虑肠梗阻无好转、有肠系膜扭转可能,有手术指征但患者基础情况极差,围手术期死亡风险极高,患者家属拒绝行一切有创治疗,故仅予以止痛解痉等对症处理后办理自动出院。

图6
「皮疹数月」入院,最终确诊为特发性炎性肌病并发小细胞肺癌……回顾病例,总结经验
1、特发性炎性肌病(IIM)是以四肢近端肌肉慢性炎症为特征性表现的一组异质性肌病。临床表现为对称性四肢近端肌无力,四肢远端肌群受累者少见,眼肌及面部肌肉几乎不受影响,皮肤表现为向阳性皮疹,如眶周水肿紫红斑、V型征和披肩征,Gottron’s疹,技工手及甲周病变。该患者以皮疹为主要临床表现,随后出现肌无力、肌肉酸痛,症状逐渐加重才就诊,延误了最佳治疗时机。作为临床医师,需加强对该疾病典型临床表现的认识。
2、肌炎自身抗体分为肌炎特异性自身抗体(MSA)和肌炎相关性自身抗体(MAA)。MSA与IIM亚型、临床症状、临床表型、并发症、治疗反应和预后密切相关。MSA是支持IIM诊断的重要血清学指标,是与其他CTD进行鉴别诊断的重要参考指标。但在大部分基层医院,肌炎抗体谱的普及率不是太高,无法早期明确诊断,同时也导致基层医师对该病的认识不足,早期诊断率不高。
3、IIM容易并发恶性肿瘤,皮肌炎、高龄、男性、伴吞咽困难、皮肤溃疡以及抗TIF1γ抗体阳性的IIM患者,发生恶性肿瘤的风险增高。多项研究证明成人DM患者抗TIF1γ抗体与肿瘤的发生有关。探索这类患者特异和敏感的生物标志物,对肿瘤的早期诊断及了解其发病机制均具有重要的临床意义。
4、IIM患病率较低,临床表现呈高度异质性,常常累及多个系统及器官,患者可能就诊于多个科室。目前,糖皮质激素是IIM治疗的一线用药。严重的病例可短期、大量静脉内注射甲泼尼龙,避免长期使用,若单用糖皮质激素不能控制疾病进展或者内脏器官受累时,考虑使用免疫*制剂抑**。合并肿瘤的IIM患者单若纯使用激素及免疫*制剂抑**治疗,症状改善并不理想。
5、综上,IIM为一种少见的免疫疾病,且患者病程长,起病隐匿,可累及多个系统,并需要与多种疾病鉴别,确定诊断亚型需结合自身抗体及组织活检,故诊断困难。临床中如遇到合并恶性肿瘤,预后差,应尽早结合辅助检查确定诊断,使患者能够尽快得到正确治疗。
专家介绍

杨俊
主治医师,复旦大学附属中山医院青浦分院 呼吸与危重症医学科;从事呼吸内科医、教、研工作十余年,主要从事 肺癌、慢性气道炎症性疾病的基础与临床研究工作。对于慢性阻塞性肺疾病、支气管哮喘、肺部感染、恶性肿瘤及呼吸危重症疾病等具有丰富的临床诊治经验。临床工作及理论知识扎实、全面。发表核心期刊论文5篇,主持区卫健委课题1项。

杜春玲
医学博士 主任医师 复旦大学博导;上海市医学会呼吸病专科分会第十一届 委员;上海市医师协会呼吸内科医师分会第二届委员会 委员;中国康复医学会呼吸康复专业委员会 委员;中国医药教育协会呼吸病康复委员会 委员;中国医药教育协会介入微创呼吸分会 委员;上海市女医师协会肺癌专业委员会 委员;上海市中西医结合学会呼吸系统疾病专业委员会 委员。
* 文章仅供医疗卫生相关从业者阅读参考
本文完
责编:Jerry