现在国内某些地方,倒爷们倒腾的“最好”的金融理财产品,已经不是什么口罩、额温枪了,而是呼吸机。
有倒爷几千台地囤货,把原本一两万的呼吸机炒到七八万。
某款型号的简易呼吸机平时售价5万,3月底经销商报价15万,且仅限当日。
如果要提现货,30万一台。
一天一个价。
某种程度上,倒爷反映了一个东西供不应求的紧张程度。
一位医生说:“对于新冠肺炎病人来说,呼吸机就是救命机!”

呼吸机让重症呼吸衰竭患者的病死率从1970年代90%以上,降到40%左右,挽救了许多生命。
倒爷昧着良心炒货,是谁要这些呼吸机呢?国内医院基本不需要,都是国外急需。
西方国家缺呼吸机缺到了什么份儿上?


俩人共用一台?不不不根本不够。
要4个人共用一台。

加拿大医生更“牛”,改造出9人共用1台的呼吸机。

美国6家医师协会联合警告,说这一做法“将恶化所有人的病情,可能导致更高的死亡率”。
英国首相给特朗普打电话,一句都不寒暄,上来就是“我们需要呼吸机。”

英国倒是没让人共用,而是直接联系兽医,把三四百台宠物用呼吸机拉来救急。

西班牙马德里的医生眼含热泪地说:
“65岁以上的老人们被迫摘掉呼吸机,用镇静药物来压制痛苦,静静等待死亡降临。因为为数不多的呼吸机,要留给那些更年轻的人们。”

纽约州州长说,现在全美各州已经撕破脸,竞价争抢中国呼吸机。
特朗普一再保证,联邦政府还存了9400台的储备,但卫生官员发现,库存里至少有2109台呼吸机没法用,得先维修。

上礼拜有个段子,说纽约州长气急了算错数,他要3万台,联邦政府说给400台,剩下26000(应该是29600)个人怎么办?

于是联邦政府就按他说的,给他发了4000台——缺胳膊少腿的呼吸机,有的整机损坏,有的缺少关键零件。
加州收了4252台呼吸机,其中1000台需要返修。
全美数千台呼吸机电池耗尽,氧气管丢失。

特朗普也知道捉襟见肘,动用《国防生产法》强迫通用生产4万台呼吸机。

而通用至今还在改造工厂,最早也只能在4月底生产出6000台。
马斯克举小手:俺们特斯拉可以造,“呼吸机并不难。”
第一批“特斯拉”呼吸机已经捐到了医院,结果被网友扒出来,都是瑞思迈(ResMed)产的——你往箱子上贴特斯拉的大Logo是几个意思?


不只通用和特斯拉,德国大众、英国戴森、法国空客、日本丰田等企业纷纷响应政府,宣布改造工厂、设计投产呼吸机。
有点儿比亚迪、五菱宏光造口罩内味了。
按照特朗普的乐观预期,美国100天内要准备好10万台呼吸机。
但是至今为止我们看到的是什么呢?
是这种1天就能画出来的感人设计图。

福特公司设计的呼吸机构造
他们以为“大干快上”准能行。
对不起,那是(中国)造口罩。
就欧美现在这烂摊子,别说车企改产,连我们中国能做的也只是杯水车薪。
2月份一整个月,中国呼吸机厂商“007”三班倒不间断生产,一共生产了多少呢?1.5万台。

全球最大的呼吸机制造商之一——瑞士哈美顿医疗公司,说已经把产能提高了三四成,现在每天能生产多少呢?80台。
德国政府早早跟德尔格公司订了1万台,看起来很是“未雨绸缪”了,但这家公司需要一整年才能生产完。
实在是等不起啊。
现在全世界一周新增病例多少?50-60万。
据调查,约17%的新冠病人需要上呼吸机。
也就是说,全球这一周住进医院的新冠病人,需要配上近10万台呼吸机。
而中国作为呼吸机生产大国,一个月产能满足不了这一周“新增”的六分之一。
我们的工人累死累活一个月,够全世界一天的新增用量。

现在全球呼吸机需求总量,是全球医院现有呼吸机数量的10倍。
有人说,这是挣外汇的好机会呀,咱们抓紧扩产,肯定能超过国外那些车企。
对不起,做不到。
医用呼吸机的供应链,中国说了不算,国外说了也不算。
呼吸机的生产,比口罩复杂太多了。

一台呼吸机身上有超过1000个零部件,有“研发在欧洲,制造在中国,配套在全球”的说法。
拿中国呼吸机来说,有很多关键零部件需要从国外进口。
比如呼吸机的“发动机”——涡轮风机,可能在德国、瑞士生产;
传感器可能来自于瑞士,或美国的霍尼韦尔;
微型比例阀可能来自德国或者日本(比如SMC);
软件可能来自印度。
任何国家的呼吸机制造公司,都要去找配件,而这些配件供应商常常又是同一批人。
即便是车企也要花很大时间整合供应链,无法迅速提高量产。

全球疫情爆发,现在一些上游零部件产能受阻,中国呼吸机工厂被“卡了脖子”。
有的供应商国家航班停飞,去采购的飞机根本回不来。
鱼跃医疗负责人说:“目前因为受制于原材料供应,产量只有实际产能的三分之一。”

“我们会努力在国内寻找可替代的配件,但这不是一蹴而就的。”
一台呼吸机要想实现100%的国产替代,还有很长的路要走。
最近有消息称,中国的航天长峰研制出一款ICU级别的重症呼吸机,但目前它还没取得医疗器械产品注册证,没量产,更没有销售。
虽然生产受限,但毕竟中国的呼吸机产能占世界的五分之一,而且几乎可以100%出口——这是很多国家做不到的。
所以现在,来自世界各地的订单像雪片一样向中国飞来,用彭博社的话说:“现在世界上没有一个国家不想从中国购买呼吸机。”
单一企业最多接到来自35个国家的呼吸机订单。

西班牙政府官员甚至急到自己跑到中国工厂里来提货。
有的中国呼吸机企业订单排到了7月份,新订单都不接了。
而即便目前所有呼吸机头部企业产能全部翻番,要满足全球呼吸机需求,至少需要一年的时间。
德尔格公司总裁直言,特朗普100天10万台呼吸机是“不可能完成的任务”。


那完不成怎么办?只能是眼睁睁看着更多的轻症病人转重,重症病人等死。
一个新冠病人的2020年可能是这样度过的:
2块钱的口罩管够的时候,他不戴,“出来嗨啊”;
等他想起戴口罩的时候,20欧一个也抢不到了;
当他病到呼吸困难的时候,20万一台的呼吸机不够了;
当他病入膏肓、无法呼吸的时候,只有200万一台的ECMO可以续命,但医院里区区几台ECMO早就被占满了;
最后,当他告别人世的时候,发现连太平间也不够了。
我不想诅咒谁,我只是揭示一个事实:
在这场疫情里,更早预防,用的医疗器械更廉价,供应更充足,更容易恢复生产。
而政府和民众反应越迟缓,危重患者就越多,要上的医疗器械越贵,越稀缺,越难在短期内扩产。

拖,只有一个结果,就是垮。
我们所有中国人应该感到庆幸的一点是,是14亿人早早戴起口罩、居家隔离,加上湖北的及时封城,最终没有让新冠疫情大肆蔓延全国,我们可以集中优势医疗资源保障湖北,否则现在喊“呼吸机救命!”的就是我们了。
美国重症医学会估计,大流行期间,美国总共将有96万名新冠患者需要用呼吸机,但美国只有不到20万台,缺口近70万台。
而美国疾控中心主任弗里登说“最严重的情况下,多少台呼吸机都不够。”

有人可能觉得呼吸机这东西掰扯半天,离自己太远了,其实一点都不远。
往远了说,你听过这句话没有:
人生的结局只有两种,插管的和不插管的。
所谓“插管”,就是为重症病人上呼吸机做的一种准备。

而往近了说,你自己,或者你的家人、室友,肯定有打呼噜的人吧?
在全中国,睡觉打鼾的人有2个亿,其中发生过呼吸暂停的人有5000万。
长期打呼噜是很多慢性病的源头,而治疗这种病(睡眠呼吸综合征)最有效的长期手段就是上呼吸机。

当然,家用呼吸机就可以(请遵医嘱),不用上医用的。
所以说呼吸机离我们一点也不远。
那如果自己或家人真的用到呼吸机时,中国造的呼吸机是个什么水平呢?
家用的、不用插管的无创呼吸机(不会造成创伤),工艺相对简单,国产品牌占国内市场的40%,还能实现出口。


而医院里要插管的有创呼吸机,国产品牌虽然能做,但进口品牌占了国内80%以上的市场份额。
中国呼吸机国产化率低,原因是这个市场太小。
2018年,中国医用呼吸机需求量是1.47万台,也就是今年2月我们把过去一年的量都生产出来了。

业内人士统计,我国的呼吸机存量是8万台,如果不是遇到重大疫情,呼吸机的日常需求量并不多,所以涉足的企业不多。
一台就10万-50万人民币,买一台用十年问题不大。
所以后发国家重金研发、赶超先发国家、拿下全供应链的动力严重不足。
这次疫情有希望加速推动呼吸机零部件国产化。
而说到用机器救治新冠肺炎患者,有一个机器比呼吸机可牛多了,就是最近被媒体炒得很热的ECMO。
呼吸机是“辅助”你呼吸,而ECMO能“代替”你呼吸。

从1月22号,湖北黄冈有第一例重症病人在ECMO治疗下康复,这款“续命神器”的名气就越来越大,此后上海、甘肃等地不断传出ECMO治疗新冠痊愈出院的消息。
江苏援汉医疗队医疗组副组长乔莉说:“我们一旦用上这种机器,就是掰开死神的手,把病人硬往回拽。”
有个耸人听闻的病例是这样的:
一个女病人躺在病床上有说有笑地吃苹果,她旁边的监测仪上心跳显示是一条水平线。

不用心跳人也能活?
这个女病人得的是爆发性心肌炎,心肺全挂了,住院期间给她接上ECMO,不呼吸?没关系;没心跳?也没关系。
ECMO的俗称就是“人工肺”“人工心”,人插上它,心肺都可以看做废物。
安贞医院心脏外科危重症中心主任侯晓彤说:“ECMO用多了,你会觉得自己是上帝。”

有次侯晓彤抢救一个病人,心脏按压了2个小时无效。
外科大夫说上ECMO,侯晓彤拒绝了,这样的病人肯定活不了。
后来外科主任说咱们还是努力一下吧,于是上了ECMO。
结果第2天病人醒了,第4天ECMO撤了,人活了。
甚至有研究发现,把ECMO插在遗体上,可以提高待移植器官的存活率……
ECMO就是这么“神奇”,它重新界定了生与死的界限。
它是怎么做到这一点的?你需要稍微理解一下新冠病毒对人体做了什么:
咱们的肺就像个海绵,上面有密密麻麻的3亿个肺泡,全铺展开大概50-100平米,相当于半个到一个羽毛球场。

这些肺泡不停地在做气体交换,吸入更多氧气,排出更多二氧化碳。
我们正常的肺,握上去就像个海绵,里面含气。
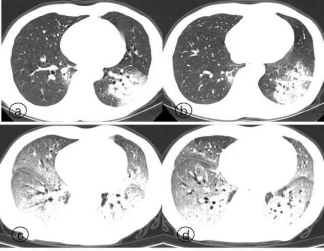
而解剖发现,新冠死者的肺遭到病毒攻击,肺泡损伤,有大量粘稠的分泌物从肺泡里溢出来,CT上看肺变成了一大片白色,医学上叫“白肺”。

患者逐渐演变为白肺的过程
打个不严谨的比方,白肺就像你洗手的时候,把肥皂放在海绵上,过不了几天,你捏一捏海绵,那个白腻腻、黏唧唧的样子,它没法再吸水(吸氧换气)了。
轻症患者用呼吸机能维持,是因为他们的肺还能部分工作;
而重症患者的“白肺”已经报废了,你再怎么给他上呼吸机也白搭,最后就会因呼吸衰竭而死。
而接上ECMO,就是外接了一个机器肺,一边先让它替肺跑着,维持生命,一边让肺充分休息,同时辅助其他手段治疗,让肺能靠人体免疫力自己扛回来、恢复如初。
ECMO不禁让人反思:
你为什要呼吸?是为了让更多氧气进入静脉血,变成含氧量更高的动脉血。
你为什么要心跳?是为了把动脉血泵到全身去。
肺+心这对CP维持着身体的新陈代谢,人就能活蹦乱跳。
可你真的需要呼吸和心跳吗?不!你只需要把静脉血变成动脉血,再泵到全身。

而ECMO就是干这个的,把静脉血抽出来,充分地吸收氧气(同时排出二氧化碳),再打回到身体里。
所以有人问ECMO算不算呼吸机?不算,因为一个人上了ECMO,不用呼吸,照样能活得好好的。

而ECMO设备的核心难点在于,怎么像肺泡一样“完美”地工作:
能让空气中的氧气进来
能让二氧化碳出去
能几乎不让空气中78%的氮气进来(血液里氮气含量很少)
血浆不要渗漏出去

科学家和工程师们创造出了一种“膜肺”装置,也就是上图中红色的立方体。
打个比方,它里面的结构比较像你家的暖气片。


“暖气片”里充满了刚抽出来的静脉血,暖气片中间的空腔(中空纤维)有空气流通,透过“暖气片”材料——一层管道状的膜,氧气进入血液,二氧化碳排到空气中,同时血液不渗出,氮气不渗入。

真正代替“呼吸”功能的这些管状“膜”,是很多束中空微孔纤维膜丝,这个丝有多细呢?0.1μm到5μm之间,不到头发丝直径的二十分之一。
科学家们试遍了世界上各种各样的材料,发现只有一种材料能完美符合ECMO所有变态的要求,叫PMP(聚甲基戊烯)。
这个东西全世界只有一家企业能量产,就是你很熟悉的那家口罩企业3M公司,所以价格垄断,奇货可居。
除了这个人工膜肺代替肺泡作气体交换,ECMO还有一个核心就是用“离心泵”代替心脏泵血。

有了人工肺+人工心,加上其他很多辅助部件,ECMO就可以跑起来了。

这个机器有多金贵?截止到现在,全中国也就500台左右,分散在260家医院;英格兰只有15台,美国264台,日本1412台,德国只有40家医院配备了ECMO。
疫情期间的湖北,集中了各地征调和紧急进口的100多台ECMO,援鄂医疗队有条件的基本都带上了它。

华西医院支援的ECMO设备
目前咱们国家能造这个机器吗?答案是不能,不仅不能,甚至连代工厂都没有。
全部ECMO整机100%依赖进口。
国内有个别企业能生产水箱、套管之类的辅助部件,整个供应链也不在中国。
中国采购的ECMO平均价是165万元,最高的347万,在医疗器械里算中上,但不是最贵的。
而在医院,有“ECMO一响,黄金万两”的说法。
对患者家属来说,负担最重的是耗材。
只要上了ECMO,就得用耗材(泵头、膜肺、管道等),一包撕开就是5万,用一周就得换。
相当于“打印机不贵,拿墨盒挣你钱。”


ECMO耗材包
2018年,国内采购ECMO设备花了4455万,采购耗材花了2个亿。
所以上了ECMO的患者在ICU病房,两周花费20万,一个月三五十万一点也不稀奇。
在发达国家用ECMO的治疗费用在3.8万-53万美金(26万-371万人民币)之间,少则一辆车,多则一套房。

要是真能都“起死回生”,这钱花的也值了。
但真相是,100个因心肺衰竭(不是因新冠)上了ECMO的病人,只有41个能活下来,一大半人花了钱依然是死,除了治不好病,还可能引发血栓、感染等各种并发症——ECMO并不完美。

所以它是最容易引起医疗纠纷、家属欠账的一种医疗手段。
对于低收入家庭,几十万打水漂,人也没救回来,等于是双重打击。
所幸在这次新冠疫情中,ECMO治疗被临时纳入了医保报销范围,有的新冠患者总治疗费高达70-100多万人民币,自己也不用花一分钱,全部都是国家买单。

生命是不能用金钱来衡量的。
安贞医院心外科每年上万例手术,10000个病人中会有125人死亡,用了ECMO以后死亡人数降到了100人,等于有1/5原本必死的人被救活了。
对于ECMO的正确认识就是“能救一个是一个”:不要总是看那一多半上了机器依然去世的病人,而要看那些没有ECMO必死的病人重获新生。

如果ECMO能尽早实现国产化,一定会有更多的低收入家庭用得起,也就一定能挽回更多的生命。
好消息是,ECMO国产化已经在路上了。
山东大学电气工程学院教授刘淑琴3月底对外宣布,她的团队做出了一款国产ECMO样机。

有人说大学教授怎么也来“蹭疫情热点”了?其实从2008年开始,刘淑琴团队就开始研发国产ECMO,埋头攻关12年才有了今天的阶段性成果。

“我们课题组有16个人,涉及山东大学电气工程、机械工程、计算机控制、流体力学、材料、化学等多个专业,还包括山东大学齐鲁医学院心外、重症、急诊的专家,相当于把很多专业结合了起来。”

她们的核心技术是成功研发出了作为“人工心”的磁悬浮离心泵。

传统的离心泵容易产生较高的摩擦力和热量,对血细胞破坏大,而磁悬浮离心泵对血液损伤小,而且经久耐用。
你别看这样机看着有些简陋,在动物血液实验中,刘教授的4台离心泵已经同时连续运行15天零故障。

刘淑琴表示,样机各项参数可以和市占率超70%的德国Maquet产品相媲美,指标达到国际先进水平,而泵头还可以跟进口ECMO兼容,替代进口泵,已申请发明专利3项。
刘教授说:“我们下一步就是探讨研究ECMO的产业化问题,具体量产的时间还很难说,最后要看企业情况、拿注册证的情况。”
消息发布一个礼拜,全国很多公司都找上门来。
而另一家杭州公司科百特也正在努力解决“膜肺”的问题,2018年他们就研制出了PMP中空纤维膜样品,目前正在进行临床试验,产品预计今年问世。

所以在未来几年,有了国产的“人工心”和“人工肺”,比起呼吸机100%国产化的遥遥无期,我们有望看到ECMO核心部件乃至整机的国产化先实现。
有机构预估到2026年,全球ECMO市场能够达到3.778亿美元(约27亿人民币)。
照今年新冠疫情的发展趋势,ECMO产业的爆发会提前到来。

单位:百万美元
或许在未来一二十年,我们还能看到国产ECMO出口到国外,跟国际巨头同台竞争的景象。
刘淑琴教授预计,一旦实现ECMO整机国产化,ECMO设备价格能下降至少1/3,原来150万的整机降到100万人民币,原来4-6万元一套的耗材降到3万元左右。
ECMO代表了中国医疗器械实力的稳步攀升。
目前,中国国产医疗器械依旧以中低端为主,高端产品主要依赖进口,但最近几年正呈现出国产替代加速的趋势。

2015—2019年进口和国产器械国内获批情况 数据来源:火石创造
X线拍片机、B超、生化仪等国产二类器械(橘色线),对安全性应当加以控制的器械,获批数量远大于进口二类器械(红色线)。
要植入人体,用于支持、维持生命的国产三类医疗器械(绿色线),也就是对安全性必须严格控制的医疗器械,也开始出现增长趋势,说明在高端器械市场,国产替代在发力加速。
过去5年,中国医疗器械公司数量从2015年的84万家,增加到2019年的204万家,市场规模也从2015年的3080亿增长到2019年的6283亿元,产生了很多本土龙头企业。

作为全球仅次于美国的第二大医疗器械市场,我们有理由相信未来的中国,会有更多种类的医疗器械像ECMO国产化一样实现零的突破,逐渐摆脱呼吸机那样“做世界代工厂、做不了核心部件”的中低端制造模式。

我国部分临床用量大 但主要依赖进口设备的细分领域
卢克文在最近的文章里写了这样一段话:
在大灾大难面前,我们才会认识到,保卫我们的,就是一个国家的生产力,一个国家能生产的高精尖产品越多,这个国家的国民就越有安全感。
中国4万名援鄂医护人员之所以能做到0感染的背后,是中国日产医用防护服20多万套、日产1.16亿只口罩的工业系统。
要保卫病人,先要保卫医生,要保卫医生,先得有完整齐备的工业系统。
你可以盯着一个人的痛苦说是悲剧,你也可以盯着一百个人的痛苦说是惨剧,但你如果放大了去看,去跟其他国家比较,看看我们的工业系统保卫了多少人的生死。

你可以说中国医疗器械行业还不够高端先进全覆盖,你也可以吹欧美国家掌握多少高精尖医疗器械的核心技术。
但是在疫情面前,他们还是会为一只口罩、一套防护服、一台呼吸机急得抓耳挠腮,最后不得不来求中国。
如果拉不下脸来求中国,就只能靠抢。

或者还有一招——找代购。
3月底巴西要从中国订14000个呼吸机,被我国商务部一口否决了,因为巴西国内疫情根本不需要那么多呼吸机,极有可能是为美国“代购”的。

兜兜转转,最后都是中国制造。
因为只有中国的医疗器械生产力能富裕到供给世界。
而在基础医疗器械产业被掏空的国家,成千上万的医护就只能“裸奔”去救人。














中国不当“东郭先生”,我们捐物资,是因为我们还把这个地球当做休戚与共的命运共同体。
接下来,请你们堂堂正正地花钱跟我们买东西。
如果一而再、再而三地无底线抹黑中国、偷找代购、劫掠物资,你火烧眉毛是你的事,我卖不卖你就是我的事了。

