妇科阴式超声检查哪些情况不能做 (阴部超声检查什么时候做)

阴部超声检查什么时候做,妇科阴式超声检查方法

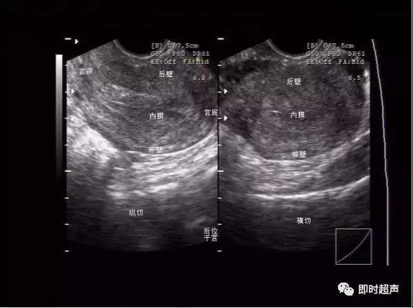
阴超,也就是阴道B超,又称腔内B超,是将B超探头放入阴道或者直肠进行超声诊断的方法,特别适合于观察小骨盆内的盆腔脏器、排卵监测、宫外孕的确诊、子宫占位性疾病以及多囊卵巢综合症和巧克力囊肿的诊断。在超声机上再增加一个探头,套上薄膜,由医生或患者自己将探头伸入阴道进行检查,重点检查宫颈和子宫内膜。

阴部超声检查什么时候做,妇科阴式超声检查方法

阴式超声探头位置示意图

阴道超声检查最大的优点是不需要憋尿,且由于接近子宫和卵巢,图像清晰分辨率高,检查结果较腹部超声准确。

阴超检查适应症:

1、正常月经周期子宫内膜声像图表现及正常卵巢内成熟与未成熟卵泡(所谓“测排卵”)。

2、子宫良性肿瘤:(1)子宫腺肌病;(2)子宫肌瘤。

3、子宫恶性肿瘤:(1)子宫内膜癌 ;(2)子宫颈癌。

4、卵巢非赘生性囊肿:(1)多囊肿卵巢综合症; ( 2)巧克力囊肿。

5、卵巢肿瘤。

6、尽早明确诊断早期妊娠。

7、异常早期妊娠特别是异位妊娠(即“宫外孕”),由于宫外孕是临床急症,抢救不及时亦致死亡。

阴超检查缺点

不适合阴道有出血者,如月经期、阴道不规则出血。也不适合有传染病者,如阴道炎、性病。对其他一些宫颈、阴道、外阴疾病者也要谨慎选用,以防止感染、引起出血。

阴部超声检查什么时候做,妇科阴式超声检查方法

阴部超声检查什么时候做,妇科阴式超声检查方法

图像方位的确认

阴部超声检查什么时候做,妇科阴式超声检查方法

双侧卵巢的显示,与腹式超声比较,内部结构明显清晰。图片上可见数个未成熟卵泡。

如何找到卵巢

一般卵巢位于子宫角的两侧

沿着子宫外部推进探头是寻找的关键

实在难找时,你可以经腹部大致了解卵巢位置,再去经过阴道寻找。

阴道超声的检查方法

超声检查无损伤且重复性好,能完整的显示盆腔脏器,因此其检查在妇产科及计划生育诊断中已占有很重要的位置。经阴道超声检查是在腹部超声基础上发展起来的因采用特殊的探头,经阴道贴近盆腔其分辨力更清晰,而且病人不需要充盈膀胱,简便,易行。能够清晰的显示盆腔脏器的细微结构,特别是对盆腔脏器的疾病的早期发现,诊断以及治疗均优于腹部超声。因此它在临床的应用使妇科疾病诊断上了一个重要的发展。

阴部超声检查什么时候做,妇科阴式超声检查方法

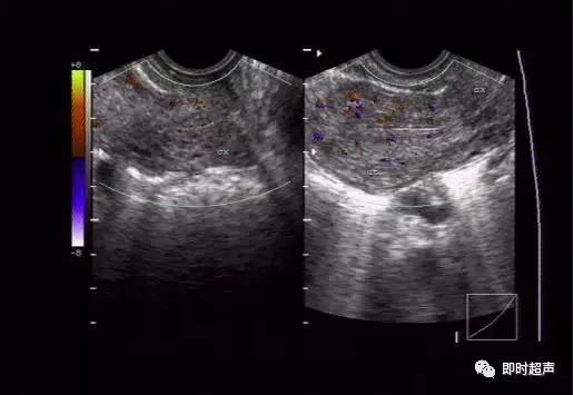
正常子宫及宫颈血流图

优点

分辨率高,图像清晰,病人不需要充盈膀胱,对肥胖病人及肠气较多的病人更为合适

缺点

对于较大肿块难以显示,对外生殖器畸形,炎症及未婚妇女不宜适用

子宫肌瘤

子宫肌瘤多生长在子宫体部,最常见者为壁间肌瘤,其次为浆膜下肌瘤和粘膜下肌瘤。子宫颈部也可有肌瘤生长。

【临床表现】

月经改变,肌瘤较大可扪及腹部包块,粘膜下肌瘤可能引起不孕。

【超声表现】

(1) 子宫大小的改变。

(2) 肌瘤的形态及大小。肌瘤的回声

(3) 肌瘤在子宫的位置及内内膜线的改变

(4) 肌瘤的变性:玻璃样变,红色样变,钙化

(5) 鉴别诊断

子宫腺肌症

好发部位:以子宫后壁多见,其次为宫底部

【临床表现】

1.痛经,月经量增多

TVCD超声声像图

1.子宫增大,体积增大,轮廓不规则,后壁增厚,内膜线前移

2.异位的肌层回声增强或呈网状回声内膜线前移,内膜线居中,或稍偏前;

3.宫体回声分布不均;

4.若为腺肌瘤,则形成局部团块,边界欠清晰。

腺肌瘤

(1)瘤体单发呈球形,多发时可融合成分叶状或不规则形。

(2)瘤体表面光滑或不光滑,包膜清晰或缺乏。

(3)肌瘤本身可呈实质性均匀回声、低回声或强回声区,内部可有细小、散在暗淡光点或小暗区。

子宫内膜息肉

分真性和假性息肉两种。

产生原因主要是内膜局限性增生和炎症。

【临床表现】

月经改变:量多,经期延长。阴道分泌物增加:

TVUS表现:回声增强区

功能性和非功能性――随月经脱落否

因炎症等因素的作用而形成,由内腺体及间质组成的肿块,常向宫腔内突起。

【临床表现】

由于内膜面积增加

月经改变:量多,经期延长。

阴道分泌物增加:

阴部超声检查什么时候做,妇科阴式超声检查方法

炎性积液和血性积液比较。另一声像图可见清晰宫颈管及宫颈内外口。

炎性液体内可见肠管飘动。血性液体内见较密集点状稍强回声。

子宫内膜增生症

【临床表现】

月经的改变

经阴道超声声像图特征:内膜的改变

子宫发育异常

女性内生殖器发育异常:胚胎期苗勒管移行、合并过程中的发育障碍可导致各种类型的子宫发育畸形,其中包括双子宫、重复子宫、纵隔子宫、双角子宫、单角子宫和幼稚型子宫等。

处女膜闭锁

【临床表现】

主要临床表现有不孕、月经异常、病理性妊娠。

卵巢疾病

功能性囊肿:滤泡囊肿、黄体囊肿、卵泡膜-黄素囊肿等。

【临床表现】

一般卵巢囊肿无临床症状。黄体囊肿,

持续分泌孕激素导致月经的改变。一旦破裂,临床表现酷似宫外孕。黄素化囊肿发生于滋养叶细胞疾病。

声像图特征:囊肿大小,回声特征

卵巢上皮性肿瘤:浆液性或粘液性囊腺瘤,癌

【临床表现】

下腹不适或下坠感,腹水, 腹部肿块,恶性者可出现腹水及腹痛。

声像图特征:良性多内壁光滑,分隔较薄,无突起区域;恶性回声紊乱伴腹水。

【超声表现】

1.浆液性囊腺瘤:

①肿瘤一般5~10cm大小,呈圆形或椭圆形透 声暗区,后壁回声增强。

②囊壁纤薄、光滑,边界清楚。

③可单房亦可多房,多房性的可见囊内间隔。

④囊壁上如有实性团块向囊腔内突起,应考虑为 浆液性乳头状囊腺瘤。

大多数位于宫颈和陶氏腔,壁厚,内充满点状及片状回声

囊腺瘤

【病因病理】

卵巢浆液性或粘液性囊腺瘤是卵巢上皮性肿瘤中最常见的一种,为良性肿瘤。浆液性或粘液性囊腺癌为同一来源的恶性肿瘤,较良性肿瘤发生率低,其中粘液性囊腺癌少于浆液性囊腺癌。良性多发生30~40岁,恶性多发生于40岁以上。病因不明。

【临床表现】

临床主要表现下腹不适或下坠感,腹水, 腹部肿块,恶性者可出现腹水及腹痛。

1.多见长期无排卵不孕者,少量持续雌激素刺激使内膜增生;

2.内膜增厚,回声增强,厚度>18.8mm;

3.双侧卵巢无正常卵泡生长发育排卵,或呈小卵泡、囊肿及多囊卵巢。