作者:薄荷
本文由萌爪医生团队原创,谢绝转载
如有需要,请联系hi@wecarepet.com
震惊!多年养猫老手,一朝被骗,女儿突变儿子?!
据萌爪新闻社最新消息,一不愿透露姓名的铲屎官表示:我叫了好几个月的小仙女,却在刚刚露出了!!!

据当事人描述, 猫 猫在怀里咕噜咕噜,然后撸着撸着就感觉到不对劲了,有一根 带刺的东西 弹到我手指了。
当时我就震惊了。
我思索了一下不会是拉了吧,难道我摸到屎了吗?立刻掀起尾巴一看,这什么东西?

这时我还天真地还以为我的崽是个妹妹,我开始询问朋友,这是不是什么类似脱肛的疾病。


(案例来源@Yakumo)
等我在各大猫吧猫组搜索了一圈之后, 我开始意识到了事情的严重性。
我看到我女儿的了。
我真是个被愚弄的无知人类。
这样的*案惨**还真不少,出现的时候往往伴随着泪水和惊叹号。


为什么会出现这种雌雄莫辨的情况?
我们都知道,公猫有球,其名为蛋。蛋 之 圆润饱满,能搓玩好几天。
蛋蛋,除了是很多铲屎官的快乐来源,也 是判断猫咪性别的主要依据。

一般来说, 小公猫的蛋蛋会在三到四月龄的时候下坠 。这时候,你就能肉眼能看到、摸到可可爱爱的蛋蛋君了。
但如果蛋蛋一直不出现,要么是你从一开始就搞错了性别,要么就是隐睾了。
隐睾是什么?
隐睾指*丸睾**未下降至阴囊的情况,包括*丸睾**下降不全和*丸睾**异位,也就是蛋蛋没在蛋皮里,而是留在了腹部或腹股沟管。

正常来说, 公猫刚出生时只有阴囊 ,但 阴囊里面时是没有蛋蛋 的。

红圈处就是没有蛋蛋的蛋皮~
随着孩子第二性征发育, 大约四个月 的时候蛋蛋就会落进蛋皮里, 如果六、七个月的时候 猫 蛋蛋还没出来,基本就可以断定是隐睾了。

出大问题了,我的蛋蛋呢?
有研究指出, 隐睾的发生率不到2% ,其中 品种猫 更容易中招。

隐睾可不止没有蛋蛋这一种情况!!
01、单侧隐睾——只有1个蛋蛋
由于 单侧*丸睾**发育不全 ,或者腹股沟管狭窄,*丸睾**没有顺利下降到阴囊中,而是留在了腹腔内或者卡在腹股沟皮下,就叫 单侧隐睾 。

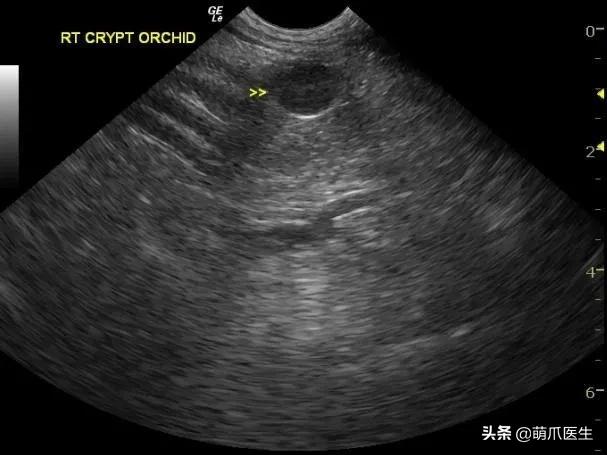
有些 消失的蛋蛋 ,是直接可以用手摸到的,有些就 只能通过B超找到 。

严重的时候,甚至会变成这个样子:

02、双隐睾——2个蛋都没有,但是有鸡鸡。
两个蛋蛋都留在腹腔内了,外面一无所有,但是后期会出现鸡鸡(也就是开头案例中的乌龙事件)

发现隐睾怎么处理?
马上去绝育!
千万千万不要以为看不见的蛋蛋,就是不存在的。相反,隐睾就是一个定时*弹炸**!
普通绝育,一刀了事,连针都不用缝,抬回家就是威风凛凛的厂公。

隐睾绝育,一刀得挨在肚子上,贼痛了。

但是铲屎官们,不要因为心疼或者想省点麻烦就不去手术!
如果出现隐睾症状不及时去绝育,蛋蛋很可能会发生 *丸睾**癌变 或者出现 *丸睾**扭转!
*丸睾**癌变
有临床研究表明, 隐睾*丸睾**发生肿瘤化的风险是正常*丸睾**的9倍 。
因为*丸睾**长时间遗留在腹腔内或者是腹股沟管内, 在 加上体温的影响,无异于处在一个大火炉内,这很 容易使*丸睾**细胞发生癌变,从而形成恶性肿瘤 。
你不仅看不到毛茸茸的可爱蛋蛋:

反而要面对血淋淋的现实:



*丸睾**扭转
意思是 未降到阴囊或降到阴囊内的*丸睾**精索发生扭转。
最常见 临床症状包括腹痛、厌食症、嗜睡、呕吐、排尿困难、运动困难和发热, 可能导致突然腹痛(出现脾气暴躁不安)和其他并发症。
除此之外,隐睾还会在身体内分泌异常的激素,这些 都可能导致前列腺病变、造血功能障碍等其他并发症 ,还会引起全身性地脱毛等症状。

所以,绝育是必须的!没有什么是比当一只厂公更健康的事情了!
看完文章,有没有按住自家猫疯狂试探它的第二性征的冲动?以及,再多看两眼别人家的猫蛋蛋吧!
反正,自家的很快就要没有了呢。

转发出去,让更多的人知道,你女儿,可能其实是你儿子,以及身份转变背后的危害。
本文宠物养护知识由宋佳琪(Master of V.M, 执业兽医师)审核
封面图@日本摄影师yanyam,如有误欢迎指正!
更多养宠问题点击阅读原文咨询兽医,首次免费~
萌爪君:
猫猫的隐睾就是定时*弹炸**,需要尽早拆除哦~