5年前,48岁的刘叔掉了1颗牙后,为了方便和省钱直接到家附近的小诊所镶上烤瓷牙。
刚镶上牙齿的刘叔别提多开心“终于可以吃喝了”。
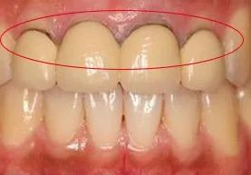
直到上年刘叔发现自己镶的那颗牙齿牙龈处一直有一条黑线,怎么刷牙都刷不干净,不过因为没有感受到疼痛,所以刘叔也并未在意。
这段时间,刘叔的牙齿总是反复出现钻心般的疼痛,吃点冷热牙齿都酸软不行。
于是刘叔赶忙来到医院,经过医生的诊断得知“前几年镶上的烤瓷牙基牙出现了问题,引发牙髓炎,需要拆除烤瓷牙。”。

提醒!口内有烤瓷牙有这些情况的也要拆除
1、出现牙龈黑线
烤瓷牙的内部是金属材料,因此在长期的佩戴过程中氧化发黑沉积在牙龈处,如果不及时拆除容易造成牙龈遭受压迫出现出血、引发牙龈炎,严重的导致牙齿脱落。
2、引发基牙龋坏
当烤瓷牙与牙龈缘不密合的话,容易导致细菌侵入亚冠里面,导致基牙遭到腐蚀,引发龋齿、牙髓炎。
3、修复体受损
安装烤瓷牙后使用不当,不注意清洁都容易导致烤瓷牙出现崩坏,如果烤瓷牙崩坏后没有及时拆除,容易导致尖锐的边缘刺激牙周组织,造成粘膜创伤,长期如此易引发口腔癌症。
缺牙别再镶牙了,种牙更划算好用!
像刘叔的情况,选择烤瓷牙修复是一个不太明智的决定。因为镶烤瓷牙是需要将缺牙处两侧的健康邻牙磨去一定的牙体组织,然后搭桥安装牙冠。
像刘叔的缺牙情况,进行烤瓷牙修复的话缺1颗牙要安装3个牙冠;而种牙的话, 不用磨除其他健康牙体组织,而且稳固效果以及寿命都比烤瓷牙要好!所以缺牙的话真的不建议再镶牙了,有条件的还是种牙好!